PALMD Antibody - BSA Free

Images

 
Immunocytochemistry/ Immunofluorescence: PALMD Antibody [NBP1-88481] - Staining of human cell line RH-30 shows localization to nucleoplasm & actin filaments. Antibody staining is shown in green.
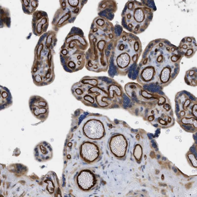
Staining of human placenta shows strong cytoplasmic positivity in decidual cells.
Staining of human liver shows moderate membranous positivity in hepatocytes.
Staining of human cerebral cortex shows no positivity in neurons.
Staining of human heart muscle shows strong cytoplasmic positivity in cardiomyocytes.
Analysis in control (vector only transfected HEK293T lysate) and PALMD over-expression lysate (Co-expressed with a C-terminal myc-DDK tag (~3.1 kDa) in mammalian HEK293T cells).

Product Details

Summary
Reactivity HuSpecies Glossary
Applications WB, ICC/IF, IHC
Clonality
Polyclonal
Host
Rabbit
Conjugate
Unconjugated
Format
BSA Free

Order Details

View Available Formulations
Catalog# & Formulation Size Price

PALMD Antibody - BSA Free Summary

Description
Novus Biologicals Rabbit PALMD Antibody - BSA Free (NBP1-88481) is a polyclonal antibody validated for use in IHC, WB and ICC/IF. Anti-PALMD Antibody: Cited in 2 publications. All Novus Biologicals antibodies are covered by our 100% guarantee.
Immunogen
This antibody was developed against Recombinant Protein corresponding to amino acids: YDDGQKSVYAVSSNHSAAYNGTDGLAPVEVEELLRQASERNSKSPTEYHEPVYANPFYRPTTPQRETVTPGPNFQERIKIKTNGLGIGVNESIHNMGNGLSEERGNNFNHISPIPPVPHPRSVIQQAEEKLHTP
Isotype
IgG
Clonality
Polyclonal
Host
Rabbit
Gene
PALMD
Purity
Affinity purified
Innovator's Reward
Test in a species/application not listed above to receive a full credit towards a future purchase.

Applications/Dilutions

Dilutions
  • Immunocytochemistry/ Immunofluorescence 0.25-2 ug/ml
  • Immunohistochemistry 1:1000 - 1:2500
  • Immunohistochemistry-Paraffin 1:1000 - 1:2500
  • Western Blot 0.04-0.4 ug/ml
Application Notes
WB reported in scientific literature (PMID: 29511167). For IHC-Paraffin, HIER pH 6 retrieval is recommended. ICC/IF Fixation Permeabilization: Use PFA/Triton X-100.
Control Peptide
PALMD Protein (NBP1-88481PEP)
Publications
Read Publications using NBP1-88481.

Packaging, Storage & Formulations

Storage
Store at 4C short term. Aliquot and store at -20C long term. Avoid freeze-thaw cycles.
Buffer
PBS (pH 7.2) and 40% Glycerol
Preservative
0.02% Sodium Azide
Purity
Affinity purified

Alternate Names for PALMD Antibody - BSA Free

  • C1orf11
  • palmdelphin
  • PALMLFLJ20271
  • Paralemnin-like protein

Limitations

This product is for research use only and is not approved for use in humans or in clinical diagnosis. Primary Antibodies are guaranteed for 1 year from date of receipt.

Customers Who Viewed This Item Also Viewed...

NBP1-87770
Species: Hu
Applications: ICC/IF, IHC,  IHC-P, WB
H00114299-M09
Species: Hu, Rt
Applications: ELISA, WB
NB100-61604
Species: Hu, Sh
Applications: IP, WB (-)
AF8150
Species: Hu
Applications: ICC, ICFlow, Simple Western, WB
NB110-41404
Species: Bv, Hu, Mu, Rt
Applications: ICC/IF, IHC, WB
NBP1-87258
Species: Hu, Mu, Po
Applications: ICC/IF, IHC,  IHC-P, WB
NBP2-46518
Species: Hu
Applications: IHC,  IHC-P, WB
NBP2-45492
Species: Hu, Mu
Applications: IHC,  IHC-P, WB
AF5769
Species: Hu
Applications: IHC, WB
H00006496-M04
Species: Hu
Applications: ELISA, WB
NB100-56467
Species: Ca, Hu, Pm
Applications: WB
AF3184
Species: Hu, Mu
Applications: ICC, Simple Western, WB
NBP2-30529
Species: Hu
Applications: ICC/IF, IHC,  IHC-P
NBP1-82478
Species: Hu
Applications: ICC/IF, IHC,  IHC-P, WB

Publications for PALMD Antibody (NBP1-88481)(2)

Reviews for PALMD Antibody (NBP1-88481) (0)

There are no reviews for PALMD Antibody (NBP1-88481). By submitting a review you will receive an Amazon e-Gift Card or Novus Product Discount.
  • Review with no image -- $10/€7/£6/$10 CAD/¥70 Yuan/¥1110 Yen
  • Review with an image -- $25/€18/£15/$25 CAD/¥150 Yuan/¥2500 Yen

Product General Protocols

Find general support by application which include: protocols, troubleshooting, illustrated assays, videos and webinars.

Video Protocols

WB Video Protocol
ICC/IF Video Protocol

FAQs for PALMD Antibody (NBP1-88481) (0)

There are no specific FAQs related to this product. Read our general customer & technical service FAQs.

Secondary Antibodies

 

Isotype Controls

Additional PALMD Products

Research Areas for PALMD Antibody (NBP1-88481)

Find related products by research area.

Blogs on PALMD

There are no specific blogs for PALMD, but you can read our latest blog posts.

Customers Who Bought This Also Bought

Contact Information

Product PDFs

Calculators

Concentration Calculator

The concentration calculator allows you to quickly calculate the volume, mass or concentration of your vial. Simply enter your mass, volume, or concentration values for your reagent and the calculator will determine the rest.

=
÷

Review this Product

Be the first to review our PALMD Antibody - BSA Free and receive a gift card or discount.

Bioinformatics

Gene Symbol PALMD