Nrf1 Antibody (JM89-63)

Images

 
Western Blot: Nrf1 Antibody (JM89-63) [NBP2-75597] - Western blot analysis of Nrf1 on Hela cell lysates. Proteins were transferred to a PVDF membrane and blocked with 5% BSA in PBS for 1 hour at room temperature. The ...read more
Immunocytochemistry/ Immunofluorescence: Nrf1 Antibody (JM89-63) [NBP2-75597] - Staining NRF1 in MCF-7 cells (green). The nuclear counter stain is DAPI (blue). Cells were fixed in paraformaldehyde, permeabilised with ...read more
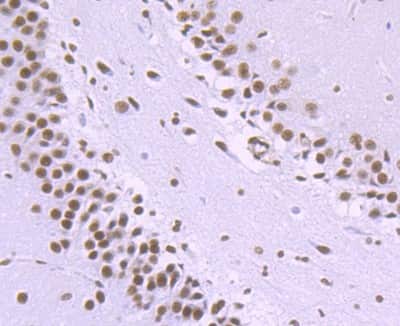
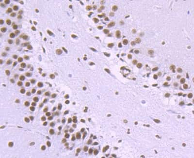
Immunohistochemistry-Paraffin: Nrf1 Antibody (JM89-63) [NBP2-75597] - Analysis of paraffin-embedded rat brain tissue using anti-NRF1 antibody. Counter stained with hematoxylin.
Flow Cytometry: Nrf1 Antibody (JM89-63) [NBP2-75597] - Analysis of 293T cells with NRF1 antibody at 1/100 dilution (red) compared with an unlabelled control (cells without incubation with primary antibody; black).
Western Blot: Nrf1 Antibody (JM89-63) [NBP2-75597] - Analysis of NRF1 on Hela cell (1) and mouse heart tissue (2) lysate using anti-NRF1 antibody at 1/500 dilution.
Immunocytochemistry/ Immunofluorescence: Nrf1 Antibody (JM89-63) [NBP2-75597] - Staining NRF1 in Hela cells (green). The nuclear counter stain is DAPI (blue). Cells were fixed in paraformaldehyde, permeabilised with ...read more
Immunocytochemistry/ Immunofluorescence: Nrf1 Antibody (JM89-63) [NBP2-75597] - Staining NRF1 in SH-SY5Y cells (green). The nuclear counter stain is DAPI (blue). Cells were fixed in paraformaldehyde, permeabilised with ...read more
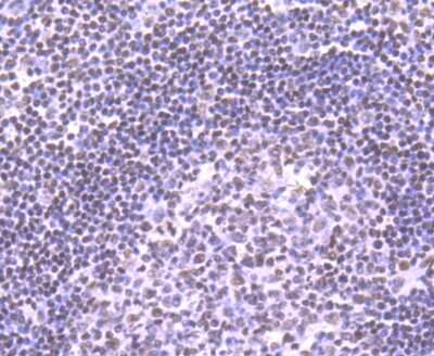
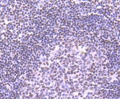
Immunohistochemistry-Paraffin: Nrf1 Antibody (JM89-63) [NBP2-75597] - Analysis of paraffin-embedded human tonsil tissue using anti-NRF1 antibody. Counter stained with hematoxylin.
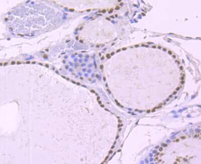
Immunohistochemistry-Paraffin: Nrf1 Antibody (JM89-63) [NBP2-75597] - Analysis of paraffin-embedded human thyriod tissue using anti-NRF1 antibody. Counter stained with hematoxylin.
Immunohistochemistry-Paraffin: Nrf1 Antibody (JM89-63) [NBP2-75597] - Analysis of paraffin-embedded mouse colon tissue using anti-NRF1 antibody. Counter stained with hematoxylin.

Product Details

Summary
Product Discontinued
View other related Nrf1 Primary Antibodies

Order Details


    • Catalog Number
      NBP2-75597
    • Availability
      Product Discontinued

    Can't find what you are looking for? Use our Antibody Concierge Service & we will help you locate your antibody!

    Or feel free to contact us for alternative products.

