P2Y8 Antibody

Images

 
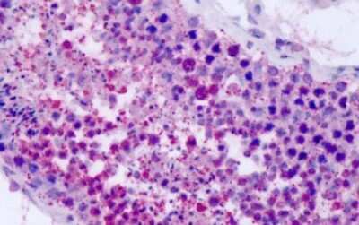
Immunohistochemistry-Paraffin: P2Y8 Antibody [NLS1918] - Anti-P2RY8 antibody IHC of human testis. Immunohistochemistry of formalin-fixed, paraffin-embedded tissue after heat-induced antigen retrieval. Antibody ...read more
Immunohistochemistry-Paraffin: P2Y8 Antibody [NLS1918] - Analysis of anti-P2RY8 antibody with human brain, cortex at concentration 20-40 ug/ml.

Product Details

Summary
Product Discontinued
View other related P2Y8 Primary Antibodies

Order Details


    • Catalog Number
      NLS1918
    • Availability
      Product Discontinued

    Can't find what you are looking for? Use our Antibody Concierge Service & we will help you locate your antibody!

    Or feel free to contact us for alternative products.

P2Y8 Antibody Summary

Immunogen
Synthetic 19 amino acid peptide from 3rd cytoplasmic domain of human P2RY8 / P2Y8.
Epitope
3rd cytoplasmic domain of human
Specificity
Human P2Y8. BLAST analysis of the peptide immunogen showed no homology with other human proteins.
Predicted Species
Primate (100%). Backed by our 100% Guarantee.
Isotype
IgG
Clonality
Polyclonal
Host
Rabbit
Gene
P2RY8
Purity
Immunogen affinity purified
Innovator's Reward
Test in a species/application not listed above to receive a full credit towards a future purchase.

Applications/Dilutions

Dilutions
  • Immunohistochemistry
  • Immunohistochemistry-Paraffin 11 - 21 ug/ml

Reactivity Notes

Predicted cross-reactivity based on sequence identity: Gorilla (100%), Marmoset (84%).

Packaging, Storage & Formulations

Storage
Store at 4C short term. Aliquot and store at -20C long term. Avoid freeze-thaw cycles.
Buffer
PBS
Preservative
0.1% Sodium Azide
Concentration
1.0 mg/ml
Purity
Immunogen affinity purified

Alternate Names for P2Y8 Antibody

  • G-protein coupled purinergic receptor P2Y8
  • P2RY8
  • P2Y purinoceptor 8
  • P2Y8MGC50878
  • purinergic receptor P2Y, G-protein coupled, 8

Background

This protein is an Orphan-A GPCR with an unknown ligand. This protein shares low similarity to the Xenopus P2Y8 receptor (CAA68213.1, 30% protein similarity). ESTs have been isolated from human normal tonsil and lymph libraries and from human lung and lymphoma cancer libraries.

Limitations

This product is for research use only and is not approved for use in humans or in clinical diagnosis. Primary Antibodies are guaranteed for 1 year from date of receipt.

Customers Who Viewed This Item Also Viewed...

AF546
Species: Mu
Applications: CyTOF-ready, Flow, Neut, WB
NBP1-86687
Species: Hu
Applications: IHC,  IHC-P, WB
NBP2-46586
Species: Hu, Mu, Rt
Applications: IHC,  IHC-P
NBP1-87964
Species: Hu
Applications: IHC,  IHC-P
NBP1-82648
Species: Hu
Applications: ICC/IF, IHC,  IHC-P, WB
NBL1-15832
Species: Hu
Applications: WB
NBP2-59451
Species: Hu
Applications: ELISA, Flow, ICC/IF, MiAr, Simple Western, WB
NBP2-29328
Species: Bv, Hu, Mu, Rt, Xp, Ye, Ze
Applications: BindInhib, B/N, ELISA, Flow, Func-Inh, IHC, In vitro, In vivo
NB600-302
Species: Bv, Dr, Hu, Mu
Applications: ChIP, ELISA, Flow-IC, Flow, IB, ICC/IF, IHC, IHC-Fr,  IHC-P, IP, PLA, S-ELISA, Simple Western, WB
AF4984
Species: Hu
Applications: ChIP, CyTOF-ready, ICC, ICFlow, Simple Western, WB
NBP2-14156
Species: Hu
Applications: IHC,  IHC-P
NBP1-47492
Species: Pm, Hu
Applications: ChIP, ELISA, ICC/IF, IHC,  IHC-P, WB
NBP1-47668
Species: Hu, Pm, Mu, Rt
Applications: Flow, ICC/IF, IHC,  IHC-P, IP, WB
AF4117
Species: Rt
Applications: IHC, WB
NBP1-52105
Species: Hu, Rt
Applications: Flow, IHC,  IHC-P, PEP-ELISA, WB
NBP3-46613
Species: Hu, Mu, Rt, Ze
Applications: ELISA, ICC/IF, IHC, WB
AF5286
Species: Hu
Applications: WB
NBP1-26612
Species: Hu
Applications: IP (-), WB

Publications for P2Y8 Antibody (NLS1918) (0)

There are no publications for P2Y8 Antibody (NLS1918).
By submitting your publication information earn gift cards and discounts for future purchases.

Reviews for P2Y8 Antibody (NLS1918) (0)

There are no reviews for P2Y8 Antibody (NLS1918). By submitting a review you will receive an Amazon e-Gift Card or Novus Product Discount.
  • Review with no image -- $10/€7/£6/$10 CAD/¥70 Yuan/¥1110 Yen
  • Review with an image -- $25/€18/£15/$25 CAD/¥150 Yuan/¥2500 Yen

Product General Protocols

View specific protocols for P2Y8 Antibody (NLS1918): Find general support by application which include: protocols, troubleshooting, illustrated assays, videos and webinars.

FAQs for P2Y8 Antibody (NLS1918) (0)

There are no specific FAQs related to this product. Read our general customer & technical service FAQs.

Secondary Antibodies

 

Isotype Controls

Additional P2Y8 Products

Research Areas for P2Y8 Antibody (NLS1918)

Find related products by research area.

Blogs on P2Y8

There are no specific blogs for P2Y8, but you can read our latest blog posts.

Contact Information

Product PDFs

Calculators

Concentration Calculator

The concentration calculator allows you to quickly calculate the volume, mass or concentration of your vial. Simply enter your mass, volume, or concentration values for your reagent and the calculator will determine the rest.

=
÷

Review this Product

Be the first to review our P2Y8 Antibody and receive a gift card or discount.

Bioinformatics

Gene Symbol P2RY8
Entrez