PHPT1 Antibody (PHPT1/12053) - Azide and BSA Free

Images

 
There are currently no images for PHPT1 Antibody (NBP3-45068).

Every product we sell is backed by Novus' 100% Guarantee. If you have used this product, please submit your images and reviews to earn reward points.

Product Details

Summary
Reactivity HuSpecies Glossary
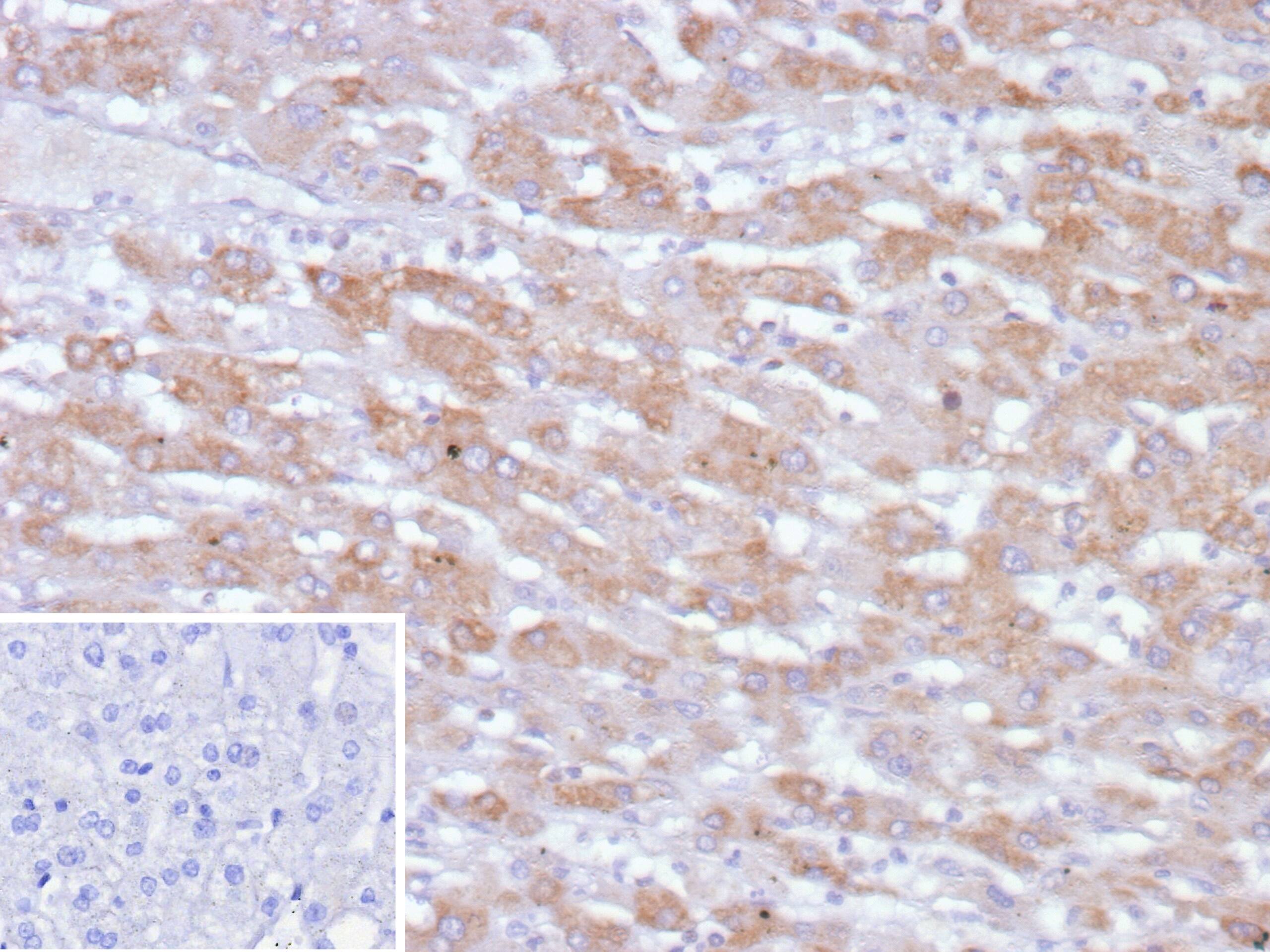
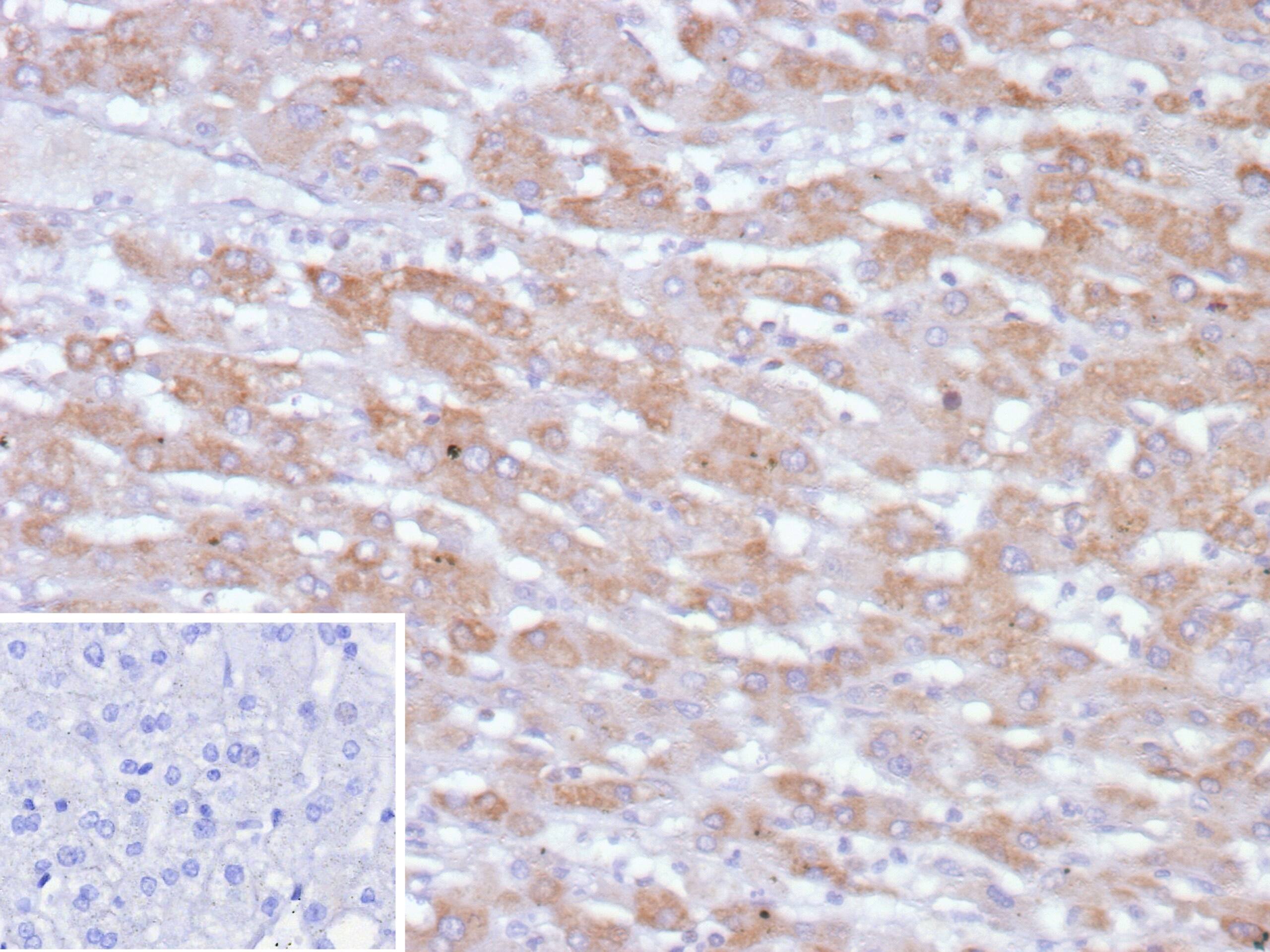
Applications IHC
Clone
PHPT1/12053
Clonality
Monoclonal
Host
Mouse
Conjugate
Unconjugated
Format
Azide and BSA Free
Concentration
1 mg/ml

