PACRG Antibody

Images

 
Western Blot: PACRG Antibody [NBP1-03274] - Affinity Purified anti-PACRG antibody shows detection of a band ~40 kD corresponding to human PACRG (arrowhead lane 1). Specific reactivity with this band is blocked when the ...read more
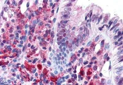
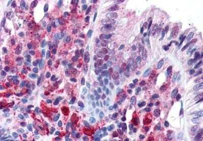
Immunohistochemistry-Paraffin: PACRG Antibody [NBP1-03274] - Staining of human colon. Immunohistochemistry of formalin-fixed, paraffin-embedded tissue after heat-induced antigen retrieval. Antibody concentration 5 ug/ml.

Product Details

Summary
Product Discontinued
View other related PACRG Primary Antibodies

Order Details


    • Catalog Number
      NBP1-03274
    • Availability
      Product Discontinued

    Can't find what you are looking for? Use our Antibody Concierge Service & we will help you locate your antibody!

    Or feel free to contact us for alternative products.

PACRG Antibody Summary

Immunogen
Synthetic peptide from human PACRG.
Specificity
Expect reactivity with both splice variants of this protein.
Predicted Species
Rat (94%), Zebrafish (94%). Backed by our 100% Guarantee.
Isotype
IgG
Clonality
Polyclonal
Host
Rabbit
Gene
PACRG
Purity
Immunogen affinity purified
Innovator's Reward
Test in a species/application not listed above to receive a full credit towards a future purchase.

Applications/Dilutions

Dilutions
  • ELISA 1:2000 - 1:10000
  • Immunohistochemistry 2.5 ug/ml
  • Immunohistochemistry-Paraffin 2.5 ug/ml
  • Western Blot 1:500 - 1:3000

Packaging, Storage & Formulations

Storage
Store at 4C short term. Aliquot and store at -20C long term. Avoid freeze-thaw cycles.
Buffer
20mM Potassium Phosphate (pH 7.2) and 0.15M NaCl
Preservative
0.01% Sodium Azide
Concentration
1 mg/ml
Purity
Immunogen affinity purified

Alternate Names for PACRG Antibody

  • FLJ32724
  • Glup
  • HAK005771
  • Molecular chaperone/chaperonin-binding protein
  • PARK2 coregulated gene protein
  • PARK2 co-regulated
  • PARK2CRG
  • parkin coregulated gene protein
  • parkin co-regulated gene protein
  • RP3-495O10.2

Background

PACRG (also known as Parkin coregulated gene protein and PARK2 coregulated) is a gene located very close to parkin, in reverse orientation on the chromosome. It is thought to be co-transcribed with parkin by a bi-directional promoter between the two genes. PACRG is expressed in all immune tissues, spleen, lymph nodes, thymus, tonsils, leukocyte and bone marrow and is also expressed in heart, brain, skeletal muscle, kidney, lung and pancreas. PACRG is expressed in primary Schwann cells and very weakly by monocyte-derived macrophages, which are the primary host cells of Mycobacterium leprae, the causative agent of leprosy. Splice variants have been described for this protein.

Limitations

This product is for research use only and is not approved for use in humans or in clinical diagnosis. Primary Antibodies are guaranteed for 1 year from date of receipt.

Customers Who Viewed This Item Also Viewed...

NBP3-15255
Species: Hu, Mu, Rt
Applications: ICC/IF, IHC,  IHC-P, IP, WB
NB200-106
Species: Mu, Rt
Applications: ELISA, ICC/IF, IHC, IHC-Fr,  IHC-P, WB
211-TBB/CF
Species: Hu
Applications: BA
NBP1-31302
Species: Hu, Mu, Rt
Applications: ICC/IF, IHC,  IHC-P, KO, WB
NBP1-89150
Species: Hu
Applications: IHC,  IHC-P, WB
H00011026-M01
Species: Hu
Applications: ELISA, WB
NBP2-45603
Species: Hu, Mu, Rt
Applications: Flow, IHC,  IHC-P, WB
NBP1-82454
Species: Hu, Mu
Applications: ICC/IF, IHC,  IHC-P, WB
NBP2-15365
Species: Hu, Mu, Rt
Applications: ICC/IF, IHC, IHC-Fr,  IHC-P, S-ELISA, WB
AF5049
Species: Mu
Applications: CyTOF-ready, Flow, ICC, WB
NBP1-87989
Species: Hu
Applications: IHC,  IHC-P, WB
NBP2-94035
Species: Hu, Mu, Rt
Applications: ChIP, ELISA, ICC/IF, IHC,  IHC-P, WB
NBP1-89910
Species: Hu, Ze
Applications: ICC/IF, IHC,  IHC-P
NBP1-03274
Species: Hu, Mu, Ch, Rt, Ze
Applications: WB, ELISA, IHC

Publications for PACRG Antibody (NBP1-03274) (0)

There are no publications for PACRG Antibody (NBP1-03274).
By submitting your publication information earn gift cards and discounts for future purchases.

Reviews for PACRG Antibody (NBP1-03274) (0)

There are no reviews for PACRG Antibody (NBP1-03274). By submitting a review you will receive an Amazon e-Gift Card or Novus Product Discount.
  • Review with no image -- $10/€7/£6/$10 CAD/¥70 Yuan/¥1110 Yen
  • Review with an image -- $25/€18/£15/$25 CAD/¥150 Yuan/¥2500 Yen

Product General Protocols

Find general support by application which include: protocols, troubleshooting, illustrated assays, videos and webinars.

Video Protocols

WB Video Protocol

FAQs for PACRG Antibody (NBP1-03274) (0)

There are no specific FAQs related to this product. Read our general customer & technical service FAQs.

Secondary Antibodies

 

Isotype Controls

Additional PACRG Products

Research Areas for PACRG Antibody (NBP1-03274)

Find related products by research area.

Blogs on PACRG

There are no specific blogs for PACRG, but you can read our latest blog posts.

Contact Information

Product PDFs

Calculators

Concentration Calculator

The concentration calculator allows you to quickly calculate the volume, mass or concentration of your vial. Simply enter your mass, volume, or concentration values for your reagent and the calculator will determine the rest.

=
÷

Review this Product

Be the first to review our PACRG Antibody and receive a gift card or discount.

Bioinformatics

Gene Symbol PACRG
Entrez
Uniprot