RPS3 Antibody (SA46-08)

Images

 
Western Blot: RPS3 Antibody (SA46-08) [NBP2-67301] - Western blot analysis of RPS3 on different lysates. Proteins were transferred to a PVDF membrane and blocked with 5% BSA in PBS for 1 hour at room temperature. The ...read more
Immunocytochemistry/ Immunofluorescence: RPS3 Antibody (SA46-08) [NBP2-67301] - Staining RPS3 in N2A cells (green). The nuclear counter stain is DAPI (blue). Cells were fixed in paraformaldehyde, permeabilised with ...read more
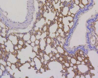
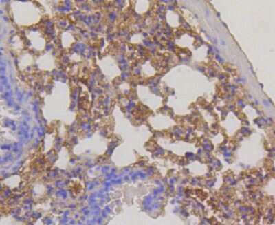
Immunohistochemistry-Paraffin: RPS3 Antibody (SA46-08) [NBP2-67301] - Immunohistochemical analysis of paraffin-embedded mouse lung tissue using anti-RPS3 antibody. The section was pre-treated using heat mediated antigen ...read more
Western Blot: RPS3 Antibody (SA46-08) [NBP2-67301] - Analysis of RPS3 on PC12 cell lysates using anti-RPS3 antibody at 1/500 dilution.
Immunocytochemistry/ Immunofluorescence: RPS3 Antibody (SA46-08) [NBP2-67301] - Staining RPS3 in SH-SY-5Y cells (green). The nuclear counter stain is DAPI (blue). Cells were fixed in paraformaldehyde, permeabilised with ...read more
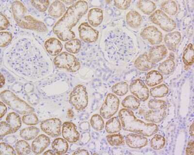
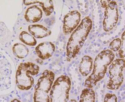
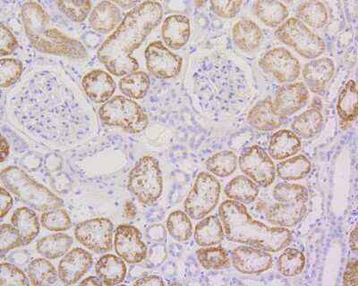
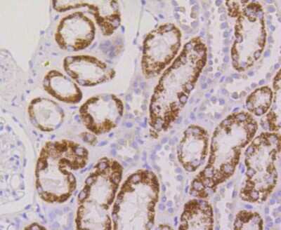
Immunohistochemistry-Paraffin: RPS3 Antibody (SA46-08) [NBP2-67301] - Analysis of paraffin-embedded human kidney tissue using anti-RPS3 antibody. Counter stained with hematoxylin.
Immunohistochemistry-Paraffin: RPS3 Antibody (SA46-08) [NBP2-67301] - Analysis of paraffin-embedded mouse lung tissue using anti-RPS3 antibody. Counter stained with hematoxylin.
Immunohistochemistry-Paraffin: RPS3 Antibody (SA46-08) [NBP2-67301] - Immunohistochemical analysis of paraffin-embedded human kidney tissue using anti-RPS3 antibody. The section was pre-treated using heat mediated ...read more

Product Details

Summary
Product Discontinued
View other related RPS3 Primary Antibodies

Order Details


    • Catalog Number
      NBP2-67301
    • Availability
      Product Discontinued

    Can't find what you are looking for? Use our Antibody Concierge Service & we will help you locate your antibody!

    Or feel free to contact us for alternative products.

RPS3 Antibody (SA46-08) Summary

Additional Information
Recombinant Monoclonal Antibody.
Immunogen
Synthetic peptide within Human RPS3 aa 125-174 / 243. (SwissProt: P23396 Human; SwissProt: P62908 Mouse; SwissProt: P62909 Rat)
Localization
Cytoplasm, Nucleus, Mitochondrion inner membrane
Isotype
IgG
Clonality
Monoclonal
Host
Rabbit
Gene
RPS3
Purity
Protein A purified
Innovator's Reward
Test in a species/application not listed above to receive a full credit towards a future purchase.

Applications/Dilutions

Dilutions
  • Immunocytochemistry/ Immunofluorescence 1:50-1:200
  • Immunohistochemistry
  • Immunohistochemistry-Paraffin 1:50-1:200
  • Western Blot 1:500-1:1000

Packaging, Storage & Formulations

Storage
Store at 4C short term. Aliquot and store at -20C long term. Avoid freeze-thaw cycles.
Buffer
TBS (pH7.4), 0.05% BSA, 40% Glycerol
Preservative
0.05% Sodium Azide
Concentration
1 mg/ml
Purity
Protein A purified

Alternate Names for RPS3 Antibody (SA46-08)

  • 40S ribosomal protein S3
  • FLJ26283
  • FLJ27450
  • IMR-90 ribosomal protein S3
  • MGC87870
  • ribosomal protein S3