Order Details

View Available Formulations
Catalog# & Formulation Size Price

PHPT1 Antibody (PHPT1/12053) - Azide and BSA Free Summary

Description
1.0 mg/ml of antibody purified from Bioreactor Concentrate by Protein A/G. Prepared in 10mM PBS WITHOUT BSA & azide. Also available at 200 ug/ml WITH BSA & azide (NBP3-44602).

Antibody with azide - store at 2 to 8C. Antibody without azide - store at -20 to -80C. Non-hazardous. No MSDS required.
Immunogen
Recombinant human PHPT1 protein (Uniprot: Q9NRX4). Exact sequence is proprietary.
Localization
Cytoplasm
Isotype
IgG
Clonality
Monoclonal
Host
Mouse
Gene
PHPT1
Purity
Protein A or G purified
Innovator's Reward
Test in a species/application not listed above to receive a full credit towards a future purchase.

Applications/Dilutions

Dilutions
  • Immunohistochemistry : 1-2ug/ml
Application Notes
Immunohistochemistry: 30 min at RT. Staining of formalin-fixed tissues requires heating tissue sections in 10mM Tris with 1mM EDTA, pH 9.0, for 45 min at 95C followed by cooling at RT for 20 minutes.
Theoretical MW
14 kDa.
Disclaimer note: The observed molecular weight of the protein may vary from the listed predicted molecular weight due to post translational modifications, post translation cleavages, relative charges, and other experimental factors.

Packaging, Storage & Formulations

Storage
Store at -20 to -80C. Avoid freeze-thaw cycles.
Buffer
10 mM PBS
Preservative
No Preservative
Concentration
1 mg/ml
Purity
Protein A or G purified

Alternate Names for PHPT1 Antibody (PHPT1/12053) - Azide and BSA Free

  • bA216L13.10
  • DKFZp564M173
  • EC 3.1.3,14 kDa phosphohistidine phosphatase
  • EC 3.1.3.-
  • HSPC141
  • phosphohistidine phosphatase 11700008C22Rik
  • phosphohistidine phosphatase 14kDa
  • PHP14CGI-202
  • Protein janus-A homolog
  • RP11-216L13.10
  • sex-regulated protein janus-a

Background

PHPT1 is an EDTA-insensitive phosphohistidine phosphatase that catalyzes the dephosphorylation of phosphopeptide I (Ek et al., 2002 (PubMed 12383260)).(supplied by OMIM)

Limitations

This product is for research use only and is not approved for use in humans or in clinical diagnosis. Primary Antibodies are guaranteed for 1 year from date of receipt.

Customers Who Viewed This Item Also Viewed...

AF2569
Species: Hu
Applications: ICC, WB
NBP1-89296
Species: Hu
Applications: IHC,  IHC-P, WB
NBP2-33694
Species: Hu
Applications: ICC/IF, IHC,  IHC-P
MAB1417
Species: Bv, Hu, Mu
Applications: ICC, IHC
NBP3-46113
Species: Hu, Mu, Rt
Applications: ELISA, IHC, IP, , WB
AF5215
Species: Hu, Mu
Applications: ICC, WB
NBP1-90267
Species: Hu, Mu, Rt
Applications: ICC/IF, IHC,  IHC-P, WB
NBP2-07996
Species: Hu
Applications: WB
NBL1-11570
Species: Hu
Applications: WB
H00008365-M01
Species: Hu
Applications: ELISA, ICC/IF, S-ELISA
NBL1-11567
Species: Hu
Applications: WB
NBP2-52486
Species: Hu
Applications: CyTOF-ready, ELISA, Flow, ICC/IF, IHC,  IHC-P, WB
NBP2-16756
Species: Hu, Mu, Rt
Applications: ICC/IF, IHC, IHC-Fr,  IHC-P, WB
NBP1-80992
Species: Hu, Mu, Rt
Applications: ICC/IF, IHC,  IHC-P, WB
MAB1268
Species: Hu
Applications: ICC, IHC, IP, Simple Western, WB
NBP1-32521
Species: Hu, Mu
Applications: ICC/IF, IHC,  IHC-P, KO, WB
NBP2-02710
Species: Hu, Rt
Applications: Flow, ICC/IF, IHC,  IHC-P, WB
NBP3-45068
Species: Hu
Applications: IHC

Publications for PHPT1 Antibody (NBP3-45068) (0)

There are no publications for PHPT1 Antibody (NBP3-45068).
By submitting your publication information earn gift cards and discounts for future purchases.

Reviews for PHPT1 Antibody (NBP3-45068) (0)

There are no reviews for PHPT1 Antibody (NBP3-45068). By submitting a review you will receive an Amazon e-Gift Card or Novus Product Discount.
  • Review with no image -- $10/€7/£6/$10 CAD/¥70 Yuan/¥1110 Yen
  • Review with an image -- $25/€18/£15/$25 CAD/¥150 Yuan/¥2500 Yen

FAQs for PHPT1 Antibody (NBP3-45068) (0)

There are no specific FAQs related to this product. Read our general customer & technical service FAQs.

Secondary Antibodies

 

Isotype Controls

Additional PHPT1 Products

Research Areas for PHPT1 Antibody (NBP3-45068)

Find related products by research area.

Blogs on PHPT1

There are no specific blogs for PHPT1, but you can read our latest blog posts.

Customers Who Bought This Also Bought

Contact Information

Product PDFs

Calculators

Concentration Calculator

The concentration calculator allows you to quickly calculate the volume, mass or concentration of your vial. Simply enter your mass, volume, or concentration values for your reagent and the calculator will determine the rest.

=
÷

Review this Product

Be the first to review our PHPT1 Antibody (PHPT1/12053) - Azide and BSA Free and receive a gift card or discount.

Bioinformatics

Gene Symbol PHPT1