RHOBTB2 Antibody (DBC2/3361) - Azide and BSA Free

Images

 
Protein Array: RHOBTB2 Antibody (DBC2/3361) - Azide and BSA Free [NBP3-14286] - Analysis of Protein Array containing more than 19,000 full-length human proteins using RHOBTB2 Antibody (DBC2/3361).
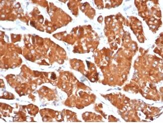
IHC analysis of formalin-fixed, paraffin-embedded human renal oncocytoma. Staining using RHOBTB2 Antibody (DBC2/3361) - Azide and BSA Free at 2ug/ml in PBS for 30min RT. HIER: Tris/EDTA, pH9.0, 45min. 2°C: HRP-polymer, ...read more
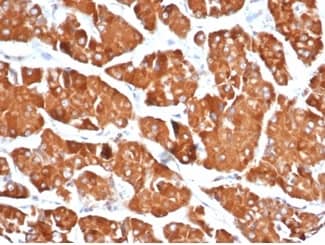
IHC analysis of formalin-fixed, paraffin-embedded human thyroid. Staining using RHOBTB2 Antibody (DBC2/3361) - Azide and BSA Free at 2ug/ml in PBS for 30min RT.

Product Details

Summary
Reactivity HuSpecies Glossary
Applications IHC, MA
Clone
DBC2/3361
Clonality
Monoclonal
Host
Mouse
Conjugate
Unconjugated
Format
Azide and BSA Free
Concentration
1 mg/ml

Order Details

RHOBTB2 Antibody (DBC2/3361) - Azide and BSA Free Summary

Description
1.0 mg/ml of antibody purified from Bioreactor Concentrate by Protein A/G. Prepared in 10mM PBS WITHOUT BSA & azide. Also available at 200 ug/ml WITH BSA & azide (NBP3-13899).

Antibody with azide - store at 2 to 8C. Antibody without azide - store at -20 to -80 C.
Immunogen
Human recombinant RHOBTB2 protein fragment (around aa 554-604) (exact sequence is proprietary) (Uniprot: Q9BYZ6)
Localization
Secreted in plasm
Isotype
IgG2b Kappa
Clonality
Monoclonal
Host
Mouse
Gene
RHOBTB2
Purity
Protein A or G purified
Innovator's Reward
Test in a species/application not listed above to receive a full credit towards a future purchase.

Applications/Dilutions

Dilutions
  • Immunohistochemistry-Paraffin 1-2 ug/ml
  • Protein Array
Application Notes
Immunohistochemistry (Formalin-fixed): 1-2ug/ml for 30 minutes at RT. Staining of formalin-fixed tissues requires heating tissue sections in 10mM Tris with 1mM EDTA, pH 9.0, for 45 min at 95C followed by cooling at RT for 20 minutes
Theoretical MW
83 kDa.
Disclaimer note: The observed molecular weight of the protein may vary from the listed predicted molecular weight due to post translational modifications, post translation cleavages, relative charges, and other experimental factors.

Packaging, Storage & Formulations

Storage
Store at -20 to -80C. Avoid freeze-thaw cycles.
Buffer
10mM PBS
Preservative
No Preservative
Concentration
1 mg/ml
Purity
Protein A or G purified

Alternate Names for RHOBTB2 Antibody (DBC2/3361) - Azide and BSA Free

  • DBC2KIAA0717Deleted in breast cancer 2 gene protein
  • p83
  • Rho-related BTB domain containing 2
  • rho-related BTB domain-containing protein 2

Background

RHOBTB2 (Rho-Related BTB Domain Containing 2) is a tumor suppressor for some forms of breast cancer and may have a role in protein transport. RHOBTB2 is known to have interactions with KDM5B, ARHGAP35, RAC2, RHOB and RHOBTB1. RHOBTB2 has been studied in relation to breast cancer, sporadic breast cancer, familial breast cancer and gastric cancer.

Limitations

This product is for research use only and is not approved for use in humans or in clinical diagnosis. Primary Antibodies are guaranteed for 1 year from date of receipt.

Customers Who Viewed This Item Also Viewed...

NBP2-25160
Species: Bv, Ca, Eq, Hu, Mu, Po, Rt
Applications: ICC/IF, IHC, WB
NBP2-32840
Species: Hu, Pm, Mu, Rt
Applications: Flow, ICC/IF, IHC,  IHC-P, WB
NBP1-58359
Species: Hu
Applications: IHC,  IHC-P, WB
NB100-58788
Species: Hu, Mu
Applications: IHC,  IHC-P, IP, WB
NBP1-58908
Species: Hu
Applications: IHC,  IHC-P, WB
NBP3-45637
Species: Hu, Mu, Rt
Applications: ELISA, IHC, WB
NBP1-83908
Species: Hu
Applications: ICC/IF, IHC,  IHC-P, WB
NBP1-33736
Species: Hu, Mu, Rt
Applications: ICC/IF, IHC,  IHC-P, IP, WB
7268-CT
Species: Hu
Applications: BA
NBP2-52553
Species: Hu
Applications: CyTOF-ready, ELISA, Flow, WB
NBP1-78444
Species: Hu, Mu, Pm, Rb, Rt
Applications: ICC/IF, IHC,  IHC-P, Simple Western, WB
NBP1-59021
Species: Hu, Mu, Rt
Applications: IHC,  IHC-P, IP, WB
NBP2-67899
Species: Hu, Mu, Rt
Applications: Flow, ICC/IF, IHC,  IHC-P, IP, WB
NBP2-15619
Species: Hu
Applications: ICC/IF, IHC,  IHC-P, WB
NBP1-31398
Species: Hu, Mu
Applications: ICC/IF, IHC, IHC-Fr,  IHC-P, KD, mIF, WB
NBP1-89189
Species: Hu, Mu
Applications: IHC,  IHC-P
NBP3-14286
Species: Hu
Applications: IHC, MA

Publications for RHOBTB2 Antibody (NBP3-14286) (0)

There are no publications for RHOBTB2 Antibody (NBP3-14286).
By submitting your publication information earn gift cards and discounts for future purchases.

Reviews for RHOBTB2 Antibody (NBP3-14286) (0)

There are no reviews for RHOBTB2 Antibody (NBP3-14286). By submitting a review you will receive an Amazon e-Gift Card or Novus Product Discount.
  • Review with no image -- $10/€7/£6/$10 CAD/¥70 Yuan/¥1110 Yen
  • Review with an image -- $25/€18/£15/$25 CAD/¥150 Yuan/¥2500 Yen

Product General Protocols

Find general support by application which include: protocols, troubleshooting, illustrated assays, videos and webinars.

FAQs for RHOBTB2 Antibody (NBP3-14286) (0)

There are no specific FAQs related to this product. Read our general customer & technical service FAQs.

Secondary Antibodies

 

Isotype Controls

Additional RHOBTB2 Products

Research Areas for RHOBTB2 Antibody (NBP3-14286)

Find related products by research area.

Blogs on RHOBTB2

There are no specific blogs for RHOBTB2, but you can read our latest blog posts.

Customers Who Bought This Also Bought

Contact Information

Product PDFs

Calculators

Concentration Calculator

The concentration calculator allows you to quickly calculate the volume, mass or concentration of your vial. Simply enter your mass, volume, or concentration values for your reagent and the calculator will determine the rest.

=
÷

Review this Product

Be the first to review our RHOBTB2 Antibody (DBC2/3361) - Azide and BSA Free and receive a gift card or discount.

Bioinformatics

Gene Symbol RHOBTB2