RKIP/PBP Antibody (SC58-09)

Images

 
Western Blot: RKIP/PBP Antibody (SC58-09) [NBP2-67560] - Analysis of PBP on mouse brain lysates using anti-PBP antibody at 1/1,000 dilution.
Immunocytochemistry/ Immunofluorescence: RKIP/PBP Antibody (SC58-09) [NBP2-67560] - Staining PBP in PC-3M cells (green). The nuclear counter stain is DAPI (blue). Cells were fixed in paraformaldehyde, permeabilised with ...read more
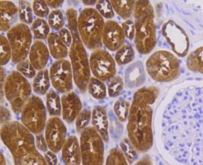
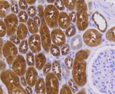
Immunohistochemistry-Paraffin: RKIP/PBP Antibody (SC58-09) [NBP2-67560] - Analysis of paraffin-embedded mouse kidney tissue using anti-PBP antibody. Counter stained with hematoxylin.
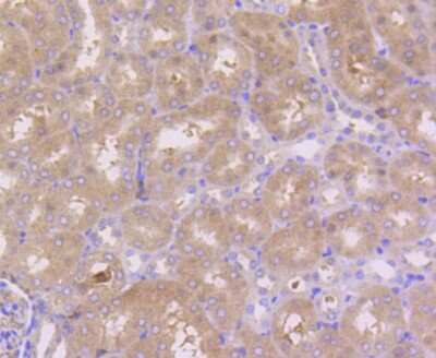
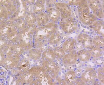
Immunohistochemistry-Paraffin: RKIP/PBP Antibody (SC58-09) [NBP2-67560] - Analysis of paraffin-embedded human kidney tissue using anti-PBP antibody. Counter stained with hematoxylin.
Immunohistochemistry-Paraffin: RKIP/PBP Antibody (SC58-09) [NBP2-67560] - Analysis of paraffin-embedded mouse brain tissue using anti-PBP antibody. Counter stained with hematoxylin.

Product Details

Summary
Product Discontinued
View other related RKIP/PBP Primary Antibodies

Order Details


    • Catalog Number
      NBP2-67560
    • Availability
      Product Discontinued

    Can't find what you are looking for? Use our Antibody Concierge Service & we will help you locate your antibody!

    Or feel free to contact us for alternative products.

RKIP/PBP Antibody (SC58-09) Summary

Additional Information
Recombinant Monoclonal Antibody.
Immunogen
Synthetic peptide within Human RKIP/PBP aa 53-96 / 187. (SwissProt: P30086 Human; SwissProt: P70296 Mouse; SwissProt: P31044 Rat)
Localization
Cytoplasm.
Isotype
IgG
Clonality
Monoclonal
Host
Rabbit
Gene
PEBP1
Purity
Protein A purified
Innovator's Reward
Test in a species/application not listed above to receive a full credit towards a future purchase.

Applications/Dilutions

Dilutions
  • Immunocytochemistry/ Immunofluorescence 1:50-1:200
  • Immunohistochemistry
  • Immunohistochemistry-Paraffin 1:50-1:200
  • Immunoprecipitation
  • Western Blot 1:1000-1:5000

Packaging, Storage & Formulations

Storage
Store at 4C short term. Aliquot and store at -20C long term. Avoid freeze-thaw cycles.
Buffer
TBS (pH7.4), 0.05% BSA, 40% Glycerol
Preservative
0.05% Sodium Azide
Concentration
1 mg/ml
Purity
Protein A purified

Alternate Names for RKIP/PBP Antibody (SC58-09)

  • HCNP
  • HCNPpp
  • hippocampal cholinergic neurostimulating peptide
  • Neuropolypeptide h3
  • PBP
  • PBPPEBP-1
  • PEBP1
  • PEBP-1
  • PEBPHCNPpp
  • phosphatidylethanolamine binding protein 1
  • phosphatidylethanolamine-binding protein 1
  • prostatic binding protein
  • Prostatic-binding protein
  • Raf kinase inhibitory protein
  • RKIP
  • RKIPRaf kinase inhibitor protein

Background

PBP, also known as RKIP (RAF kinase inhibitor protein), binds ATP, opioids and phosphatidylethanolamine. PBP is able to regulate Aurora kinase B expression and the spindle checkpoint through interaction with the RAF1/MEK/ERK cascade. PBP is able to bind to RAF1 and MEK and competitively disrupt the interaction between these proteins. PBP may be involved in the function of the presynaptic cholinergic neurons of the central nervous system. It increases the production of choline acetyltransferase but not acetylcholinesterase. PBP has been implicated as a suppressor of metastasis.

