RBBP9 Antibody (OTI4G3) - Azide and BSA Free

Images

 
Western Blot: RBBP9 Antibody (OTI4G3) - Azide and BSA Free [NBP2-73828] - HEK293T cells were transfected with the pCMV6-ENTRY control (Left lane) or pCMV6-ENTRY RBBP9 (Right lane) cDNA for 48 hrs and lysed. Equivalent ...read more
Immunocytochemistry/ Immunofluorescence: RBBP9 Antibody (OTI4G3) - Azide and BSA Free [NBP2-73828] - Staining of COS7 cells transiently transfected by pCMV6-ENTRY RBBP9.
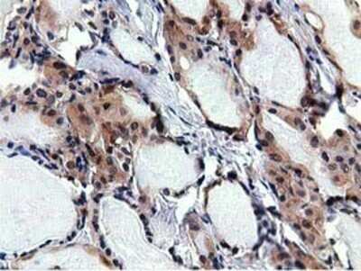
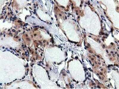
Immunohistochemistry: RBBP9 Antibody (OTI4G3) - Azide and BSA Free [NBP2-73828] - Staining of paraffin-embedded Carcinoma of Human thyroid tissue using anti-RBBP9 mouse monoclonal antibody.
Flow Cytometry: RBBP9 Antibody (OTI4G3) - Azide and BSA Free [NBP2-73828] - HEK293T cells transfected with either overexpression plasmid (Red) or empty vector control plasmid (Blue) were immunostaining by anti-RBBP9 ...read more
Flow Cytometry: RBBP9 Antibody (OTI4G3) - Azide and BSA Free [NBP2-73828] - Analysis of Hela cells, using anti-RBBP9 antibody, (Red), compared to a nonspecific negative control antibody (Blue).
Flow Cytometry: RBBP9 Antibody (OTI4G3) - Azide and BSA Free [NBP2-73828] - Analysis of Jurkat cells, using anti-RBBP9 antibody, (Red), compared to a nonspecific negative control antibody (Blue).

Product Details

Summary
Reactivity Hu, Mu, RtSpecies Glossary
Applications WB, Flow, ICC/IF, IHC, CyTOF-ready
Clone
OTI4G3
Clonality
Monoclonal
Host
Mouse
Conjugate
Unconjugated
Format
Azide and BSA Free
Concentration
LYOPH

Order Details

RBBP9 Antibody (OTI4G3) - Azide and BSA Free Summary

Description
Novus Biologicals Mouse RBBP9 Antibody (OTI4G3) - Azide and BSA Free (NBP2-03025) is a monoclonal antibody validated for use in IHC, WB, Flow and ICC/IF. All Novus Biologicals antibodies are covered by our 100% guarantee.
Immunogen
Full length human recombinant protein of human RBBP9 (NP_006597) produced in HEK293T cell.
Isotype
IgG2a
Clonality
Monoclonal
Host
Mouse
Gene
RBBP9
Purity
Immunogen affinity purified
Innovator's Reward
Test in a species/application not listed above to receive a full credit towards a future purchase.

Applications/Dilutions

Dilutions
  • CyTOF-ready
  • Flow Cytometry 1:100
  • Immunocytochemistry/ Immunofluorescence 1:100
  • Immunohistochemistry 1:150
  • Immunohistochemistry-Paraffin
  • Western Blot 1:2000
Theoretical MW
20.8 kDa.
Disclaimer note: The observed molecular weight of the protein may vary from the listed predicted molecular weight due to post translational modifications, post translation cleavages, relative charges, and other experimental factors.

Reactivity Notes

Please note that this antibody is reactive to Mouse and derived from the same host, Mouse. Mouse-On-Mouse blocking reagent may be needed for IHC and ICC experiments to reduce high background signal. You can find these reagents under catalog numbers PK-2200-NB and MP-2400-NB. Please contact Technical Support if you have any questions.

Packaging, Storage & Formulations

Storage
Store at -20C. Avoid freeze-thaw cycles.
Buffer
Lyophilized from PBS (pH 7.3) with 8% Trehalose
Preservative
No Preservative
Concentration
LYOPH
Purity
Immunogen affinity purified
Reconstitution Instructions
we recommend adding 100uL distilled water to a final antibody concentration of about 1 mg/mL. To use this carrier-free antibody for conjugation experiment, we strongly recommend performing another round of desalting process.

