Nrf1 Antibody

Images

 
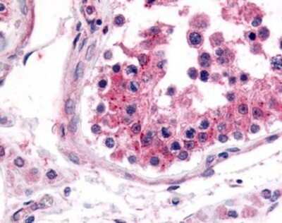
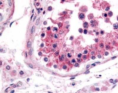
Immunohistochemistry-Paraffin: NRF1 Antibody [NBP1-03295] - Staining of human testis. Immunohistochemistry of formalin-fixed, paraffin-embedded tissue after heat-induced antigen retrieval. Antibody concentration 5 ug/ml.

Product Details

Summary
Product Discontinued
View other related Nrf1 Primary Antibodies

Order Details


    • Catalog Number
      NBP1-03295
    • Availability
      Product Discontinued

    Can't find what you are looking for? Use our Antibody Concierge Service & we will help you locate your antibody!

    Or feel free to contact us for alternative products.

Nrf1 Antibody Summary

Immunogen
Recombinant mouse Nrf1 corresponding to aa 1 - 534.
Specificity
Purified recombinant mouse NRF1 protein corresponding to aa 1-534 of the native protein.
Isotype
IgG
Clonality
Polyclonal
Host
Rabbit
Gene
NRF1
Purity
Protein A purified
Innovator's Reward
Test in a species/application not listed above to receive a full credit towards a future purchase.

Applications/Dilutions

Dilutions
  • ELISA 1:3000-1:10000
  • Immunohistochemistry 1:10-1:500
  • Immunohistochemistry-Paraffin 2-5 ug/ml
  • Western Blot 1:500-1:2000

Packaging, Storage & Formulations

Storage
Store at 4C short term. Aliquot and store at -20C long term. Avoid freeze-thaw cycles.
Buffer
20mM Potassium Phosphate (pH 7.2) and 0.15M NaCl
Preservative
0.01% Sodium Azide
Concentration
1.0 mg/ml
Purity
Protein A purified

Alternate Names for Nrf1 Antibody

  • Alpha palindromic-binding protein
  • ALPHA-PAL
  • EWG
  • HBZ17
  • LCR-F1
  • NFE2L1
  • Nrf1
  • NRF-1
  • nuclear respiratory factor 1
  • TCF11

Background

NRF1 (also known as nuclear respiratory factor 1, alpha palindromic binding protein and alpha-pal) is the mammalian homolog to the erect wing (ewg) Drosophila protein that is required for proper development of the central nervous system and indirect flight muscles. In mammals NRF1 functions as a transcription factor that activates the expression of the EIF2S1 (EIF2-alpha) gene. This protein links the transcriptional modulation of key metabolic genes to cellular growth and development and has been implicated in the control of nuclear genes required for respiration, heme biosynthesis, and mitochondrial DNA transcription and replication. NRF1 forms a homodimer and binds DNA as a dimer. NRF1 shows a nuclear localization and is widely expressed in embryonic, fetal, and adult tissues. Phosphorylation of NRF1 enhances DNA binding. Multiple splice variants have been identified for this protein.

Limitations

This product is for research use only and is not approved for use in humans or in clinical diagnosis. Primary Antibodies are guaranteed for 1 year from date of receipt.

Customers Who Viewed This Item Also Viewed...

