NUB1/NYREN18 Antibody (OTI4H2) - Azide and BSA Free

Images

 
Western Blot: NUB1/NYREN18 Antibody (OTI4H2) - Azide and BSA Free [NBP2-73084] - HEK293T cells were transfected with the pCMV6-ENTRY control (Left lane) or pCMV6-ENTRY NYREN18 (Right lane) cDNA for 48 hrs and lysed. ...read more
Immunocytochemistry/ Immunofluorescence: NUB1/NYREN18 Antibody (OTI4H2) - Azide and BSA Free [NBP2-73084] - Staining of COS7 cells transiently transfected by pCMV6-ENTRY NYREN18.
Immunohistochemistry: NUB1/NYREN18 Antibody (OTI4H2) - Azide and BSA Free [NBP2-73084] - Staining of paraffin-embedded Carcinoma of Human pancreas tissue using anti-NYREN18 mouse monoclonal antibody.
Flow Cytometry: NUB1/NYREN18 Antibody (OTI4H2) - Azide and BSA Free [NBP2-73084] - HEK293T cells transfected with either overexpression plasmid (Red) or empty vector control plasmid (Blue) were immunostaining by ...read more
Western Blot: NUB1/NYREN18 Antibody (OTI4H2) - Azide and BSA Free [NBP2-73084] - Analysis of extracts (35ug) from 9 different cell lines by using g anti-NYREN18 monoclonal antibody (HepG2: human; HeLa: human; SVT2: ...read more
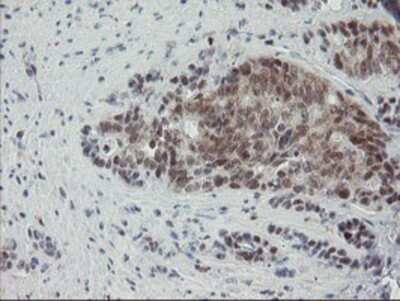
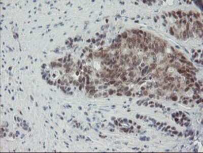
Immunohistochemistry: NUB1/NYREN18 Antibody (OTI4H2) - Azide and BSA Free [NBP2-73084] - Staining of paraffin-embedded Adenocarcinoma of Human ovary tissue using anti-NYREN18 mouse monoclonal antibody.
Immunohistochemistry: NUB1/NYREN18 Antibody (OTI4H2) - Azide and BSA Free [NBP2-73084] - Staining of paraffin-embedded Carcinoma of Human thyroid tissue using anti-NYREN18 mouse monoclonal antibody.

Product Details

Summary
Reactivity Hu, Mu, Rt, Ca, PmSpecies Glossary
Applications WB, Flow, ICC/IF, IHC, CyTOF-ready
Clone
OTI4H2
Clonality
Monoclonal
Host
Mouse
Conjugate
Unconjugated
Format
Azide and BSA Free
Concentration
LYOPH

Order Details

NUB1/NYREN18 Antibody (OTI4H2) - Azide and BSA Free Summary

Description
Novus Biologicals Mouse NUB1/NYREN18 Antibody (OTI4H2) - Azide and BSA Free (NBP2-03897) is a monoclonal antibody validated for use in IHC, WB, Flow and ICC/IF. All Novus Biologicals antibodies are covered by our 100% guarantee.
Immunogen
Human recombinant protein fragment corresponding to amino acids 1-326 of human NUB1 (NP_057202) produced in E.coli.
Isotype
IgG2a
Clonality
Monoclonal
Host
Mouse
Gene
NUB1
Purity
Immunogen affinity purified
Innovator's Reward
Test in a species/application not listed above to receive a full credit towards a future purchase.

Applications/Dilutions

Dilutions
  • CyTOF-ready
  • Flow Cytometry 1:100
  • Immunocytochemistry/ Immunofluorescence 1:100
  • Immunohistochemistry 1:150
  • Immunohistochemistry-Paraffin
  • Western Blot 1:500-2000
Theoretical MW
68.9 kDa.
Disclaimer note: The observed molecular weight of the protein may vary from the listed predicted molecular weight due to post translational modifications, post translation cleavages, relative charges, and other experimental factors.

Reactivity Notes

Please note that this antibody is reactive to Mouse and derived from the same host, Mouse. Mouse-On-Mouse blocking reagent may be needed for IHC and ICC experiments to reduce high background signal. You can find these reagents under catalog numbers PK-2200-NB and MP-2400-NB. Please contact Technical Support if you have any questions.

Packaging, Storage & Formulations

Storage
Store at -20C. Avoid freeze-thaw cycles.
Buffer
Lyophilized from PBS (pH 7.3) with 8% Trehalose
Preservative
No Preservative
Concentration
LYOPH
Purity
Immunogen affinity purified
Reconstitution Instructions
we recommend adding 100uL distilled water to a final antibody concentration of about 1 mg/mL. To use this carrier-free antibody for conjugation experiment, we strongly recommend performing another round of desalting process.

