Western Blot: PARP3 Antibody [NBP1-31415] - Whole cell extract (30 ug) was separated by 7.5% SDS-PAGE, and the membrane was blotted with PARP3 antibody diluted at 1:1000. The HRP-conjugated anti-rabbit IgG antibody ...read more
Immunocytochemistry/ Immunofluorescence: PARP3 Antibody [NBP1-31415] - Paraformaldehyde-fixed HeLa, using antibody at 1:500 dilution.
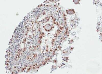
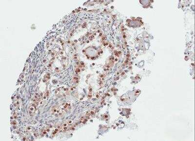
Immunohistochemistry-Paraffin: PARP3 Antibody [NBP1-31415] - Paraffin-embedded OVCA, using antibody at 1:100 dilution.
Western Blot: PARP3 Antibody [NBP1-31415] - Sample (50 ug of whole cell lysate) A: mouse heart 7.5% SDS PAGE diluted at 1:1000 The HRP-conjugated anti-rabbit IgG antibody (GTX213110-01) was used to detect the primary ...read more
Western Blot: PARP3 Antibody [NBP1-31415] - A: mouse heart 7.5% SDS PAGE diluted at 1:1000
60 kDa. Disclaimer note: The observed molecular weight of the protein may vary from the listed predicted molecular weight due to post translational modifications, post translation cleavages, relative charges, and other experimental factors.
Publications
Read Publication using NBP1-31415 in the following applications:
The protein encoded by this gene belongs to the PARP family. These enzymes modify nuclear proteins by poly-ADP-ribosylation, which is required for DNA repair, regulation of apoptosis, and maintenance of genomic stability. This gene encodes the poly(ADP-ribosyl)transferase 3, which is preferentially localized to the daughter centriole throughout the cell cycle. Alternatively spliced transcript variants encoding different isoforms have been identified. [provided by RefSeq]
Limitations
This product is for research use only and is not approved for use in humans or in clinical diagnosis. Primary Antibodies are guaranteed for 1 year from date of receipt.
⚠ WARNING: This product can expose you to chemicals including mercury, which is known to the State of California to cause reproductive toxicity with developmental effects. For more information go to www.P65Warnings.ca.gov.
Publications for PARP3 Antibody (NBP1-31415)(1)
We have publications tested in 1 confirmed species: Human.
The concentration calculator allows you to quickly calculate the volume, mass or concentration of your vial. Simply enter your mass, volume, or concentration values for your reagent and the calculator will determine the rest.
=
÷
Review this Product
Be the first to review our PARP3 Antibody and receive a gift card or discount.