Pleiotrophin/PTN Antibody (CL15628) - Azide and BSA Free

Images

 
Staining of human cerebellum shows strong cytoplasmic positivity in Purkinje cell.
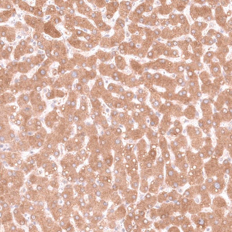
Staining of human liver shows moderate cytoplasmic positivity in hepatocytes.
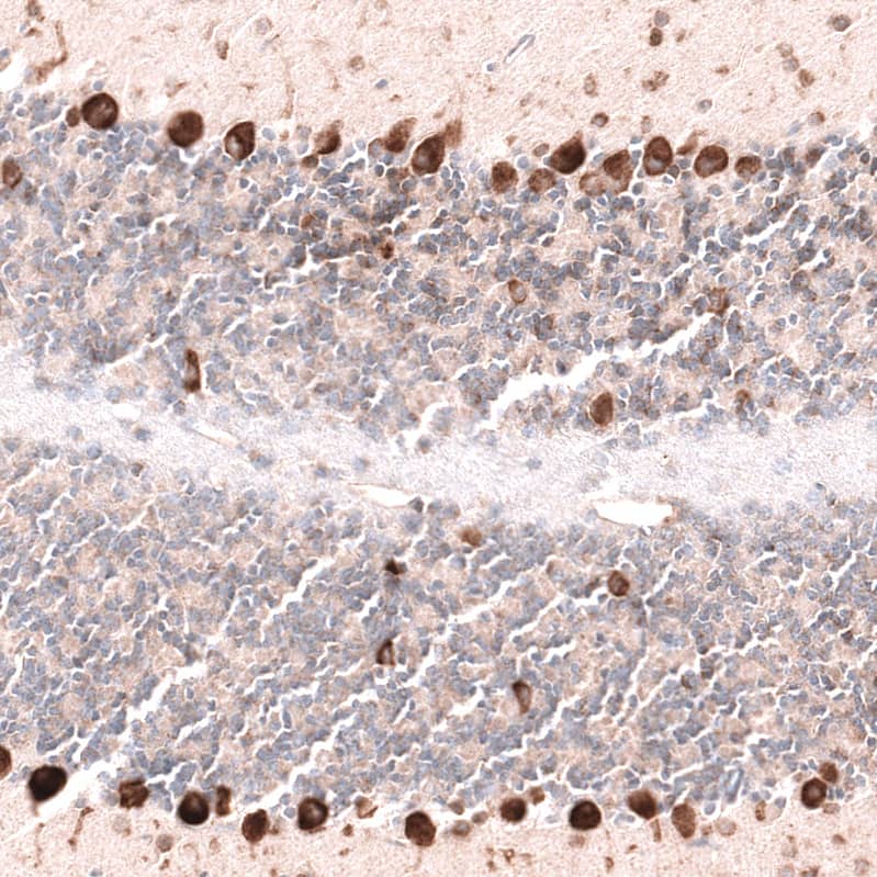
