RPL34 Antibody - BSA Free

Images

 
Western Blot: RPL34 Antibody [NBP1-81331] - Analysis in human cell line NB4.
Immunocytochemistry/ Immunofluorescence: RPL34 Antibody [NBP1-81331] - Immunofluorescent staining of human cell line U-2 OS shows localization to nucleoli, cytosol & endoplasmic reticulum.
The staining of the human pancreas shows strong cytoplasmic-membranous positivity in exocrine glandular cells and moderate cytoplasmic-membranous positivity in endocrine glandular cells.
Staining of human stomach shows moderate cytoplasmic-membranous positivity in glandular cells.
The staining of human small intestine shows moderate cytoplasmic-membranous positivity in glandular cells.
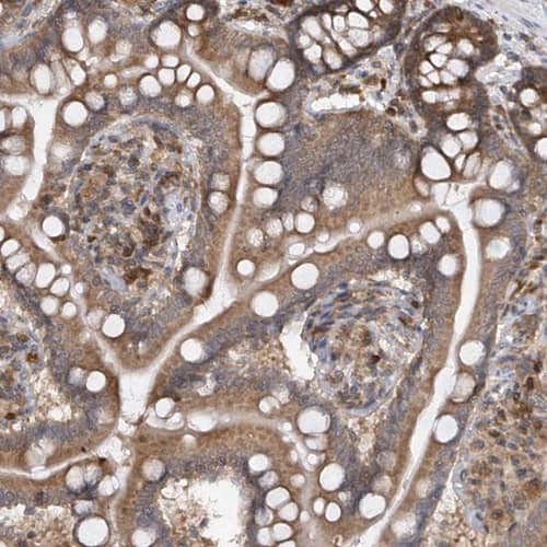
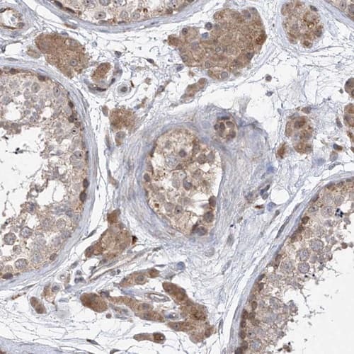
Staining of human testis shows moderate cytoplasmic positivity in leydig cells and weak cytoplasmic positivity in cells in seminiferous duct.

Product Details

Summary
Reactivity Hu, Mu, RtSpecies Glossary
Applications WB, ICC/IF, IHC
Clonality
Polyclonal
Host
Rabbit
Conjugate
Unconjugated
Format
BSA Free

Order Details

View Available Formulations
Catalog# & Formulation Size Price

RPL34 Antibody - BSA Free Summary

Description
Novus Biologicals Rabbit RPL34 Antibody - BSA Free (NBP1-81331) is a polyclonal antibody validated for use in IHC, WB and ICC/IF. All Novus Biologicals antibodies are covered by our 100% guarantee.
Immunogen
This antibody was developed against Recombinant Protein corresponding to amino acids: MVQRLTYRRRLSYNTASNKTRLSRTPGNRIVYLYTKKVGKAPKSACGVCPGRLRG
Predicted Species
Mouse (100%), Rat (100%). Backed by our 100% Guarantee.
Isotype
IgG
Clonality
Polyclonal
Host
Rabbit
Gene
RPL34
Purity
Immunogen affinity purified
Innovator's Reward
Test in a species/application not listed above to receive a full credit towards a future purchase.

Applications/Dilutions

Dilutions
  • Immunocytochemistry/ Immunofluorescence 0.25 - 2 ug/ml
  • Immunohistochemistry 1:20 - 1:50
  • Immunohistochemistry-Paraffin 1:20 - 1:50
  • Western Blot 0.04 - 0.4 ug/ml
Application Notes
For IHC-Paraffin, HIER pH 6 retrieval is recommended. Immunocytochemistry/Immunofluorescence Fixation Permeabilization: Use PFA/Triton X-100.
Control Peptide
RPL34 Protein (NBP1-81331PEP)

Packaging, Storage & Formulations

Storage
Store at 4C short term. Aliquot and store at -20C long term. Avoid freeze-thaw cycles.
Buffer
PBS (pH 7.2) and 40% Glycerol
Preservative
0.02% Sodium Azide
Purity
Immunogen affinity purified

Alternate Names for RPL34 Antibody - BSA Free

  • leukemia-associated protein
  • M
  • MGC111005
  • ribosomal protein L34,60S ribosomal protein L34

