Porimin Antibody (CL14381) - Azide and BSA Free

Images

 
Orthogonal Strategies: Analysis in human tonsil and skeletal muscle tissues using NBP3-44335 antibody. Corresponding Porimin RNA-seq data are presented for the same tissues.
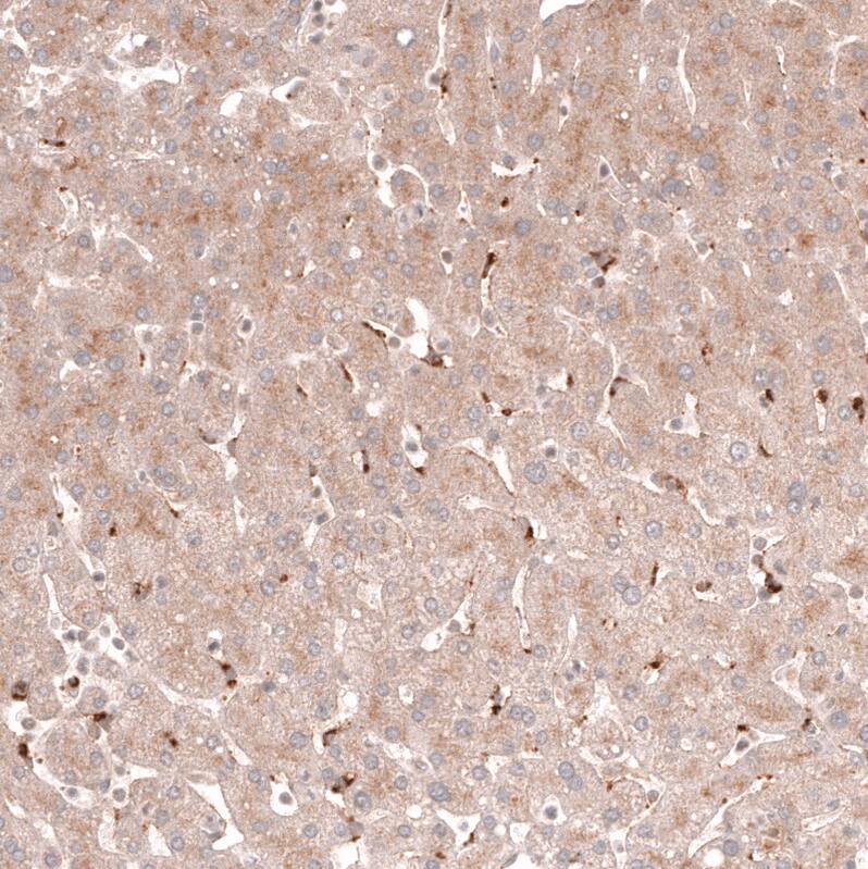
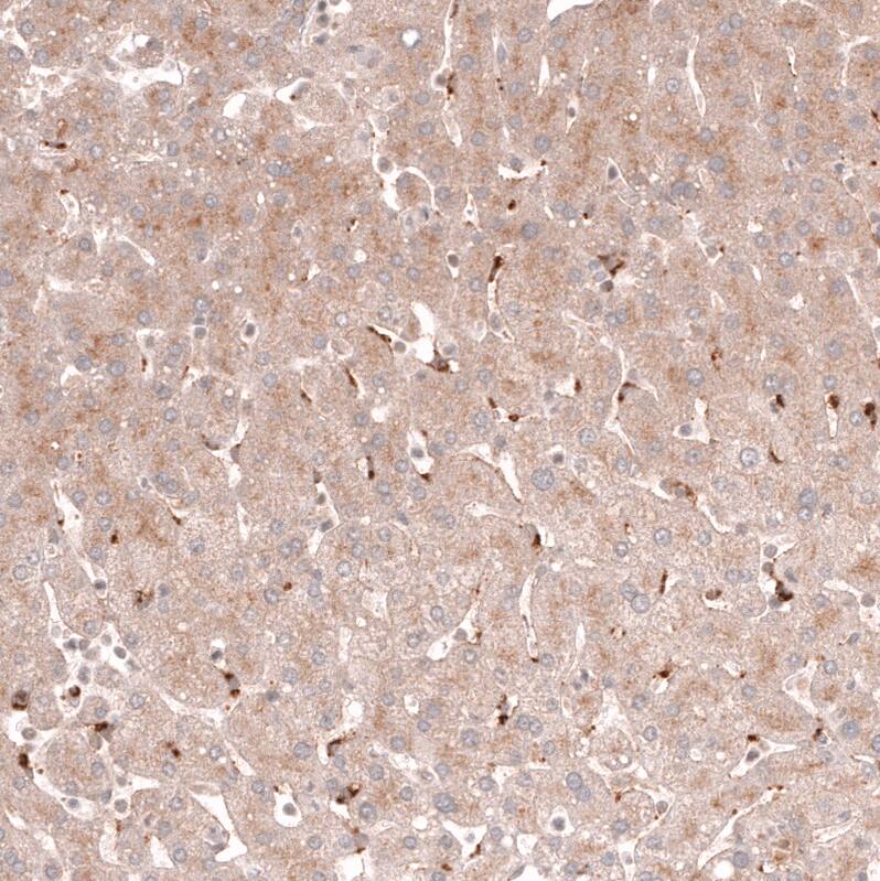
Staining of human liver shows moderate cytoplasmic positivity in hepatocytes.
Staining of human skeletal muscle shows no positivity in myocytes as expected.
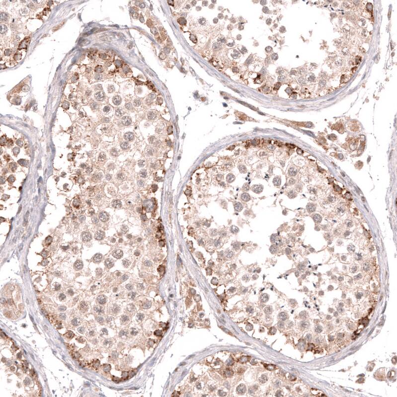
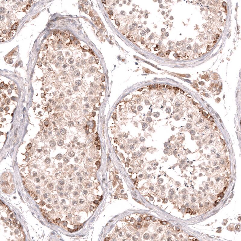
Staining of human testis shows moderate to strong cytoplasmic positivity in cells in seminiferous ducts.
Staining of human tonsil shows moderate to strong cytoplasmic positivity in germinal center cells.

