PRDM7 Antibody - BSA Free

Images

 
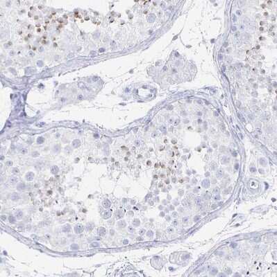
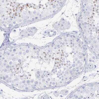
Immunohistochemistry-Paraffin: PRDM7 Antibody [NBP2-32504] - Staining of human testis shows moderate cytoplasmic positivity in acrosomes.
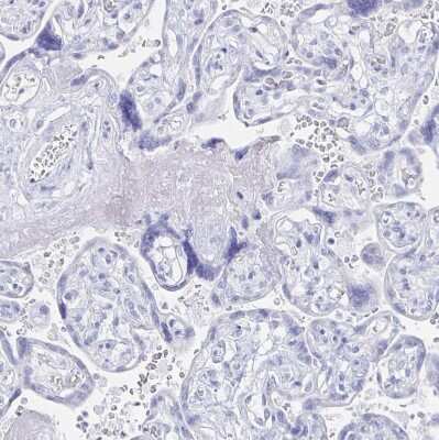
Immunohistochemistry-Paraffin: PRDM7 Antibody [NBP2-32504] - Staining of human placenta shows no positivity in trophoblastic cells as expected.

Product Details

Summary
Reactivity HuSpecies Glossary
Applications IHC
Clonality
Polyclonal
Host
Rabbit
Conjugate
Unconjugated
Format
BSA Free

Order Details

View Available Formulations
Catalog# & Formulation Size Price

PRDM7 Antibody - BSA Free Summary

Description
Novus Biologicals Rabbit PRDM7 Antibody - BSA Free (NBP2-32504) is a polyclonal antibody validated for use in IHC. All Novus Biologicals antibodies are covered by our 100% guarantee.
Immunogen
This antibody was developed against a recombinant protein corresponding to amino acids: ELGIRSSIEPAESLGQAVNCWSGMGMSMARNWASSGAASGRKSSWQGENQSQRSIHVPHAVWP
Isotype
IgG
Clonality
Polyclonal
Host
Rabbit
Gene
PRDM7
Purity
Immunogen affinity purified
Innovator's Reward
Test in a species/application not listed above to receive a full credit towards a future purchase.

Applications/Dilutions

Dilutions
  • Immunohistochemistry 1:50 - 1:200
  • Immunohistochemistry-Paraffin 1:50 - 1:200
Application Notes
For IHC-Paraffin, HIER pH 6 retrieval is recommended.
Control Peptide
PRDM7 Protein (NBP2-32504PEP)

Packaging, Storage & Formulations

Storage
Store at 4C short term. Aliquot and store at -20C long term. Avoid freeze-thaw cycles.
Buffer
PBS (pH 7.2) and 40% Glycerol
Preservative
0.02% Sodium Azide
Purity
Immunogen affinity purified

Alternate Names for PRDM7 Antibody - BSA Free

  • probable histone-lysine N-methyltransferase PRDM7
  • PFM4
  • PR domain containing 7
  • ZNF910

Background

The protein encoded by the PRDM7 gene is a transcription factor of the PR-domain protein family. It contains a PR-domain and multiple zinc finger motifs. Transcription factors of the PR-domain family are known to be involved in cell differentiation and tumorigenesis. Alternative splicing results in multiple transcript variants encoding distinct isoforms. (provided by RefSeq)

Limitations

This product is for research use only and is not approved for use in humans or in clinical diagnosis. Primary Antibodies are guaranteed for 1 year from date of receipt.

Customers Who Viewed This Item Also Viewed...

AF2605
Species: Hu
Applications: ICC, IHC, Simple Western, WB
314-BP
Species: Hu
Applications: BA, BA
AF3797
Species: Hu, Mu
Applications: ChIP, ICC, IHC, Simple Western, WB
MAB8170
Species: Hu, Mu, Rt
Applications: IHC, KO, mIF, Simple Western, WB
AF4798
Species: Hu
Applications: WB
NBP2-16012
Species: Hu
Applications: ICC/IF, IHC,  IHC-P, WB
2914-HT
Species: Hu
Applications: BA
H00010362-M01
Species: Hu
Applications: ELISA, ICC/IF, IHC,  IHC-P, WB
NBP2-32504
Species: Hu
Applications: IHC

Publications for PRDM7 Antibody (NBP2-32504) (0)

There are no publications for PRDM7 Antibody (NBP2-32504).
By submitting your publication information earn gift cards and discounts for future purchases.

Reviews for PRDM7 Antibody (NBP2-32504) (0)

There are no reviews for PRDM7 Antibody (NBP2-32504). By submitting a review you will receive an Amazon e-Gift Card or Novus Product Discount.
  • Review with no image -- $10/€7/£6/$10 CAD/¥70 Yuan/¥1110 Yen
  • Review with an image -- $25/€18/£15/$25 CAD/¥150 Yuan/¥2500 Yen

Product General Protocols

Find general support by application which include: protocols, troubleshooting, illustrated assays, videos and webinars.

FAQs for PRDM7 Antibody (NBP2-32504) (0)

There are no specific FAQs related to this product. Read our general customer & technical service FAQs.

Customers Who Bought This Also Bought

Contact Information

Product PDFs

Calculators

Concentration Calculator

The concentration calculator allows you to quickly calculate the volume, mass or concentration of your vial. Simply enter your mass, volume, or concentration values for your reagent and the calculator will determine the rest.

=
÷

Review this Product

Be the first to review our PRDM7 Antibody - BSA Free and receive a gift card or discount.

Bioinformatics

Gene Symbol PRDM7