SERBP1 Antibody (SERBP1/3496) - Azide and BSA Free

Images

 
Western Blot: SERBP1 Antibody (SERBP1/3496) - Azide and BSA Free [NBP2-79844] - Western Blot Analysis of K562 and PC3 cell lysates using SERBP1 antibody (SERBP1/3496).
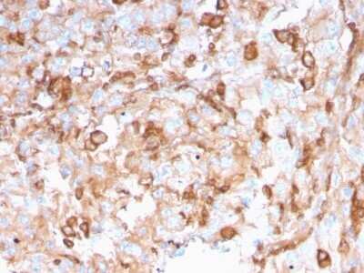
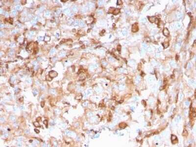
Immunohistochemistry-Paraffin: SERBP1 Antibody (SERBP1/3496) - Azide and BSA Free [NBP2-79844] - Formalin-fixed, paraffin-embedded human Urothelial Carcinoma stained with SERBP1 Antibody (SERBP1/3496).
Immunohistochemistry-Paraffin: SERBP1 Antibody (SERBP1/3496) - Azide and BSA Free [NBP2-79844] - Formalin-fixed, paraffin-embedded human Kidney stained with SERBP1 Antibody (SERBP1/3496).
Protein Array: SERBP1 Antibody (SERBP1/3496) - Azide and BSA Free [NBP2-79844] - Analysis of Protein Array containing more than 19,000 full-length human proteins using SERBP1 Antibody (SERBP1/3496). Z- and S- Score: The ...read more

Product Details

Summary
Reactivity HuSpecies Glossary
Applications WB, IHC, MA
Clone
SERBP1/3496
Clonality
Monoclonal
Host
Mouse
Conjugate
Unconjugated
Format
Azide and BSA Free
Concentration
1 mg/ml

Order Details

SERBP1 Antibody (SERBP1/3496) - Azide and BSA Free Summary

Description
1.0 mg/ml of antibody purified from Bioreactor Concentrate by Protein A/G. Prepared in 10mM PBS WITHOUT BSA & azide. Also available at 200 ug/ml WITH BSA & azide (NBP2-79710).

Antibody with azide - store at 2 to 8C. Antibody without azide - store at -20 to -80 C.
Immunogen
Recombinant fragment of human SERBP1 protein (around aa3-139) (exact sequence is proprietary) (Uniprot: Q8NC51)
Localization
Cytoplasm and nucleus. Also found in perinuclear regions.
Isotype
IgG2c Kappa
Clonality
Monoclonal
Host
Mouse
Gene
SERBP1
Purity
Protein A or G purified
Innovator's Reward
Test in a species/application not listed above to receive a full credit towards a future purchase.

Applications/Dilutions

Dilutions
  • Immunohistochemistry 1-2 ug/ml
  • Immunohistochemistry-Paraffin 1-2 ug/ml
  • Protein Array
  • Western Blot 1-2 ug/ml
Application Notes
Immunohistochemistry (Formalin-fixed): 1-2ug/ml for 30 minutes at RT. Staining of formalin-fixed tissues requires heating tissue sections in 10mM Tris with 1mM EDTA, pH 9.0, for 45 min at 95C followed by cooling at RT for 20 minutes.
Optimal dilution for a specific application should be determined.
Theoretical MW
60 kDa.
Disclaimer note: The observed molecular weight of the protein may vary from the listed predicted molecular weight due to post translational modifications, post translation cleavages, relative charges, and other experimental factors.

Packaging, Storage & Formulations

Storage
Store at -20 to -80C. Avoid freeze-thaw cycles.
Buffer
10 mM PBS
Preservative
No Preservative
Concentration
1 mg/ml
Purity
Protein A or G purified

Alternate Names for SERBP1 Antibody (SERBP1/3496) - Azide and BSA Free

  • CGI-55
  • CHD3IP
  • chromodomain helicase DNA binding protein 3 interacting protein
  • DKFZP564M2423
  • HABP4L
  • PAI-1 mRNA binding protein
  • PAI1 RNA-binding protein 1
  • PAI-RBP1DKFZp564M2423
  • PAIRBP1FLJ90489
  • plasminogen activator inhibitor 1 RNA binding protein
  • plasminogen activator inhibitor 1 RNA-binding protein
  • SERPINE1 mRNA binding protein 1
  • SERPINE1 mRNA-binding protein 1

Background

SERBP1 may play a role in the regulation of mRNA stability. Binds to the 3'-most 134 nt of the SERPINE1/PAI1 mRNA, a region which confers cyclic nucleotide regulation of messagedecay

Limitations

This product is for research use only and is not approved for use in humans or in clinical diagnosis. Primary Antibodies are guaranteed for 1 year from date of receipt.