Product Details

Summary
Reactivity HuSpecies Glossary
Applications IHC
Clone
CL14381
Clonality
Monoclonal
Host
Mouse
Conjugate
Unconjugated
Format
Azide and BSA Free
Concentration
LYOPH
Validated by:
       

Orthogonal Strategies

 

Order Details

Porimin Antibody (CL14381) - Azide and BSA Free Summary

Description
Novus Biologicals Mouse Porimin Antibody (CL14381) - Azide and BSA Free (NBP3-26852) is a monoclonal antibody validated for use in IHC. All Novus Biologicals antibodies are covered by our 100% guarantee.
Immunogen
This antibody was generated using a synthetic peptide of Q8N131, with the exact immunogen sequence remaining proprietary.
Isotype
IgG2b
Clonality
Monoclonal
Host
Mouse
Gene
TMEM123
Purity
Protein A purified
Innovator's Reward
Test in a species/application not listed above to receive a full credit towards a future purchase.

Applications/Dilutions

Dilutions
  • Immunohistochemistry-Paraffin 1:20 - 1:50
Application Notes
For IHC-Paraffin, HIER pH 6 retrieval is recommended.

Packaging, Storage & Formulations

Storage
Store at 4C short term. Aliquot and store at -20C long term. Avoid freeze-thaw cycles.
Buffer
Lyophilized from a 0.2 um filtered solution in PBS with Trehalose
Preservative
No Preservative
Concentration
LYOPH
Purity
Protein A purified
Reconstitution Instructions
Centrifuge the vial of lyophilized antibody at 12,000 x g for 20 seconds. Reconstitute by adding sterile, distilled water to achieve a final antibody concentration of 1mg/ml.

