RGS2 Antibody - BSA Free

Images

 
Immunohistochemistry-Paraffin: RGS2 Antibody [NBP1-32284] - Rat ovary. RGS2 antibody diluted at 1:500. Antigen Retrieval: Citrate buffer, pH 6.0, 15 min.
Western Blot: RGS2 Antibody [NBP1-32284] -Whole cell extract (30 ug) was separated by 12% SDS-PAGE, and the membrane was blotted with RGS2 antibody diluted at 1:1000. The HRP-conjugated anti-rabbit IgG antibody ...read more
Western Blot: RGS2 Antibody [NBP1-32284] - Whole cell extract (30 ug) was separated by 12% SDS-PAGE, and the membrane was blotted with RGS2 antibody diluted at 1:1000. The HRP-conjugated anti-rabbit IgG antibody ...read more
Orthogonal Strategies: 22RV1 whole cell and membrane extracts (30 ug) were separated by 12% SDS-PAGE, and the membrane was blotted with RGS2 antibody (NBP1-32284) diluted at 1:2500. The HRP-conjugated anti-rabbit ...read more
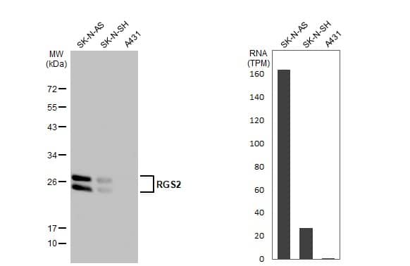
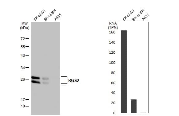
Orthogonal Strategies: Various whole cell extracts (30 ug) were separated by 12% SDS-PAGE, and the membrane was blotted with RGS2 antibody (NBP1-32284) diluted at 1:1000. The HRP-conjugated anti-rabbit IgG ...read more

Product Details

Summary
Reactivity Hu, Mu, Rt, Po, Bv, RMSpecies Glossary
Applications WB, ICC/IF, IHC
Clonality
Polyclonal
Host
Rabbit
Conjugate
Unconjugated
Format
BSA Free
Validated by:
       

Orthogonal Strategies

 

Order Details

RGS2 Antibody - BSA Free Summary

Description
Novus Biologicals Rabbit RGS2 Antibody - BSA Free (NBP1-32284) is a polyclonal antibody validated for use in IHC, WB and ICC/IF. All Novus Biologicals antibodies are covered by our 100% guarantee.
Immunogen
Recombinant protein encompassing a sequence within the center region of human RGS2. The exact sequence is proprietary.
Predicted Species
Porcine (95%), Bovine (93%), Rhesus Macaque (99%). Backed by our 100% Guarantee.
Isotype
IgG
Clonality
Polyclonal
Host
Rabbit
Gene
RGS2
Purity
Antigen Affinity-purified
Innovator's Reward
Test in a species/application not listed above to receive a full credit towards a future purchase.

Applications/Dilutions

Dilutions
  • Immunocytochemistry/ Immunofluorescence 1:100-1:1000
  • Immunohistochemistry 1:100-1:1000
  • Immunohistochemistry-Paraffin 1:100-1:1000
  • Western Blot 1:500-1:3000
Theoretical MW
24 kDa.
Disclaimer note: The observed molecular weight of the protein may vary from the listed predicted molecular weight due to post translational modifications, post translation cleavages, relative charges, and other experimental factors.

Packaging, Storage & Formulations

Storage
Aliquot and store at -20C or -80C. Avoid freeze-thaw cycles.
Buffer
PBS, 20% Glycerol
Preservative
0.025% Proclin 300
Purity
Antigen Affinity-purified

Alternate Names for RGS2 Antibody - BSA Free

  • Cell growth-inhibiting gene 31 protein
  • G0 to G1 switch regulatory 8, 24kD
  • G0/G1 switch regulatory protein 8
  • G0S8cell growth-inhibiting protein 31
  • regulator of G-protein signaling 2
  • regulator of G-protein signaling 2, 24kDa
  • regulator of G-protein signalling 2, 24kD
  • regulator of G-protein signalling 2, 24kDa

Background

Regulators of G-protein signaling (RGSs) are a protein family containing a conserved 120 amino acid domain (RGS domain), which bind directly to activated G-alpha subunits (Gai and Gaq) and act as GTPase-activating proteins (GAPs). One of these proteins, RGS2, is expressed in thyroid, heart. thyroid, and monocyte-derived DCs. The function of RGS2 as a regulator of Gq is also dependent on regulatory sequences in its amino-terminal domain that direct its localization to the plasma membrane. Recent studies have shown that RGS2 is critical for blood pressure homeostasis, and has been suggested to serve as an effector of the NO-cGMP pathway that promotes vascular relaxation based on studies of aortic rings in vitro.