Customers Who Viewed This Item Also Viewed...

NBP1-83220
Species: Hu, Mu, Rt
Applications: ICC/IF, IHC,  IHC-P, KD, Simple Western, WB
NB600-930
Species: Hu, Rt
Applications: ELISA, WB
AF5415
Species: Hu
Applications: ICC, IHC, Simple Western, WB
NBP1-19773
Species: Hu, Mu, Rt
Applications: ELISA, ICC/IF, IHC, IHC-Fr,  IHC-P, WB
NBP1-32870
Species: Ch, Hu
Applications: IHC,  IHC-P, IP, KD, WB
H00201780-P01
Species: Hu
Applications: ELISA, AP, PA, WB
NBP2-46157
Species: Hu
Applications: Flow, IHC,  IHC-P, WB
H00022927-D01P
Species: Hu
Applications: ICC/IF, WB
NBP2-43744
Species: Hu, Mu, Rt
Applications: ICC/IF,  IHC-P, WB
NBP3-16632
Species: Hu, Mu, Rt
Applications: ICC/IF, IHC,  IHC-P, WB
H00010424-M04
Species: Hu, Pm, Mu, Rt
Applications: ELISA, ICC/IF, IHC, IHC-Fr,  IHC-P, S-ELISA, WB
AF942
Species: Mu
Applications: CyTOF-ready, ICC, IHC, ICFlow, WB
DRP300
Species: Hu
Applications: ELISA
NB100-59787
Species: Hu, Mu
Applications: Flow, IB, ICC/IF, IHC,  IHC-P, IP, KD, PLA, WB
H00005555-P01
Species: Hu
Applications: ELISA, AP, PA, PAGE, WB
NBP2-46518
Species: Hu
Applications: IHC,  IHC-P, WB
NBP2-01763
Species: Hu, Mu, Rt
Applications: Flow, IHC,  IHC-P, WB
NB100-56136
Species: Hu, Mu, Rt
Applications: IB, IHC,  IHC-P, IP, WB
NBP2-00637
Species: Hu, Mu, Rt
Applications: Flow, ICC/IF, IHC,  IHC-P, WB
NBP1-26616
Species: Hu
Applications: IP, WB

Publications for SERBP1 Antibody (NBP2-79844) (0)

There are no publications for SERBP1 Antibody (NBP2-79844).
By submitting your publication information earn gift cards and discounts for future purchases.

Reviews for SERBP1 Antibody (NBP2-79844) (0)

There are no reviews for SERBP1 Antibody (NBP2-79844). By submitting a review you will receive an Amazon e-Gift Card or Novus Product Discount.
  • Review with no image -- $10/€7/£6/$10 CAD/¥70 Yuan/¥1110 Yen
  • Review with an image -- $25/€18/£15/$25 CAD/¥150 Yuan/¥2500 Yen

Product General Protocols

Find general support by application which include: protocols, troubleshooting, illustrated assays, videos and webinars.

Video Protocols

WB Video Protocol

FAQs for SERBP1 Antibody (NBP2-79844) (0)

There are no specific FAQs related to this product. Read our general customer & technical service FAQs.

Customers Who Bought This Also Bought

Contact Information

Product PDFs

Calculators

Concentration Calculator

The concentration calculator allows you to quickly calculate the volume, mass or concentration of your vial. Simply enter your mass, volume, or concentration values for your reagent and the calculator will determine the rest.

=
÷

Review this Product

Be the first to review our SERBP1 Antibody (SERBP1/3496) - Azide and BSA Free and receive a gift card or discount.

Bioinformatics

Gene Symbol SERBP1