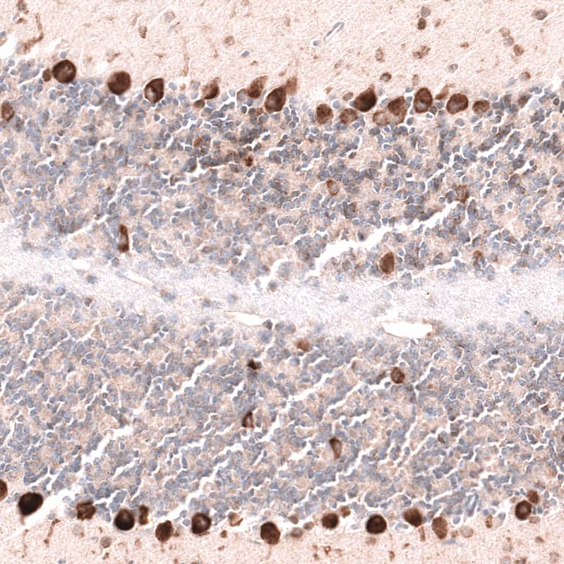
Staining of mouse cerebellum shows strong cytoplasmic positivity in Purkinje cells.
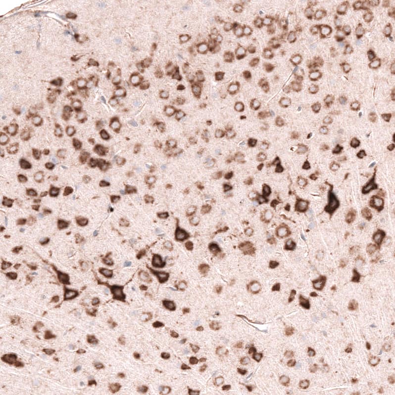
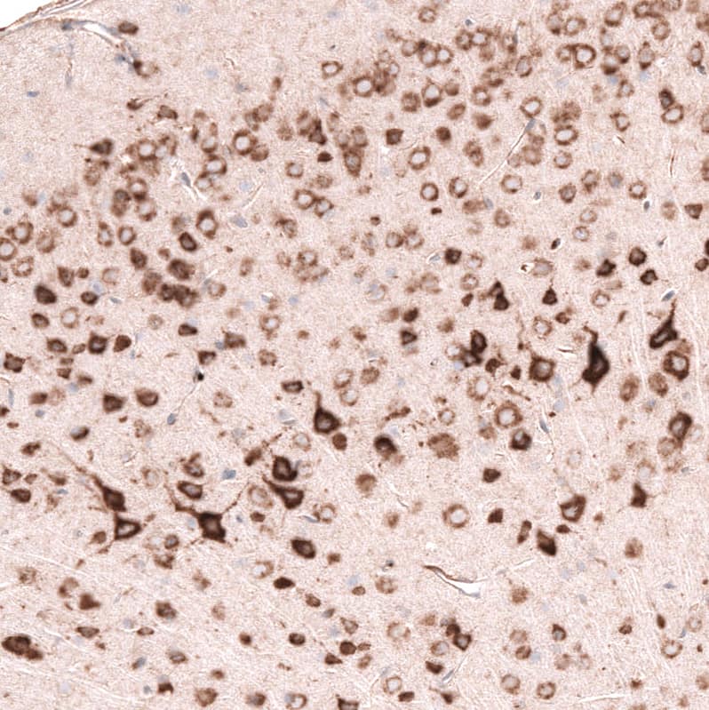
Staining of mouse cerebral cortex shows moderate to strong cytoplasmic positivity in neurons.

