p73 Antibody (ST05-76)

Images

 
Western Blot: p73 Antibody (ST05-76) [NBP2-67549] - Western blot analysis of p73 on 293 cell lysates. Proteins were transferred to a PVDF membrane and blocked with 5% BSA in PBS for 1 hour at room temperature. The ...read more
Immunocytochemistry/ Immunofluorescence: p73 Antibody (ST05-76) [NBP2-67549] - Staining p73 in MCF-7 cells (green). The nuclear counter stain is DAPI (blue). Cells were fixed in paraformaldehyde, permeabilised with ...read more
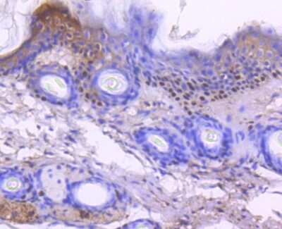
Immunohistochemistry-Paraffin: p73 Antibody (ST05-76) [NBP2-67549] - Analysis of paraffin-embedded mouse skin tissue using anti-p73 antibody. Counter stained with hematoxylin.
Western Blot: p73 Antibody (ST05-76) [NBP2-67549] - Analysis of p73 on Hela cell lysates using anti-p73 antibody at 1/1,000 dilution.
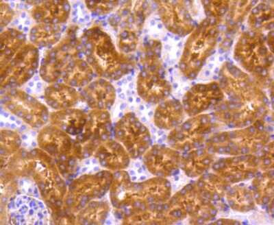
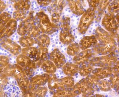
Immunohistochemistry-Paraffin: p73 Antibody (ST05-76) [NBP2-67549] - Analysis of paraffin-embedded human kidney tissue using anti-p73 antibody. Counter stained with hematoxylin.
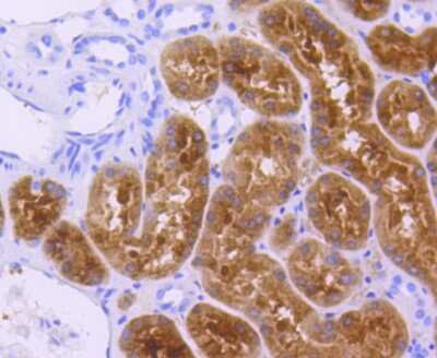
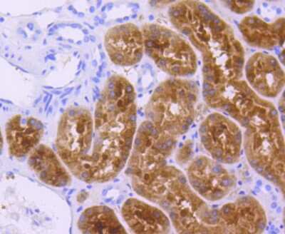
Immunohistochemistry-Paraffin: p73 Antibody (ST05-76) [NBP2-67549] - Analysis of paraffin-embedded mouse kidney tissue using anti-p73 antibody. Counter stained with hematoxylin.

Product Details

Summary
Product Discontinued
View other related p73 Primary Antibodies

Order Details


    • Catalog Number
      NBP2-67549
    • Availability
      Product Discontinued

    Can't find what you are looking for? Use our Antibody Concierge Service & we will help you locate your antibody!

    Or feel free to contact us for alternative products.

p73 Antibody (ST05-76) Summary

Additional Information
Recombinant Monoclonal Antibody.
Immunogen
Recombinant protein within Human p73 aa 6-118 / 636. (SwissProt: O15350 Human; SwissProt: Q9JJP2 Mouse)
Localization
Cytoplasm, Nucleus.
Isotype
IgG
Clonality
Monoclonal
Host
Rabbit
Gene
TP73
Purity
Protein A purified
Innovator's Reward
Test in a species/application not listed above to receive a full credit towards a future purchase.

Applications/Dilutions

Dilutions
  • Immunocytochemistry/ Immunofluorescence 1:50-1:200
  • Immunohistochemistry
  • Immunohistochemistry-Paraffin 1:50-1:200
  • Western Blot 1:500-1:2000

Packaging, Storage & Formulations

Storage
Store at 4C short term. Aliquot and store at -20C long term. Avoid freeze-thaw cycles.
Buffer
TBS (pH7.4), 0.05% BSA, 40% Glycerol
Preservative
0.05% Sodium Azide
Concentration
1 mg/ml
Purity
Protein A purified

Alternate Names for p73 Antibody (ST05-76)

  • p53-related protein
  • P73p53-like transcription factor
  • TA p73
  • TAp73
  • tumor protein p73

Background

p73 is a transcription factor that shares a significant amino acid identity with p53 and p63 (1). p73 and p63 can both activate p53-responsive genes and induce apoptosis upon over expression (2) Unlike p53, p73 is not induced by DNA damage and is not a target for inactivation by viral oncoproteins (3). Similar to p63, p73 has an additional coding region in the C-terminus (not found in p53) that can undergo complex alternative splicing giving rise to 3 splice forms (alpha, beta, and gamma) (4). Activation of p73 requires the presence of functional c-Abl. It has also be found that mutant p53 can bind to and inactivate p73 (5).

