PIM3 Antibody

Images

 
Western Blot: PIM3 Antibody [NBP1-50553] - Analysis of anti-PIM3 antibody with mouse kidney tissue lysate.
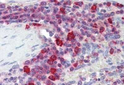
Immunohistochemistry-Paraffin: PIM3 Antibody [NBP1-50553] - Analysis of anti-PIM3 antibody with human spleen at concentration 10 ug/ml.

Product Details

Summary
Product Discontinued
View other related PIM3 Primary Antibodies

Order Details


    • Catalog Number
      NBP1-50553
    • Availability
      Product Discontinued

    Can't find what you are looking for? Use our Antibody Concierge Service & we will help you locate your antibody!

    Or feel free to contact us for alternative products.

PIM3 Antibody Summary

Immunogen
KLH-conjugated synthetic peptide between aa 259-288 from C-terminus region of human PIM3.
Isotype
IgG
Clonality
Polyclonal
Host
Rabbit
Gene
PIM3
Purity
Ammonium sulfate precipitation
Innovator's Reward
Test in a species/application not listed above to receive a full credit towards a future purchase.

Applications/Dilutions

Dilutions
  • Immunohistochemistry
  • Immunohistochemistry-Paraffin 10 ug/ml
  • Western Blot 1:1000
Application Notes
IHC: NBP1-50553 was validated for use in immunohistochemistry on a panel of 21 formalin-fixed, paraffin-embedded (FFPE) human tissues after heat induced antigen retrieval in pH 6.0 citrate buffer. After incubation with the primary antibody, slides were incubated with biotinylated secondary antibody, followed by alkaline phosphatase-streptavidin and chromogen. The stained slides were evaluated by a pathologist to confirm staining specificity. Please note that cross-reactivity with mouse has been confirmed in WB only. The antibody has not been evaluated for use in IHC with mouse samples at this time.

Packaging, Storage & Formulations

Storage
Store at 4C short term. Aliquot and store at -20C long term. Avoid freeze-thaw cycles.
Buffer
PBS
Preservative
0.09% Sodium Azide
Concentration
0.25 mg/ml
Purity
Ammonium sulfate precipitation

Alternate Names for PIM3 Antibody

  • EC 2.7.11.1
  • pim-3 oncogene
  • PIM3
  • pim-3
  • serine/threonine kinase Pim-3
  • serine/threonine-protein kinase pim-3

Background

PIM3 belongs to a family of protooncogenes that encode serine/threonine protein kinases (Mikkers et al., 2004 [PubMed 15199164]).[supplied by OMIM]

Limitations

This product is for research use only and is not approved for use in humans or in clinical diagnosis. Primary Antibodies are guaranteed for 1 year from date of receipt.

Customers Who Viewed This Item Also Viewed...

NBP2-31366
Species: Hu
Applications: ICC/IF, IHC,  IHC-P, WB
NBP1-81734
Species: Dr, Hu, Mu, Rt
Applications: ICC/IF, IHC,  IHC-P, KD, Simple Western, WB
NBP2-73412
Species: Hu, Mu, Rt
Applications: CyTOF-ready, Flow, ICC/IF, IHC,  IHC-P, IP, WB
NB100-56104
Species: Ca, Hu, Mu, Rt
Applications: IHC, IHC-Fr,  IHC-P, IP, WB
NB600-302
Species: Bv, Dr, Hu, Mu
Applications: ChIP, ELISA, Flow-IC, Flow, IB, ICC/IF, IHC, IHC-Fr,  IHC-P, IP, PLA, S-ELISA, Simple Western, WB
NB100-56098
Species: Ca, Hu, Mu, Rt
Applications: IHC,  IHC-P, IP, WB
NBP2-02105
Species: Hu, Mu, Rt
Applications: Flow, ICC/IF, IHC,  IHC-P, WB
AF820
Species: Hu, Mu
Applications: ICC, IHC, KO, Simple Western, WB
AF8221
Species: Hu, Mu, Rt
Applications: IHC, KO, Simple Western, WB
MAB1799
Species: Hu, Mu, Rt
Applications: ICC, IP, ICFlow, KO, WB
AF4467
Species: Hu, Mu, Rt
Applications: IHC, KO, WB
AF5414
Species: Hu
Applications: Simple Western, WB
NB100-56080
Species: Hu
Applications: ICC/IF, IHC,  IHC-P, IP, WB
DTM100
Species: Hu
Applications: ELISA
NBP2-59451
Species: Hu
Applications: ELISA, Flow, ICC/IF, MiAr, Simple Western, WB
NB200-103
Species: Hu, Mu, Rt, Xp(-), Ye
Applications: CyTOF-ready, ELISA, Flow-IC, Flow, ICC/IF, IHC, IHC-Fr,  IHC-P, IP, WB
NBP2-22203
Species: Hu, Pm, Mu, Rt
Applications: ELISA, Flow, ICC/IF, IHC,  IHC-P, WB
NBP1-50553
Species: Hu, Mu
Applications: WB, IHC

Publications for PIM3 Antibody (NBP1-50553) (0)

There are no publications for PIM3 Antibody (NBP1-50553).
By submitting your publication information earn gift cards and discounts for future purchases.

Reviews for PIM3 Antibody (NBP1-50553) (0)

There are no reviews for PIM3 Antibody (NBP1-50553). By submitting a review you will receive an Amazon e-Gift Card or Novus Product Discount.
  • Review with no image -- $10/€7/£6/$10 CAD/¥70 Yuan/¥1110 Yen
  • Review with an image -- $25/€18/£15/$25 CAD/¥150 Yuan/¥2500 Yen

Product General Protocols

Find general support by application which include: protocols, troubleshooting, illustrated assays, videos and webinars.

Video Protocols

WB Video Protocol

FAQs for PIM3 Antibody (NBP1-50553) (0)

There are no specific FAQs related to this product. Read our general customer & technical service FAQs.

Secondary Antibodies

 

Isotype Controls

Additional PIM3 Products

Research Areas for PIM3 Antibody (NBP1-50553)

Find related products by research area.

Blogs on PIM3

There are no specific blogs for PIM3, but you can read our latest blog posts.

Contact Information

Product PDFs

Calculators

Concentration Calculator

The concentration calculator allows you to quickly calculate the volume, mass or concentration of your vial. Simply enter your mass, volume, or concentration values for your reagent and the calculator will determine the rest.

=
÷

Review this Product

Be the first to review our PIM3 Antibody and receive a gift card or discount.

Bioinformatics

Gene Symbol PIM3
Entrez
Uniprot