Product Details

Summary
Reactivity Hu, MuSpecies Glossary
Applications IHC
Clone
CL15628
Clonality
Monoclonal
Host
Mouse
Conjugate
Unconjugated
Format
Azide and BSA Free
Concentration
LYOPH

Order Details

Pleiotrophin/PTN Antibody (CL15628) - Azide and BSA Free Summary

Description
Novus Biologicals Mouse Pleiotrophin/PTN Antibody (CL15628) - Azide and BSA Free (NBP3-43677) is a monoclonal antibody validated for use in IHC. All Novus Biologicals antibodies are covered by our 100% guarantee.
Immunogen
This antibody was generated using a synthetic peptide of P21246, with the exact immunogen sequence remaining proprietary.
Isotype
IgG1
Clonality
Monoclonal
Host
Mouse
Gene
PTN
Purity
Protein A purified
Innovator's Reward
Test in a species/application not listed above to receive a full credit towards a future purchase.

Applications/Dilutions

Dilutions
  • Immunohistochemistry-Paraffin 1:50-1:200
Application Notes
For IHC-Paraffin, HIER pH 6 retrieval is recommended.

Packaging, Storage & Formulations

Storage
Store at 4C short term. Aliquot and store at -20C long term. Avoid freeze-thaw cycles.
Buffer
Lyophilized from a 0.2 um filtered solution in PBS with Trehalose
Preservative
No Preservative
Concentration
LYOPH
Purity
Protein A purified
Reconstitution Instructions
Centrifuge the vial of lyophilized antibody at 12,000 x g for 20 seconds. Reconstitute by adding sterile, distilled water to achieve a final antibody concentration of 1mg/ml.

Alternate Names for Pleiotrophin/PTN Antibody (CL15628) - Azide and BSA Free

  • HARP
  • HBBM
  • HB-GAM
  • HBGF8
  • HBNF
  • HBNF1
  • HBNF-1
  • Heparin-binding brain mitogen
  • HNGF-8
  • NEGF1HBGF-8
  • neurite growth-promoting factor 1
  • neurite growth-promoting factor1)
  • OSF-1
  • Osteoblast-specific factor 1
  • Pleiotrophin
  • PTN

Background

Heparin binding mitogenic protein. Has neurite extension activity

Limitations

This product is for research use only and is not approved for use in humans or in clinical diagnosis. Primary Antibodies are guaranteed for 1 year from date of receipt.

Customers Who Viewed This Item Also Viewed...

H00004598-M02
Species: Hu
Applications: ELISA, IHC,  IHC-P, S-ELISA, WB
NBP2-59376
Species: Hu, Mu, Rt
Applications: ICC/IF, IHC,  IHC-P, IP, WB
MAB2688
Species: Hu
Applications: WB
233-FB
Species: Hu
Applications: BA
DVE00
Species: Hu
Applications: ELISA
AF4210
Species: Hu
Applications: IHC, Simple Western, WB
AF3697
Species: Hu
Applications: WB
AF3539
Species: Hu
Applications: CyTOF-ready, Flow, ICC, WB
NBP2-22203
Species: Hu, Pm, Mu, Rt
Applications: ELISA, Flow, ICC/IF, IHC,  IHC-P, WB
267-N3
Species: Hu
Applications: BA
AF3464
Species: Hu
Applications: IHC, WB
DBD00
Species: Hu
Applications: ELISA
AF232
Species: Hu
Applications: IHC, Neut, Simple Western, WB
AF2200
Species: Hu
Applications: IP, WB
AF1230
Species: Hu, Mu, Rt
Applications: IHC, KO, WB

Publications for Pleiotrophin/PTN Antibody (NBP3-44293) (0)

There are no publications for Pleiotrophin/PTN Antibody (NBP3-44293).
By submitting your publication information earn gift cards and discounts for future purchases.

Reviews for Pleiotrophin/PTN Antibody (NBP3-44293) (0)

There are no reviews for Pleiotrophin/PTN Antibody (NBP3-44293). By submitting a review you will receive an Amazon e-Gift Card or Novus Product Discount.
  • Review with no image -- $10/€7/£6/$10 CAD/¥70 Yuan/¥1110 Yen
  • Review with an image -- $25/€18/£15/$25 CAD/¥150 Yuan/¥2500 Yen

Product General Protocols

Find general support by application which include: protocols, troubleshooting, illustrated assays, videos and webinars.

FAQs for Pleiotrophin/PTN Antibody (NBP3-44293) (0)

There are no specific FAQs related to this product. Read our general customer & technical service FAQs.

Secondary Antibodies

 

Isotype Controls

Additional Pleiotrophin/PTN Products

Research Areas for Pleiotrophin/PTN Antibody (NBP3-44293)

Find related products by research area.

Blogs on Pleiotrophin/PTN

There are no specific blogs for Pleiotrophin/PTN, but you can read our latest blog posts.

Customers Who Bought This Also Bought

Contact Information

Product PDFs

Calculators

Concentration Calculator

The concentration calculator allows you to quickly calculate the volume, mass or concentration of your vial. Simply enter your mass, volume, or concentration values for your reagent and the calculator will determine the rest.

=
÷

Review this Product

Be the first to review our Pleiotrophin/PTN Antibody (CL15628) - Azide and BSA Free and receive a gift card or discount.

Bioinformatics

Gene Symbol PTN