RGSL2 Antibody - BSA Free

Images

 
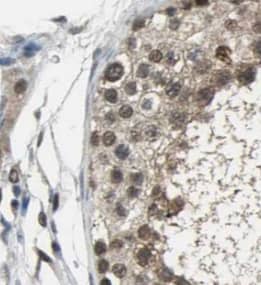
Immunohistochemistry: RGSL2 Antibody - BSA Free [NBP3-46741] - Immunohistochemistry of paraffin-embedded human testis tissue slide using ( RGSL2 Antibody) at dilution of 1:50
Western Blot: RGSL2 Antibody - BSA Free [NBP3-46741] - Mouse brain tissue were subjected to SDS PAGE followed by western blot with ( RGSL2 Antibody) at dilution of 1:600

Product Details

Summary
Reactivity Hu, MuSpecies Glossary
Applications WB, ELISA, IHC
Clonality
Polyclonal
Host
Rabbit
Conjugate
Unconjugated
Format
BSA Free

Order Details

RGSL2 Antibody - BSA Free Summary

Description
Novus Biologicals Rabbit RGSL2 Antibody - BSA Free (NBP3-46741) is a polyclonal antibody validated for use in IHC, WB and ELISA. All Novus Biologicals antibodies are covered by our 100% guarantee.
Immunogen
regulator of G-protein signaling like 1. (Uniprot# A5PLK6)
Isotype
IgG
Clonality
Polyclonal
Host
Rabbit
Gene
RGSL1
Purity
Immunogen affinity purified
Innovator's Reward
Test in a species/application not listed above to receive a full credit towards a future purchase.

Applications/Dilutions

Dilutions
  • ELISA
  • Immunohistochemistry 1:50-1:500
  • Western Blot 1:500-1:1000
Theoretical MW
125 kDa.
Disclaimer note: The observed molecular weight of the protein may vary from the listed predicted molecular weight due to post translational modifications, post translation cleavages, relative charges, and other experimental factors.

Packaging, Storage & Formulations

Storage
Store at -20C. Avoid freeze-thaw cycles.
Buffer
PBS, 50% Glycerol, pH (7.3)
Preservative
0.02% Sodium Azide
Purity
Immunogen affinity purified

Alternate Names for RGSL2 Antibody - BSA Free

  • DKFZp434E169
  • regulator of G-protein signaling like 2

Background

The RGSL2 (also known as the RGSL1 gene) gene encodes a regulator of G-protein signaling protein-like 1 that exists in six isoforms: isoform 1 is 1,706 amino acids long and 125 kDA; isoform 2 is 599 amino acids long and 70 kDA; isoform 3 is 500 amino acids long and 58 kDA; isoform 4 is 402 amino acids long and 47 kDA; isoform 5 is 472 amino acids long and 55 kDA; and isoform 6 is 539 amino acids long and 62 kDA. RGSL2 has been researched regarding its role in breast carcinoma, prostatitis, alzheimer's disease, and pertussis.

Limitations

This product is for research use only and is not approved for use in humans or in clinical diagnosis. Primary Antibodies are guaranteed for 1 year from date of receipt.

Customers Who Viewed This Item Also Viewed...

NBP2-24517
Species: Bv, Hu, Pm, Rt
Applications: IHC,  IHC-P, WB
NBP2-01584
Species: Hu, Mu, Rt
Applications: Flow, ICC/IF, IHC,  IHC-P, WB
NBP1-80886
Species: Hu
Applications: Flow, IHC,  IHC-P, IP, WB
NBP3-09471
Species: Hu
Applications: WB
NB100-91273
Species: Hu, Mu, Pm, Rt
Applications: ICC/IF, IHC,  IHC-P, WB
664-LI
Species: Hu
Applications: BA
AF1396
Species: Hu
Applications: WB
NBP2-20153
Species: Hu, Mu
Applications: WB
AF4737
Species: Hu
Applications: WB
AF1235
Species: Hu
Applications: IHC, WB
NBP2-41211
Species: Hu, Mu, Rt
Applications: ELISA, ICC/IF, IHC,  IHC-P, WB
AF5480
Species: Hu
Applications: IHC
H00004595-M01
Species: Hu, Mu
Applications: ELISA, ICC/IF, IHC,  IHC-P, IP, KD, WB
NBP3-35435
Species: Hu, Mu, Rt
Applications: ELISA, ICC/IF, WB
MAB5699
Species: Hu
Applications: IHC
NBP1-88527
Species: Hu, Mu, Rt
Applications: IHC,  IHC-P, WB
NBP2-48615
Species: Hu
Applications: IHC,  IHC-P, WB
NBP3-46741
Species: Hu, Mu
Applications: WB, ELISA, IHC

Publications for RGSL2 Antibody (NBP3-46741) (0)

There are no publications for RGSL2 Antibody (NBP3-46741).
By submitting your publication information earn gift cards and discounts for future purchases.

Reviews for RGSL2 Antibody (NBP3-46741) (0)

There are no reviews for RGSL2 Antibody (NBP3-46741). By submitting a review you will receive an Amazon e-Gift Card or Novus Product Discount.
  • Review with no image -- $10/€7/£6/$10 CAD/¥70 Yuan/¥1110 Yen
  • Review with an image -- $25/€18/£15/$25 CAD/¥150 Yuan/¥2500 Yen

Product General Protocols

Find general support by application which include: protocols, troubleshooting, illustrated assays, videos and webinars.

Video Protocols

WB Video Protocol

FAQs for RGSL2 Antibody (NBP3-46741) (0)

There are no specific FAQs related to this product. Read our general customer & technical service FAQs.

Customers Who Bought This Also Bought

Contact Information

Product PDFs

Calculators

Concentration Calculator

The concentration calculator allows you to quickly calculate the volume, mass or concentration of your vial. Simply enter your mass, volume, or concentration values for your reagent and the calculator will determine the rest.

=
÷

Review this Product

Be the first to review our RGSL2 Antibody - BSA Free and receive a gift card or discount.

Bioinformatics

Gene Symbol RGSL1