RISC Antibody

Images

 
Western Blot: RISC Antibody [NBP2-97783] - Anti-RISC rabbit polyclonal antibody at 1:500 dilution. Lane A: A431 Whole Cell Lysate. Lane B: U-251 MG Whole Cell Lysate. Lysates/proteins at 30 ug per lane. Secondary Goat ...read more
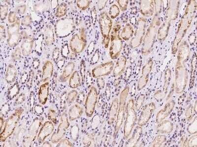
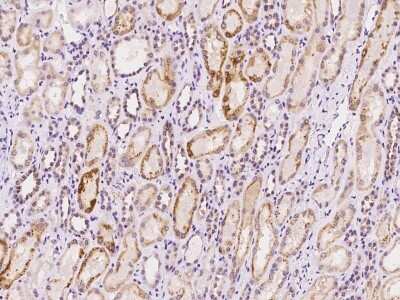
Immunohistochemistry: RISC Antibody [NBP2-97783] - Immunochemical staining of human RISC in human kidney with rabbit polyclonal antibody at 1:100 dilution, formalin-fixed paraffin embedded sections.
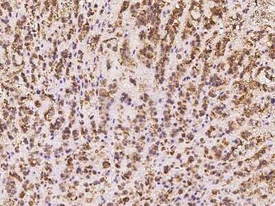
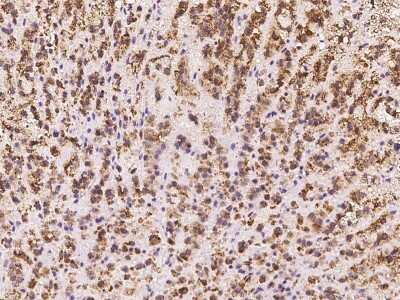
Immunohistochemistry: RISC Antibody [NBP2-97783] - Immunochemical staining of human RISC in human adrenal gland with rabbit polyclonal antibody at 1:100 dilution, formalin-fixed paraffin embedded sections.

Product Details

Summary
Product Discontinued
View other related RISC Primary Antibodies

Order Details


    • Catalog Number
      NBP2-97783
    • Availability
      Product Discontinued

    Can't find what you are looking for? Use our Antibody Concierge Service & we will help you locate your antibody!

    Or feel free to contact us for alternative products.

RISC Antibody Summary

Description
This antibody can be stored at 2C to 8C for one month without detectable loss of activity. Antibody products are stable for twelve months from date of receipt when stored at -20C to -80C. Avoid repeated freeze-thaw cycles.
Immunogen
Produced in rabbits immunized with E. coli-derived Human RISC fragment.
Isotype
IgG
Clonality
Polyclonal
Host
Rabbit
Gene
SCPEP1
Purity
Antigen Affinity-purified
Innovator's Reward
Test in a species/application not listed above to receive a full credit towards a future purchase.

Applications/Dilutions

Dilutions
  • Immunohistochemistry
  • Immunoprecipitation 2-5 mcg/mg
  • Western Blot 1:2000-1:10000

Packaging, Storage & Formulations

Storage
Store at 4C short term. Aliquot and store at -20C long term. Avoid freeze-thaw cycles.
Buffer
PBS (pH 7.0)
Preservative
0.03% Proclin 300
Purity
Antigen Affinity-purified

Alternate Names for RISC Antibody

  • EC 3.4.16
  • HSCP1
  • retinoid inducible serine carboxypeptidase
  • retinoid-inducible serine carboxypeptidase
  • RISCEC 3.4.16.-
  • SCP1
  • serine carboxypeptidase 1serine carboxypeptidase 1 precursor protein

Background

Vascular smooth muscle activation is a salient feature of several pathological conditions including atherosclerosis, hypertension, vein graft failure, restenosis, and transplant arteriopathy (1,2). Several new genes whose proteins could lead to such biological effects have been identified. One such protein is RISC. Tissue expression pattern of Retinoid-inducible serine carboxypeptidase (RISC) in human revealed that it was highly expressed in kidney and heart.

Limitations

This product is for research use only and is not approved for use in humans or in clinical diagnosis. Primary Antibodies are guaranteed for 1 year from date of receipt.

Customers Who Viewed This Item Also Viewed...

NBP1-06520
Species: Hu, Mu
Applications: IP, KO, WB
NBP1-59631
Species: Hu, Mu
Applications: IHC,  IHC-P, WB
NBP1-03349
Species: Hu, Mu
Applications: ICC/IF, IHC, IHC-Fr, IP, WB
NBP3-16753
Species: Hu, Mu, Rt
Applications: ICC/IF, IHC,  IHC-P, WB
NB300-232
Species: Bv, Ch, Fe, Hu, Mu, Pa, Po, Rt, RM
Applications: IB, ICC/IF, IHC, IHC-Fr,  IHC-P, IP, WB
NB300-229
Species: Ch, Hu(-), Ma, Pm, Mu, Pa, Rt
Applications: ChIP, ChIP, ICC/IF, IHC, IHC-Fr,  IHC-P, IP, Simple Western, WB
NB200-335
Species: Hu
Applications: IHC,  IHC-P, IP, WB
NBP3-35541
Species: Hu, Mu, Rt
Applications: ELISA, ICC/IF, IHC,  IHC-P, WB
NBP1-20903
Species: Hu
Applications: Flow, ICC/IF, PEP-ELISA
NBP1-28751
Species: Hu, Mu
Applications: IP, KD, WB
NB200-106
Species: Mu, Rt
Applications: ELISA, ICC/IF, IHC, IHC-Fr,  IHC-P, WB
NBP2-01770
Species: Ca, Hu, Pm, Mu, Rt
Applications: Flow, ICC/IF, IHC,  IHC-P, WB
NBP1-32283
Species: Hu, Mu, Rt
Applications: WB
AF6548
Species: Hu, Mu
Applications: IHC
NBP1-85958
Species: Hu, Mu, Rt
Applications: ICC/IF, IHC,  IHC-P, WB
NBP3-35882
Species: Hu, Mu, Rt
Applications: ELISA, ICC/IF, IHC,  IHC-P, WB
NBP2-94045
Species: Hu, Mu, Rt
Applications: ELISA, ICC/IF, WB
NBP2-37398
Species: Hu
Applications: CyTOF-ready, ELISA, Flow, IHC,  IHC-P, WB

Publications for RISC Antibody (NBP2-97783) (0)

There are no publications for RISC Antibody (NBP2-97783).
By submitting your publication information earn gift cards and discounts for future purchases.

Reviews for RISC Antibody (NBP2-97783) (0)

There are no reviews for RISC Antibody (NBP2-97783). By submitting a review you will receive an Amazon e-Gift Card or Novus Product Discount.
  • Review with no image -- $10/€7/£6/$10 CAD/¥70 Yuan/¥1110 Yen
  • Review with an image -- $25/€18/£15/$25 CAD/¥150 Yuan/¥2500 Yen

Product General Protocols

Find general support by application which include: protocols, troubleshooting, illustrated assays, videos and webinars.

Video Protocols

WB Video Protocol

FAQs for RISC Antibody (NBP2-97783) (0)

There are no specific FAQs related to this product. Read our general customer & technical service FAQs.

Contact Information

Product PDFs

Calculators

Concentration Calculator

The concentration calculator allows you to quickly calculate the volume, mass or concentration of your vial. Simply enter your mass, volume, or concentration values for your reagent and the calculator will determine the rest.

=
÷

Review this Product

Be the first to review our RISC Antibody and receive a gift card or discount.

Bioinformatics

Gene Symbol SCPEP1