Limitations

This product is for research use only and is not approved for use in humans or in clinical diagnosis. Primary Antibodies are guaranteed for 1 year from date of receipt.

Customers Who Viewed This Item Also Viewed...

MAB4540
Species: Hu, Mu, Rt
Applications: IHC, Simple Western, WB
NBP1-82956
Species: Hu
Applications: ICC/IF, IHC,  IHC-P, WB
NBP1-51671
Species: Hu
Applications: ELISA, Flow, ICC/IF, IHC,  IHC-P, WB
MAB4218
Species: Hu
Applications: IHC, WB
DY393
Species: Hu
Applications: ELISA
AF1230
Species: Hu, Mu, Rt
Applications: IHC, KO, WB
NB100-2574
Species: Hu, Mu
Applications: IHC,  IHC-P, IP, KD, WB
AF467
Species: Hu, Mu
Applications: CyTOF-ready, Flow, ICC, IHC, Simple Western, WB
NBP2-38877
Species: Hu
Applications: ICC/IF, IHC,  IHC-P
NB200-540
Species: Ec, Mu
Applications: CyTOF-ready, Flow-IC, Flow, IA, ICC/IF, IHC, IHC-Fr,  IHC-P, IP
NBP2-36776
Species: Hu
Applications: ICC/IF, IHC,  IHC-P, KD, WB
NBP1-31528
Species: Hu, Mu
Applications: IHC,  IHC-P, WB
NB100-56603
Species: Ca, Hu, Mu, Pm, Rt
Applications: IHC,  IHC-P, WB
NB100-56583
Species: Hu, Rb, Rt
Applications: Flow, IHC,  IHC-P, KO, Simple Western, WB
NBP2-22203
Species: Hu, Pm, Mu, Rt
Applications: ELISA, Flow, ICC/IF, IHC,  IHC-P, WB
NBP2-67560
Species: Hu, Mu, Rt, Ze
Applications: WB, ICC/IF, IHC, IP

Publications for RKIP/PBP Antibody (NBP2-67560) (0)

There are no publications for RKIP/PBP Antibody (NBP2-67560).
By submitting your publication information earn gift cards and discounts for future purchases.

Reviews for RKIP/PBP Antibody (NBP2-67560) (0)

There are no reviews for RKIP/PBP Antibody (NBP2-67560). By submitting a review you will receive an Amazon e-Gift Card or Novus Product Discount.
  • Review with no image -- $10/€7/£6/$10 CAD/¥70 Yuan/¥1110 Yen
  • Review with an image -- $25/€18/£15/$25 CAD/¥150 Yuan/¥2500 Yen

Product General Protocols

Find general support by application which include: protocols, troubleshooting, illustrated assays, videos and webinars.

Video Protocols

WB Video Protocol
ICC/IF Video Protocol

FAQs for RKIP/PBP Antibody (NBP2-67560) (0)

There are no specific FAQs related to this product. Read our general customer & technical service FAQs.

Secondary Antibodies

 

Isotype Controls

Additional RKIP/PBP Products

Research Areas for RKIP/PBP Antibody (NBP2-67560)

Find related products by research area.

Blogs on RKIP/PBP

There are no specific blogs for RKIP/PBP, but you can read our latest blog posts.

Contact Information

Product PDFs

Calculators

Concentration Calculator

The concentration calculator allows you to quickly calculate the volume, mass or concentration of your vial. Simply enter your mass, volume, or concentration values for your reagent and the calculator will determine the rest.

=
÷

Review this Product

Be the first to review our RKIP/PBP Antibody (SC58-09) and receive a gift card or discount.

Bioinformatics

Gene Symbol PEBP1