Background

Ribosomes, the organelles that catalyze protein synthesis, consist of a small 40S subunit and a large 60S subunit. Together these subunits are composed of 4 RNA species and approximately 80 structurally distinct proteins. This gene encodes a ribosomal protein that is a component of the 40S subunit, where it forms part of the domain where translation is initiated. The protein belongs to the S3P family of ribosomal proteins. Studies of the mouse and rat proteins have demonstrated that the protein has an extraribosomal role as an endonuclease involved in the repair of UV-induced DNA damage. The protein appears to be located in both the cytoplasm and nucleus but not in the nucleolus. Higher levels of expression of this gene in colon adenocarcinomas and adenomatous polyps compared to adjacent normal colonic mucosa have been observed. This gene is co-transcribed with the small nucleolar RNA genes U15A and U15B, which are located in its first and fifth introns, respectively. As is typical for genes encoding ribosomal proteins, there are multiple processed pseudogenes of this gene dispersed through the genome. [provided by RefSeq]

Limitations

This product is for research use only and is not approved for use in humans or in clinical diagnosis. Primary Antibodies are guaranteed for 1 year from date of receipt.

Customers Who Viewed This Item Also Viewed...

NBP2-38323
Species: Hu
Applications: ICC/IF, IHC,  IHC-P, WB
NBP3-46656
Species: Hu, Mu, Rt
Applications: ELISA, IHC, WB
NBP1-80959
Species: Hu, Mu, Rt
Applications: ICC/IF, IHC,  IHC-P, WB
NBP3-46655
Species: Hu, Mu, Rt
Applications: ELISA, ICC/IF, WB
NBP1-32870
Species: Ch, Hu
Applications: IHC,  IHC-P, IP, KD, WB
NBP1-84957
Species: Hu
Applications: IHC,  IHC-P, WB
H00000518-P01
Species: Hu
Applications: ELISA, AP, PA, WB
NBP2-44520
Species: Ca(-), Hu, Rt(-)
Applications: Flow-IC, Flow, ICC/IF, IF, IHC,  IHC-P, MI, WB
NBP2-54591
Species: Hu
Applications: CyTOF-ready, Flow, ICC/IF, IHC,  IHC-P, PA
NB100-1595
Species: Hu, Mu
Applications: IHC,  IHC-P, IP, WB
AF5866
Species: Hu
Applications: IHC, WB
H00006193-M02
Species: Hu, Mu, Pr, Rt
Applications: ELISA, ICC/IF, WB
NBP3-48674
Species: Hu, Mu, Rt, Ze
Applications: ICC/IF, IHC,  IHC-P, WB
H00006201-M03
Species: Hu, Mu, Rt
Applications: ELISA, ICC/IF, IHC,  IHC-P, S-ELISA, WB
NBP1-87799
Species: Hu, Mu, Rt
Applications: ICC/IF, IHC,  IHC-P, WB
NBP1-87797
Species: Hu, Mu, Rt
Applications: IHC,  IHC-P, Simple Western, WB
NBP2-37477
Species: Hu
Applications: ELISA, ICC/IF, IHC,  IHC-P, WB
NBP1-62583
Species: Hu
Applications: WB
NBP1-81293
Species: Hu
Applications: ICC/IF, IHC,  IHC-P, KD, WB
NBP3-47902
Species: Hu, Mu, Rt
Applications: ELISA, IHC, WB

Publications for RPS3 Antibody (NBP2-67301) (0)

There are no publications for RPS3 Antibody (NBP2-67301).
By submitting your publication information earn gift cards and discounts for future purchases.

Reviews for RPS3 Antibody (NBP2-67301) (0)

There are no reviews for RPS3 Antibody (NBP2-67301). By submitting a review you will receive an Amazon e-Gift Card or Novus Product Discount.
  • Review with no image -- $10/€7/£6/$10 CAD/¥70 Yuan/¥1110 Yen
  • Review with an image -- $25/€18/£15/$25 CAD/¥150 Yuan/¥2500 Yen

Product General Protocols

Find general support by application which include: protocols, troubleshooting, illustrated assays, videos and webinars.

Video Protocols

WB Video Protocol
ICC/IF Video Protocol

FAQs for RPS3 Antibody (NBP2-67301) (0)

There are no specific FAQs related to this product. Read our general customer & technical service FAQs.

Secondary Antibodies

 

Isotype Controls

Additional RPS3 Products

Array NBP2-67301

Research Areas for RPS3 Antibody (NBP2-67301)

Find related products by research area.

Blogs on RPS3

There are no specific blogs for RPS3, but you can read our latest blog posts.

Contact Information

Product PDFs

Calculators

Concentration Calculator

The concentration calculator allows you to quickly calculate the volume, mass or concentration of your vial. Simply enter your mass, volume, or concentration values for your reagent and the calculator will determine the rest.

=
÷

Review this Product

Be the first to review our RPS3 Antibody (SA46-08) and receive a gift card or discount.

Bioinformatics

Gene Symbol RPS3