Alternate Names for Porimin Antibody (CL14381) - Azide and BSA Free

  • KCT3
  • KCT-3
  • KCT3keratinocytes associated transmembrane protein 3
  • Keratinocytes-associated transmembrane protein 3
  • Porimin
  • PORIMINporimin
  • pro oncosis receptor inducing membrane injury
  • Pro-oncosis receptor inducing membrane injury
  • serine/threonine-rich receptor
  • TMEM123
  • transmembrane protein 123PORMIN

Background

Porimin was identified by a monoclonal antibody developed by immunizing mice with apoptotic cells. One of these antibodies, designated anti-Porimin (for pro-oncosis receptor inducing membrane injury), was found to directly induce a unique type of cell death in Jurkat cells by binding to a 110-kDa cell surface receptor on Jurkat cells. Anti-Porimin-mediated cell death was preceded by cell aggregation, formation of plasma membrane pores, and the appearance of membrane blebs. More important, these cells show neither DNA fragmentation nor apoptotic bodies, but display lethal damage of the cell membrane.

Limitations

This product is for research use only and is not approved for use in humans or in clinical diagnosis. Primary Antibodies are guaranteed for 1 year from date of receipt.

Customers Who Viewed This Item Also Viewed...

NB120-13550
Species: Hu, Mu, Rt
Applications: ICC/IF, IHC,  IHC-P, WB
AF632
Species: Hu
Applications: AgAct, Simple Western, WB
NBP1-84022
Species: Hu
Applications: ICC/IF, IHC,  IHC-P, WB
NBP2-21577
Species: Hu, Mu, Rt
Applications: ICC/IF, IHC, IHC-Fr,  IHC-P, IP, KD, WB
NBP2-92350
Species: Hu, Mu, Rt
Applications: ELISA, WB
AF1916
Species: Hu
Applications: ICC, IHC, WB
AF1230
Species: Hu, Mu, Rt
Applications: IHC, KO, WB
NBP1-59769
Species: Hu
Applications: WB
NBP1-32956
Species: Hu
Applications: ICC/IF, IHC,  IHC-P, IP, WB
NBP2-38780
Species: Hu
Applications: ICC/IF, IHC,  IHC-P, WB
NBP2-79854
Species: Hu
Applications: CyTOF-ready, Flow, ICC/IF, IHC,  IHC-P, PA, WB
NBP1-81796
Species: Hu, Mu, Rt
Applications: ICC/IF, IHC,  IHC-P, WB
409-ML
Species: Mu
Applications: BA
NBP3-44335
Species: Hu
Applications: IHC

Publications for Porimin Antibody (NBP3-44335) (0)

There are no publications for Porimin Antibody (NBP3-44335).
By submitting your publication information earn gift cards and discounts for future purchases.

Reviews for Porimin Antibody (NBP3-44335) (0)

There are no reviews for Porimin Antibody (NBP3-44335). By submitting a review you will receive an Amazon e-Gift Card or Novus Product Discount.
  • Review with no image -- $10/€7/£6/$10 CAD/¥70 Yuan/¥1110 Yen
  • Review with an image -- $25/€18/£15/$25 CAD/¥150 Yuan/¥2500 Yen

Product General Protocols

Find general support by application which include: protocols, troubleshooting, illustrated assays, videos and webinars.

FAQs for Porimin Antibody (NBP3-44335) (0)

There are no specific FAQs related to this product. Read our general customer & technical service FAQs.

Secondary Antibodies

 

Isotype Controls

Additional Porimin Products

Research Areas for Porimin Antibody (NBP3-44335)

Find related products by research area.

Blogs on Porimin

There are no specific blogs for Porimin, but you can read our latest blog posts.

Customers Who Bought This Also Bought

Contact Information

Product PDFs

Calculators

Concentration Calculator

The concentration calculator allows you to quickly calculate the volume, mass or concentration of your vial. Simply enter your mass, volume, or concentration values for your reagent and the calculator will determine the rest.

=
÷

Review this Product

Be the first to review our Porimin Antibody (CL14381) - Azide and BSA Free and receive a gift card or discount.

Bioinformatics

Gene Symbol TMEM123