Limitations

This product is for research use only and is not approved for use in humans or in clinical diagnosis. Primary Antibodies are guaranteed for 1 year from date of receipt.

Customers Who Viewed This Item Also Viewed...

NB200-103
Species: Hu, Mu, Rt, Xp(-), Ye
Applications: CyTOF-ready, ELISA, Flow-IC, Flow, ICC/IF, IHC, IHC-Fr,  IHC-P, IP, WB
AF1916
Species: Hu
Applications: ICC, IHC, WB
AF7355
Species: Hu
Applications: ICC, Simple Western, WB
NBP1-18885
Species: Hu
Applications: ICC/IF, IHC,  IHC-P, IP, KO, WB
NB100-355
Species: Bv, Ca, Ch, Hu, Mu, Po, Pm, Rt, Xp
Applications: CyTOF-ready, Flow, ICC/IF, IF, IHC, IHC-Fr,  IHC-P, IP, In vivo, KO, Simple Western, WB
NBP2-29463
Species: Pm, Hu, Pm, Mu
Applications: Flow, ICC/IF, IHC,  IHC-P, WB
NB200-106
Species: Mu, Rt
Applications: ELISA, ICC/IF, IHC, IHC-Fr,  IHC-P, WB
NBP2-46085
Species: Hu
Applications: IHC,  IHC-P, WB
H00027065-M01
Species: Hu, Rt
Applications: ELISA, ICC/IF, S-ELISA, WB
NB100-2736
Species: Hu, Mu, Rt
Applications: IHC, IHC-Fr,  IHC-P, IP, WB
NBP1-82454
Species: Hu, Mu
Applications: ICC/IF, IHC,  IHC-P, WB
NBP2-67899
Species: Hu, Mu, Rt
Applications: Flow, ICC/IF, IHC,  IHC-P, IP, WB
AF820
Species: Hu, Mu
Applications: ICC, IHC, KO, Simple Western, WB
NBP2-45603
Species: Hu, Mu, Rt
Applications: Flow, IHC,  IHC-P, WB
AF5414
Species: Hu
Applications: Simple Western, WB
MAB6495
Species: Hu
Applications: ICC, Simple Western, WB
NBP1-76639
Species: Hu, Rt
Applications: ELISA, ICC/IF, IHC,  IHC-P, WB
NB100-168
Species: Hu, Mu(-)
Applications: CyTOF-ready, Flow-IC, Flow, ICC/IF, IHC,  IHC-P, Simple Western, WB
AF6897
Species: Hu, Mu
Applications: IHC, Simple Western, WB
NBP2-67549
Species: Hu, Mu
Applications: WB, ICC/IF, IHC

Publications for p73 Antibody (NBP2-67549) (0)

There are no publications for p73 Antibody (NBP2-67549).
By submitting your publication information earn gift cards and discounts for future purchases.

Reviews for p73 Antibody (NBP2-67549) (0)

There are no reviews for p73 Antibody (NBP2-67549). By submitting a review you will receive an Amazon e-Gift Card or Novus Product Discount.
  • Review with no image -- $10/€7/£6/$10 CAD/¥70 Yuan/¥1110 Yen
  • Review with an image -- $25/€18/£15/$25 CAD/¥150 Yuan/¥2500 Yen

Product General Protocols

Find general support by application which include: protocols, troubleshooting, illustrated assays, videos and webinars.

Video Protocols

WB Video Protocol
ICC/IF Video Protocol

FAQs for p73 Antibody (NBP2-67549) (0)

There are no specific FAQs related to this product. Read our general customer & technical service FAQs.

Secondary Antibodies

 

Isotype Controls

Additional p73 Products

Research Areas for p73 Antibody (NBP2-67549)

Find related products by research area.

Blogs on p73.

p73: An Important Tumor Suppressor Cousin of p53
p73 has been identified as a long-lost cousin of the p53 tumor suppressor protein. It has high homology with both p53 and with p63, a gene implicated in the maintenance of epithelial stem cells. The presence of significant homology between the DNA-bin...  Read full blog post.

Contact Information

Product PDFs

Calculators

Concentration Calculator

The concentration calculator allows you to quickly calculate the volume, mass or concentration of your vial. Simply enter your mass, volume, or concentration values for your reagent and the calculator will determine the rest.

=
÷

Review this Product

Be the first to review our p73 Antibody (ST05-76) and receive a gift card or discount.

Bioinformatics

Gene Symbol TP73