Alternate Names for RBBP9 Antibody (OTI4G3) - Azide and BSA Free

  • B5T-overexpressed gene protein
  • Bog
  • BOGB5T overexpressed gene protein
  • EC 3.-
  • Protein BOG
  • putative hydrolase RBBP9
  • RBBP10
  • RBBP-10
  • RBBP-9
  • retinoblastoma binding protein 9
  • Retinoblastoma-binding protein 10
  • Retinoblastoma-binding protein 9MGC9236
  • retinoma-binding protein 9

Background

RBBP9 is encoded by this gene is a retinoblastoma binding protein that may play a role in the regulation of cell proliferation and differentiation. Two alternatively spliced transcript variants of this gene with identical predicted protein products have been reported, one of which is a nonsense-mediated decay candidate. [provided by RefSeq]

Limitations

This product is for research use only and is not approved for use in humans or in clinical diagnosis. Primary Antibodies are guaranteed for 1 year from date of receipt.

Customers Who Viewed This Item Also Viewed...

MAB6495
Species: Hu
Applications: ICC, Simple Western, WB
AF3797
Species: Hu, Mu
Applications: ChIP, ICC, IHC, Simple Western, WB
NBP2-67899
Species: Hu, Mu, Rt
Applications: Flow, ICC/IF, IHC,  IHC-P, IP, WB
NBP1-26616
Species: Hu
Applications: IP, WB
NB100-56479
Species: Bv, Ca, Hu, Mu, Po, Pm, Rt
Applications: ICC/IF, IHC,  IHC-P, Simple Western, WB
NBP2-43685
Species: Hu
Applications: WB
NB100-556
Species: Hu
Applications: IP, WB
NBP1-82072
Species: Hu
Applications: ICC/IF, IHC,  IHC-P
NBP2-13075
Species: Ba, Hu, Pm, Mu, Rt
Applications: DB, ELISA, IB, ICC/IF, IHC-FrFl, IHC, IHC-Fr,  IHC-P, IP, WB
NBP2-37592
Species: Hu
Applications: ELISA, Flow, ICC/IF, IHC,  IHC-P, WB
NBP1-90242
Species: Hu
Applications: ICC/IF, IHC,  IHC-P, KD, WB
NBP2-54983
Species: Hu
Applications: ICC/IF
NB500-123
Species: Hu, Mu
Applications: B/N, ChIP, Func, ICC/IF, IHC,  IHC-P, IP, WB
H00002316-M01
Species: Hu, Mu, Rt
Applications: ELISA, ICC/IF, IHC,  IHC-P, PLA, WB
NB100-404
Species: Hu
Applications: ChIP, ICC/IF, IHC,  IHC-P, IP, KD, KO, WB
NBP3-16849
Species: Hu, Mu, Rt
Applications: ELISA, ICC/IF, IHC,  IHC-P, WB
AF748
Species: Hu, Mu
Applications: CyTOF-ready, Dual ISH-IHC, Flow, ICC, IHC, Simple Western, WB
NB500-106
Species: Ch, Dr, Fi, Hu, Mar, Mu, Po, Pm, Rb, Rt, Ye, Ze
Applications: ChIP, ChIP, ELISA, Flow, ICC/IF, IHC-FrFl, IHC, IHC-Fr,  IHC-P, IP, Simple Western, WB
NBP2-46518
Species: Hu
Applications: IHC,  IHC-P, WB
NBP2-73828
Species: Hu, Mu, Rt
Applications: WB, Flow, ICC/IF, IHC, CyTOF-ready

Publications for RBBP9 Antibody (NBP2-73828) (0)

There are no publications for RBBP9 Antibody (NBP2-73828).
By submitting your publication information earn gift cards and discounts for future purchases.

Reviews for RBBP9 Antibody (NBP2-73828) (0)

There are no reviews for RBBP9 Antibody (NBP2-73828). By submitting a review you will receive an Amazon e-Gift Card or Novus Product Discount.
  • Review with no image -- $10/€7/£6/$10 CAD/¥70 Yuan/¥1110 Yen
  • Review with an image -- $25/€18/£15/$25 CAD/¥150 Yuan/¥2500 Yen

Product General Protocols

Find general support by application which include: protocols, troubleshooting, illustrated assays, videos and webinars.

Video Protocols

WB Video Protocol
ICC/IF Video Protocol

FAQs for RBBP9 Antibody (NBP2-73828) (0)

There are no specific FAQs related to this product. Read our general customer & technical service FAQs.

Secondary Antibodies

 

Isotype Controls

Additional RBBP9 Products

Research Areas for RBBP9 Antibody (NBP2-73828)

Find related products by research area.

Blogs on RBBP9

There are no specific blogs for RBBP9, but you can read our latest blog posts.

Customers Who Bought This Also Bought

Contact Information

Product PDFs

Calculators

Concentration Calculator

The concentration calculator allows you to quickly calculate the volume, mass or concentration of your vial. Simply enter your mass, volume, or concentration values for your reagent and the calculator will determine the rest.

=
÷

Review this Product

Be the first to review our RBBP9 Antibody (OTI4G3) - Azide and BSA Free and receive a gift card or discount.

Bioinformatics

Gene Symbol RBBP9