Limitations

This product is for research use only and is not approved for use in humans or in clinical diagnosis. Primary Antibodies are guaranteed for 1 year from date of receipt.

Customers Who Viewed This Item Also Viewed...

NBP3-25636
Species: Hu, Mu, Rt
Applications: ICC/IF, IHC,  IHC-P, WB
NBP1-32728
Species: Hu, Mu, Rt
Applications: ICC/IF, IHC,  IHC-P, IP, WB
NB100-1029
Species: Hu
Applications: IHC,  IHC-P, PEP-ELISA, WB
NBP2-00880
Species: Hu, Mu, Rt
Applications: Flow, ICC/IF, IHC,  IHC-P, WB
H00005998-M01
Species: Hu
Applications: ELISA, ICC/IF, IHC,  IHC-P, S-ELISA, WB
NLS1017
Species: Bt, Bv, Ca, Eq, Hu, Mu
Applications: IHC,  IHC-P
NLS2576
Species: Hu, Pm, Rt
Applications: IHC,  IHC-P
NLS418
Species: Hu
Applications: IHC,  IHC-P
MAB8458
Species: Hu
Applications: CyTOF-ready, Flow, ICC
MAB194
Species: Hu, Mu
Applications: CyTOF-ready, Flow, ICC, WB
NLS2756
Species: Hu, Pm
Applications: ICC, IHC,  IHC-P
NBP2-01584
Species: Hu, Mu, Rt
Applications: Flow, ICC/IF, IHC,  IHC-P, WB
NBP1-30027
Species: Hu, Mu, Rt
Applications: ICC/IF, IHC,  IHC-P, WB
NBP1-32284
Species: Hu, Mu, Rt, Po, Bv, RM
Applications: WB, ICC/IF, IHC
⚠ WARNING: This product can expose you to chemicals including mercury, which is known to the State of California to cause reproductive toxicity with developmental effects.  For more information go to www.P65Warnings.ca.gov.

Publications for RGS2 Antibody (NBP1-32284) (0)

There are no publications for RGS2 Antibody (NBP1-32284).
By submitting your publication information earn gift cards and discounts for future purchases.

Reviews for RGS2 Antibody (NBP1-32284) (0)

There are no reviews for RGS2 Antibody (NBP1-32284). By submitting a review you will receive an Amazon e-Gift Card or Novus Product Discount.
  • Review with no image -- $10/€7/£6/$10 CAD/¥70 Yuan/¥1110 Yen
  • Review with an image -- $25/€18/£15/$25 CAD/¥150 Yuan/¥2500 Yen

Product General Protocols

Find general support by application which include: protocols, troubleshooting, illustrated assays, videos and webinars.

Video Protocols

WB Video Protocol
ICC/IF Video Protocol

FAQs for RGS2 Antibody (NBP1-32284) (0)

There are no specific FAQs related to this product. Read our general customer & technical service FAQs.

Secondary Antibodies

 

Isotype Controls

Additional RGS2 Products

Research Areas for RGS2 Antibody (NBP1-32284)

Find related products by research area.

Blogs on RGS2

There are no specific blogs for RGS2, but you can read our latest blog posts.

Customers Who Bought This Also Bought

Contact Information

Product PDFs

Calculators

Concentration Calculator

The concentration calculator allows you to quickly calculate the volume, mass or concentration of your vial. Simply enter your mass, volume, or concentration values for your reagent and the calculator will determine the rest.

=
÷

Review this Product

Be the first to review our RGS2 Antibody - BSA Free and receive a gift card or discount.

Bioinformatics

Gene Symbol RGS2
Entrez
Uniprot