Scn2b Antibody

Images

 
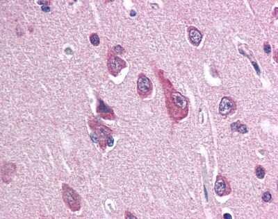
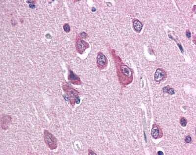
Immunohistochemistry-Paraffin: Scn2b Antibody [NBP1-39493] - Analysis of anti-SCN2B antibody with human brain, cortex at concentration 20 ug/ml.

Product Details

Summary
Product Discontinued
View other related Scn2b Primary Antibodies

Order Details


    • Catalog Number
      NBP1-39493
    • Availability
      Product Discontinued

    Can't find what you are looking for? Use our Antibody Concierge Service & we will help you locate your antibody!

    Or feel free to contact us for alternative products.

Scn2b Antibody Summary

Immunogen
Synthetic peptide from rat Scn2b.
Isotype
IgG
Clonality
Polyclonal
Host
Rabbit
Gene
SCN2B
Purity
Immunogen affinity purified
Innovator's Reward
Test in a species/application not listed above to receive a full credit towards a future purchase.

Applications/Dilutions

Dilutions
  • ELISA 1:100 - 1:2000
  • Immunohistochemistry
  • Immunohistochemistry-Paraffin 10-20 ug/ml
  • Western Blot 1 ug/ml

Packaging, Storage & Formulations

Storage
Store at 4C short term. Aliquot and store at -20C long term. Avoid freeze-thaw cycles.
Buffer
PBS and 50% Glycerol
Preservative
0.01% Sodium Azide
Concentration
0.5 mg/ml
Purity
Immunogen affinity purified

Alternate Names for Scn2b Antibody

  • neuronal voltage-gated sodium channel beta 2 subunit
  • sodium channel beta 2 subunit
  • sodium channel subunit beta-2
  • sodium channel, voltage-gated, type II, beta polypeptide
  • sodium channel, voltage-gated, type II, beta

Background

Voltage-gated sodium channels (NaV) are responsible for action potential initiation and propagation in excitable cells, including nerve, muscle, and neuroendocrine cell types. They are also expressed at low levels in non-excitable cells, where their physiological role is unclear. Structurally, Nav channels are composed of one pore-forming alpha-subunit, which may be associated with either one or more beta-subunits. alpha-subunits are composed for four homologous domains, each of which contains six transmembrane segments. The fourth transmembrane loop (S4) acts as the 'voltage sensor' and is activated by changes in membrane potential. S4 is also involved in channel gating.

Limitations

This product is for research use only and is not approved for use in humans or in clinical diagnosis. Primary Antibodies are guaranteed for 1 year from date of receipt.

Customers Who Viewed This Item Also Viewed...

NBP2-94559
Species: Hu, Mu, Rt
Applications: ELISA, WB
H00006326-Q01
Species: Hu
Applications: ELISA, AP, PA, WB
NB600-804
Species: Hu
Applications: IHC,  IHC-P, PEP-ELISA
NBP2-59318
Species: Hu, Mu, Rt
Applications: ICC/IF, Simple Western, WB
NBP1-86057
Species: Hu
Applications: IHC,  IHC-P, WB
NBP3-52190
Species: Hu
Applications: Flow, WB
MAB931
Species: Hu, Mu
Applications: CyTOF-ready, IHC, ICFlow, WB
NBP2-12904
Species: Ha, Hu, Mu, Rt
Applications: ICC/IF, IHC, IHC-Fr,  IHC-P, IP, MiAr, WB
NBP2-84177
Species: Hu
Applications: IHC,  IHC-P, WB
NB100-74510
Species: Hu, Mu, Pm, Rt
Applications: ELISA, ICC/IF, IHC,  IHC-P, IP, WB
NBP2-30861
Species: Hu
Applications: ICC/IF
NBP2-42190
Species: Hu, Mu, Rt
Applications: ICC/IF, IHC, WB
H00007957-M02
Species: Hu, Mu, Rt
Applications: ELISA, IP, S-ELISA, WB
AF4999
Species: Mu
Applications: Simple Western, WB
AF6235
Species: Hu
Applications: WB
NBP2-94560
Species: Hu
Applications: WB
NB100-81029
Species: Hu, Mu, Rt
Applications: ELISA, ICC/IF, IHC,  IHC-P, WB
NBP2-19952
Species: Hu
Applications: ICC/IF, KD, WB
NBP1-86687
Species: Hu
Applications: IHC,  IHC-P, WB
NBP1-39493
Species: Hu, Rt
Applications: WB, ELISA, IHC

Publications for Scn2b Antibody (NBP1-39493) (0)

There are no publications for Scn2b Antibody (NBP1-39493).
By submitting your publication information earn gift cards and discounts for future purchases.

Reviews for Scn2b Antibody (NBP1-39493) (0)

There are no reviews for Scn2b Antibody (NBP1-39493). By submitting a review you will receive an Amazon e-Gift Card or Novus Product Discount.
  • Review with no image -- $10/€7/£6/$10 CAD/¥70 Yuan/¥1110 Yen
  • Review with an image -- $25/€18/£15/$25 CAD/¥150 Yuan/¥2500 Yen

Product General Protocols

Find general support by application which include: protocols, troubleshooting, illustrated assays, videos and webinars.

Video Protocols

WB Video Protocol

FAQs for Scn2b Antibody (NBP1-39493) (0)

There are no specific FAQs related to this product. Read our general customer & technical service FAQs.

Secondary Antibodies

 

Isotype Controls

Additional Scn2b Products

Research Areas for Scn2b Antibody (NBP1-39493)

Find related products by research area.

Blogs on Scn2b

There are no specific blogs for Scn2b, but you can read our latest blog posts.

Contact Information

Product PDFs

Calculators

Concentration Calculator

The concentration calculator allows you to quickly calculate the volume, mass or concentration of your vial. Simply enter your mass, volume, or concentration values for your reagent and the calculator will determine the rest.

=
÷

Review this Product

Be the first to review our Scn2b Antibody and receive a gift card or discount.

Bioinformatics

Gene Symbol SCN2B
Entrez
Uniprot