RNF114 Antibody

Images

 
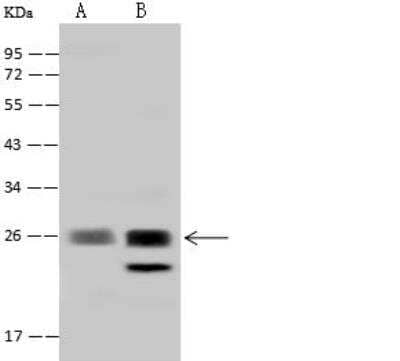
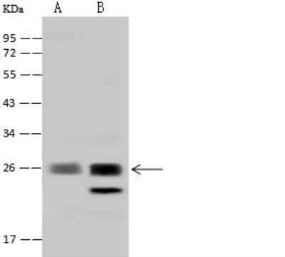
Western Blot: RNF114 Antibody [NBP2-97786] - Lane A: HepG2 Whole Cell LysateLane B: 293T Whole Cell LysateLysates/proteins at 30 ug per lane.SecondaryGoat Anti-Rabbit IgG (H+L)/HRP at 1/10000 dilution.Developed using ...read more
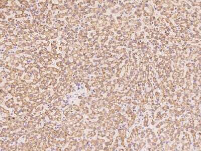
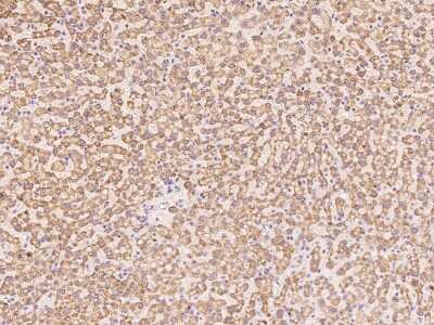
Immunohistochemistry-Paraffin: RNF114 Antibody [NBP2-97786] - Staining of human RNF114 in human liver with rabbit polyclonal antibody at 1:100 dilution.
Immunoprecipitation: RNF114 Antibody [NBP2-97786] - Lane A:0.5 mg 293T Whole Cell Lysate4 uL anti-RNF114 rabbit polyclonal antibody and 60 ug of Immunomagnetic beads Protein A/G.Primary antibody:Anti-RNF114 rabbit ...read more

Product Details

Summary
Product Discontinued
View other related RNF114 Primary Antibodies

Order Details


    • Catalog Number
      NBP2-97786
    • Availability
      Product Discontinued

    Can't find what you are looking for? Use our Antibody Concierge Service & we will help you locate your antibody!

    Or feel free to contact us for alternative products.

RNF114 Antibody Summary

Description
This antibody can be stored at 2C to 8C for one month without detectable loss of activity. Antibody products are stable for twelve months from date of receipt when stored at -20C to -80C. Avoid repeated freeze-thaw cycles.
Immunogen
Produced in rabbits immunized with E. coli-derived Human RNF114 fragment.
Isotype
IgG
Clonality
Polyclonal
Host
Rabbit
Gene
RNF114
Purity
Antigen and protein A Affinity-purified
Innovator's Reward
Test in a species/application not listed above to receive a full credit towards a future purchase.

Applications/Dilutions

Dilutions
  • Immunohistochemistry 1:50-1:200
  • Immunohistochemistry-Paraffin
  • Immunoprecipitation 0.5-2 uL/mg of lysate
  • Western Blot 1:500-1:2000

Packaging, Storage & Formulations

Storage
Store at 4C short term. Aliquot and store at -20C long term. Avoid freeze-thaw cycles.
Buffer
PBS (pH 7.0)
Preservative
0.03% Proclin 300
Purity
Antigen and protein A Affinity-purified

Alternate Names for RNF114 Antibody

  • PSORS12
  • RNF114
  • ZNF228
  • ZNF313

Limitations

This product is for research use only and is not approved for use in humans or in clinical diagnosis. Primary Antibodies are guaranteed for 1 year from date of receipt.

Customers Who Viewed This Item Also Viewed...

NBP3-46713
Species: Hu, Mu, Rt
Applications: ELISA, IHC, WB
1290-IL
Species: Hu
Applications: BA
NBP1-89306
Species: Hu, Mu, Rt
Applications: IHC,  IHC-P, KD, WB
NB120-5802
Species: Hu, Mu
Applications: ChIP, ICC/IF, IHC,  IHC-P, IP, Simple Western, WB
NBP1-77533
Species: Hu, Mu, Rt
Applications: CyTOF-ready, Flow-IC, Flow, ICC/IF, IHC,  IHC-P, IP, Simple Western, WB
NBP1-28863
Species: Hu
Applications: ELISA, ICC/IF, IHC,  IHC-P, WB
NB600-233
Species: Hu, Mu
Applications: ChIP, CHIP-SEQ, IHC,  IHC-P, IP, WB
H00009825-M01
Species: Hu
Applications: ELISA, ICC/IF, S-ELISA, WB
NB120-6405
Species: Rt
Applications: B/N, CyTOF-ready, EM, ELISA, Flow-IC, Flow, ICC/IF, IHC, IHC-Fr,  IHC-P, IP
DPSG10
Species: Hu
Applications: ELISA
3047-CC
Species: Hu
Applications: BA
NBP2-46405
Species: Hu, Mu, Rt
Applications: IHC,  IHC-P, WB
AF4036
Species: Hu
Applications: Simple Western, WB
NBP1-76531
Species: Hu, Mu, Rt
Applications: ELISA, ICC/IF, WB
NBP2-26504
Species: Hu, Mu, Rt
Applications: B/N, Func-Inh, In vitro, In vivo
NBP3-30595
Species: Hu, Mu
Applications: IP, WB
H00009371-B01P
Species: Hu, Rt
Applications: ICC/IF, WB
NBP2-97786
Species: Hu
Applications: WB, IHC, IP

Publications for RNF114 Antibody (NBP2-97786) (0)

There are no publications for RNF114 Antibody (NBP2-97786).
By submitting your publication information earn gift cards and discounts for future purchases.

Reviews for RNF114 Antibody (NBP2-97786) (0)

There are no reviews for RNF114 Antibody (NBP2-97786). By submitting a review you will receive an Amazon e-Gift Card or Novus Product Discount.
  • Review with no image -- $10/€7/£6/$10 CAD/¥70 Yuan/¥1110 Yen
  • Review with an image -- $25/€18/£15/$25 CAD/¥150 Yuan/¥2500 Yen

Product General Protocols

Find general support by application which include: protocols, troubleshooting, illustrated assays, videos and webinars.

Video Protocols

WB Video Protocol

FAQs for RNF114 Antibody (NBP2-97786) (0)

There are no specific FAQs related to this product. Read our general customer & technical service FAQs.

Contact Information

Product PDFs

Calculators

Concentration Calculator

The concentration calculator allows you to quickly calculate the volume, mass or concentration of your vial. Simply enter your mass, volume, or concentration values for your reagent and the calculator will determine the rest.

=
÷

Review this Product

Be the first to review our RNF114 Antibody and receive a gift card or discount.

Bioinformatics

Gene Symbol RNF114