NBP1-71648
Species: Hu, Mu(-)
Applications: ICC/IF, IHC,  IHC-P, Simple Western, WB
NBP2-93792
Species: Hu, Mu, Rt
Applications: ICC/IF, IHC,  IHC-P, WB
NBP1-32822
Species: Al, Av, Hu, Mu, Pl, Rt, Ze
Applications: ChIP, Flow, ICC/IF, IHC,  IHC-P, IP, KD, Simple Western, WB
NBP1-04676
Species: Gt, Ha, Hu, Mu, Po, Rt, Sh, Sq
Applications: ChIP, ChIP, Flow-IC, Flow, ICC/IF, IHC, IHC-Fr,  IHC-P, IP, KD, KO, Simple Western, WB
NBP1-32105
Species: Hu, Mu, Rt
Applications: ICC/IF, IHC,  IHC-P, IP, KD, WB
NB100-56503
Species: Dr, Hu, Mu, Rb, Rt
Applications: Flow-CS, Flow-IC, Flow, IB, ICC/IF, IHC,  IHC-P, Simple Western, WB
NBP2-22106
Species: Hu, Mu, Rt
Applications: IHC,  IHC-P, IP, WB
NBP2-67471
Species: Hu, Mu, Rt
Applications: ICC/IF, IHC,  IHC-P, WB
NB600-232
Species: Hu, Mu
Applications: ChIP, IHC,  IHC-P, IP, WB
DPSG10
Species: Hu
Applications: ELISA
3047-CC
Species: Hu
Applications: BA
NBP2-43648
Species: Hu, Mu, Rt, Ze
Applications: ICC/IF, IHC,  IHC-P, WB
NBP1-82580
Species: Hu
Applications: IHC,  IHC-P, Simple Western, WB
NBP3-29103
Species: Hu
Applications: IHC, IP, WB
MAB1417
Species: Bv, Hu, Mu
Applications: ICC, IHC
NBP2-59438
Species: Hu
Applications: ELISA, ICC/IF, WB

Publications for Nrf1 Antibody (NBP1-03295) (0)

There are no publications for Nrf1 Antibody (NBP1-03295).
By submitting your publication information earn gift cards and discounts for future purchases.

Reviews for Nrf1 Antibody (NBP1-03295) (0)

There are no reviews for Nrf1 Antibody (NBP1-03295). By submitting a review you will receive an Amazon e-Gift Card or Novus Product Discount.
  • Review with no image -- $10/€7/£6/$10 CAD/¥70 Yuan/¥1110 Yen
  • Review with an image -- $25/€18/£15/$25 CAD/¥150 Yuan/¥2500 Yen

Product General Protocols

Find general support by application which include: protocols, troubleshooting, illustrated assays, videos and webinars.

Video Protocols

WB Video Protocol

FAQs for Nrf1 Antibody (NBP1-03295) (0)

There are no specific FAQs related to this product. Read our general customer & technical service FAQs.

Secondary Antibodies

 

Isotype Controls

Additional Nrf1 Products

Research Areas for Nrf1 Antibody (NBP1-03295)

Find related products by research area.

Blogs on Nrf1.

Losing memory: Toxicity from mutant APP and amyloid beta explain the hippocampal neuronal damage in Alzheimer's disease
 By Jamshed Arslan Pharm.D.  Alzheimer's disease (AD) is an irreversible brain disorder that destroys memory and thinking skills. The telltale signs of AD brains are extracellular deposits of amy...  Read full blog post.

PGC-1 alpha: Roles in Mitochondrial Biogenesis and Disease
An important aspect of mitochondria maintenance includes biogenesis to replenish damaged and degraded mitochondrial structures. The regulation of mitochondrial biogenesis is very complex and numerous genes regulate and synchronize protein synthesis fr...  Read full blog post.

Exploring the Many Roles of PGC-1 alpha
The peroxisome proliferator-activated receptor gamma, co-activator 1 (PGC-1 alpha or PPARGC1A) gene encodes a 91 kDa nuclear protein that acts as a transcriptional co-activator involved in energy metabolism. Interaction with PPAR gamma allows it to in...  Read full blog post.

Contact Information

Product PDFs

Calculators

Concentration Calculator

The concentration calculator allows you to quickly calculate the volume, mass or concentration of your vial. Simply enter your mass, volume, or concentration values for your reagent and the calculator will determine the rest.

=
÷

Review this Product

Be the first to review our Nrf1 Antibody and receive a gift card or discount.

Bioinformatics

Gene Symbol NRF1
Entrez
Uniprot