Background

Ribosomes, the organelles that catalyze protein synthesis, consist of a small 40S subunit and a large 60S subunit. Together these subunits are composed of 4 RNA species and approximately 80 structurally distinct proteins. This gene encodes a ribosomal protein that is a component of the 60S subunit. The protein belongs to the L34E family of ribosomal proteins. It is located in the cytoplasm. This gene originally was thought to be located at 17q21, but it has been mapped to 4q. Transcript variants derived from alternative splicing, alternative transcription initiation sites, and/or alternative polyadenylation exist; these variants encode the same protein. As is typical for genes encoding ribosomal proteins, there are multiple processed pseudogenes of this gene dispersed through the genome. (provided by RefSeq)

Limitations

This product is for research use only and is not approved for use in humans or in clinical diagnosis. Primary Antibodies are guaranteed for 1 year from date of receipt.

Customers Who Viewed This Item Also Viewed...

NBP2-94135
Species: Hu, Mu, Rt
Applications: ELISA, IHC,  IHC-P, WB
NBP1-80804
Species: Hu
Applications: ICC/IF, IHC,  IHC-P, WB
AF1197
Species: Hu, Mu, Rt
Applications: IHC, Simple Western, WB
NBP3-48676
Species: Ca, Hu, Mu, Rt, Ze
Applications: ICC/IF, IHC,  IHC-P, WB
NBP2-20212
Species: Hu
Applications: IHC,  IHC-P, WB
NBP3-12600
Species: Hu
Applications: ICC/IF,  IHC-P, IP, WB
NBP2-13254
Species: Hu
Applications: ICC/IF, IHC,  IHC-P, KD, WB
NBP1-82853
Species: Hu, Mu
Applications: ICC/IF, IHC,  IHC-P, WB
NBP2-47297
Species: Hu
Applications: ICC/IF, IHC,  IHC-P, WB
NBP2-20211
Species: Hu, Mu
Applications: IHC,  IHC-P, WB
H00026156-B01P
Species: Hu
Applications: ICC/IF, WB
H00028299-P01
Species: Hu
Applications: ELISA, AP, PA, WB
NBP1-06069
Species: Hu, Mu
Applications: IHC,  IHC-P, PEP-ELISA, WB
NBP2-94240
Species: Hu, Mu, Rt
Applications: ICC/IF, WB
NBP3-35377
Species: Hu, Mu, Rt
Applications: ELISA, ICC/IF, IHC,  IHC-P, WB
NBP2-38992
Species: Hu
Applications: ICC/IF, IHC,  IHC-P, WB
NBP1-84744
Species: Hu
Applications: IHC,  IHC-P, WB
NBP3-45266
Species: Hu, Mu, Rt
Applications: ELISA, IHC, WB
NBP1-84037
Species: Hu, Mu, Rt
Applications: IHC,  IHC-P, WB
NBP2-13251
Species: Hu
Applications: ICC/IF, IHC,  IHC-P, WB

Publications for RPL34 Antibody (NBP1-81331) (0)

There are no publications for RPL34 Antibody (NBP1-81331).
By submitting your publication information earn gift cards and discounts for future purchases.

Reviews for RPL34 Antibody (NBP1-81331) (0)

There are no reviews for RPL34 Antibody (NBP1-81331). By submitting a review you will receive an Amazon e-Gift Card or Novus Product Discount.
  • Review with no image -- $10/€7/£6/$10 CAD/¥70 Yuan/¥1110 Yen
  • Review with an image -- $25/€18/£15/$25 CAD/¥150 Yuan/¥2500 Yen

Product General Protocols

Find general support by application which include: protocols, troubleshooting, illustrated assays, videos and webinars.

Video Protocols

WB Video Protocol
ICC/IF Video Protocol

FAQs for RPL34 Antibody (NBP1-81331) (0)

There are no specific FAQs related to this product. Read our general customer & technical service FAQs.

Secondary Antibodies

 

Isotype Controls

Additional RPL34 Products

Research Areas for RPL34 Antibody (NBP1-81331)

Find related products by research area.

Blogs on RPL34

There are no specific blogs for RPL34, but you can read our latest blog posts.

Customers Who Bought This Also Bought

Contact Information

Product PDFs

Calculators

Concentration Calculator

The concentration calculator allows you to quickly calculate the volume, mass or concentration of your vial. Simply enter your mass, volume, or concentration values for your reagent and the calculator will determine the rest.

=
÷

Review this Product

Be the first to review our RPL34 Antibody - BSA Free and receive a gift card or discount.

Bioinformatics

Gene Symbol RPL34