Alternate Names for NUB1/NYREN18 Antibody (OTI4H2) - Azide and BSA Free

  • BS4
  • NEDD8 ultimate buster-1
  • negative regulator of ubiquitin-like proteins 1NUB1L
  • NUB1
  • NUB1L
  • NY-REN-18 antigen
  • NY-REN-18
  • NYREN18NEDD8 ultimate buster 1
  • Renal carcinoma antigen NY-REN-18

Background

NUB1 interacts with and negatively regulates NEDD8 (MIM 603171), a ubiquitin-like protein that covalently conjugates to cullin (see MIM 603134) family members.[supplied by OMIM]

Limitations

This product is for research use only and is not approved for use in humans or in clinical diagnosis. Primary Antibodies are guaranteed for 1 year from date of receipt.

Customers Who Viewed This Item Also Viewed...

NBP2-67917
Species: Hu, Mu, Rt
Applications: ICC/IF, IHC,  IHC-P, WB
UL-812
Species: Hu, Mu, Rt
Applications: EnzAct
NBP2-19952
Species: Hu
Applications: ICC/IF, KD, WB
NBP2-01327
Species: Hu, Mu, Rt
Applications: Flow, ICC/IF, IHC,  IHC-P, WB
NBP3-12211
Species: Hu, Mu, Rt
Applications: ELISA, ICC/IF, IHC,  IHC-P, WB
AF114
Species: Mu
Applications: CyTOF-ready, Flow, ICC, IHC, WB
NBP1-05035
Species: Hu, Rt
Applications: IHC,  IHC-P, PEP-ELISA, WB
NBP2-25162
Species: Bv, Eq, Hu, Mu, Po, Rt
Applications: ICC/IF, IHC, PLA, WB
NBP1-31302
Species: Hu, Mu, Rt
Applications: ICC/IF, IHC,  IHC-P, KO, WB
255-SC
Species: Hu
Applications: BA
NBP1-89150
Species: Hu
Applications: IHC,  IHC-P, WB
H00011026-M01
Species: Hu
Applications: ELISA, WB
NBP3-16092
Species: Hu, Mu, Rt
Applications: ELISA, ICC/IF, IHC,  IHC-P, WB
NB200-103
Species: Hu, Mu, Rt, Xp(-), Ye
Applications: CyTOF-ready, ELISA, Flow-IC, Flow, ICC/IF, IHC, IHC-Fr,  IHC-P, IP, WB
NBP2-75930
Species: Hu, Mu, Rt
Applications: Flow, ICC/IF, IHC,  IHC-P, WB
NB100-1483
Species: Hu, Mu, Rt
Applications: Flow, ICC/IF, PEP-ELISA, PLA, WB
NBP2-37399
Species: Hu
Applications: CyTOF-ready, ELISA, Flow, ICC/IF, IHC,  IHC-P, WB
NBP1-31381
Species: Hu, Mu, Rt
Applications: ICC/IF, IHC,  IHC-P, IP, WB
NBP1-89522
Species: Hu, Mu, Rt
Applications: ICC/IF, IHC,  IHC-P, WB
NBP2-73084
Species: Hu, Mu, Rt, Ca, Pm
Applications: WB, Flow, ICC/IF, IHC, CyTOF-ready

Publications for NUB1/NYREN18 Antibody (NBP2-73084) (0)

There are no publications for NUB1/NYREN18 Antibody (NBP2-73084).
By submitting your publication information earn gift cards and discounts for future purchases.

Reviews for NUB1/NYREN18 Antibody (NBP2-73084) (0)

There are no reviews for NUB1/NYREN18 Antibody (NBP2-73084). By submitting a review you will receive an Amazon e-Gift Card or Novus Product Discount.
  • Review with no image -- $10/€7/£6/$10 CAD/¥70 Yuan/¥1110 Yen
  • Review with an image -- $25/€18/£15/$25 CAD/¥150 Yuan/¥2500 Yen

Product General Protocols

Find general support by application which include: protocols, troubleshooting, illustrated assays, videos and webinars.

Video Protocols

WB Video Protocol
ICC/IF Video Protocol

FAQs for NUB1/NYREN18 Antibody (NBP2-73084) (0)

There are no specific FAQs related to this product. Read our general customer & technical service FAQs.

Customers Who Bought This Also Bought

Contact Information

Product PDFs

Calculators

Concentration Calculator

The concentration calculator allows you to quickly calculate the volume, mass or concentration of your vial. Simply enter your mass, volume, or concentration values for your reagent and the calculator will determine the rest.

=
÷

Review this Product

Be the first to review our NUB1/NYREN18 Antibody (OTI4H2) - Azide and BSA Free and receive a gift card or discount.

Bioinformatics

Gene Symbol NUB1