Nrf1 Antibody (JM89-63) Summary

Additional Information
Recombinant Monoclonal Antibody.
Immunogen
Synthetic peptide within Human Nrf1 aa 333-382 / 503. (SwissProt: Q16656 Human; SwissProt: Q9WU00 Mouse; SwissProt: Q62792 Rat)
Localization
Nucleus.
Isotype
IgG
Clonality
Monoclonal
Host
Rabbit
Gene
NRF1
Purity
Protein A purified
Innovator's Reward
Test in a species/application not listed above to receive a full credit towards a future purchase.

Applications/Dilutions

Dilutions
  • Flow Cytometry 1:50-1:100
  • Immunocytochemistry/ Immunofluorescence 1:50-1:200
  • Immunohistochemistry
  • Immunohistochemistry-Paraffin 1:50-1:200
  • Immunoprecipitation
  • Western Blot 1:500-1:2000
Theoretical MW
56 kDa.
Disclaimer note: The observed molecular weight of the protein may vary from the listed predicted molecular weight due to post translational modifications, post translation cleavages, relative charges, and other experimental factors.

Packaging, Storage & Formulations

Storage
Store at 4C short term. Aliquot and store at -20C long term. Avoid freeze-thaw cycles.
Buffer
TBS (pH7.4), 0.05% BSA, 40% Glycerol
Preservative
0.05% Sodium Azide
Concentration
1 mg/ml
Purity
Protein A purified

Alternate Names for Nrf1 Antibody (JM89-63)

  • Alpha palindromic-binding protein
  • ALPHA-PAL
  • EWG
  • HBZ17
  • LCR-F1
  • NFE2L1
  • Nrf1
  • NRF-1
  • nuclear respiratory factor 1
  • TCF11

Background

NRF1 encodes a protein that homodimerizes and functions as a transcription factor which activates the expression of some key metabolic genes regulating cellular growth and nuclear genes required for respiration, heme biosynthesis, and mitochondrial DNA transcription and replication. The protein has also been associated with the regulation of neurite outgrowth. Alternate transcriptional splice variants, which encode the same protein, have been characterized. Additional variants encoding different protein isoforms have been described but they have not been fully characterized. Confusion has occurred in bibliographic databases due to the shared symbol of NRF1 for this gene and for "nuclear factor (erythroid-derived 2)-like 1" which has an official symbol of NFE2L1.

Limitations

This product is for research use only and is not approved for use in humans or in clinical diagnosis. Primary Antibodies are guaranteed for 1 year from date of receipt.

Customers Who Viewed This Item Also Viewed...

NBP1-71648
Species: Hu, Mu(-)
Applications: ICC/IF, IHC,  IHC-P, Simple Western, WB
NBP2-93792
Species: Hu, Mu, Rt
Applications: ICC/IF, IHC,  IHC-P, WB
NBP1-32822
Species: Al, Av, Hu, Mu, Pl, Rt, Ze
Applications: ChIP, Flow, ICC/IF, IHC,  IHC-P, IP, KD, Simple Western, WB
NBP1-04676
Species: Gt, Ha, Hu, Mu, Po, Rt, Sh, Sq
Applications: ChIP, ChIP, Flow-IC, Flow, ICC/IF, IHC, IHC-Fr,  IHC-P, IP, KD, KO, Simple Western, WB
NBP1-32105
Species: Hu, Mu, Rt
Applications: ICC/IF, IHC,  IHC-P, IP, KD, WB
NB100-56503
Species: Dr, Hu, Mu, Rb, Rt
Applications: Flow-CS, Flow-IC, Flow, IB, ICC/IF, IHC,  IHC-P, Simple Western, WB
NBP2-22106
Species: Hu, Mu, Rt
Applications: IHC,  IHC-P, IP, WB
NBP2-67471
Species: Hu, Mu, Rt
Applications: ICC/IF, IHC,  IHC-P, WB
NB600-232
Species: Hu, Mu
Applications: ChIP, IHC,  IHC-P, IP, WB
DPSG10
Species: Hu
Applications: ELISA
3047-CC
Species: Hu
Applications: BA
NBP2-43648
Species: Hu, Mu, Rt, Ze
Applications: ICC/IF, IHC,  IHC-P, WB
NBP1-82580
Species: Hu
Applications: IHC,  IHC-P, Simple Western, WB
NBP3-29103
Species: Hu
Applications: IHC, IP, WB
MAB1417
Species: Bv, Hu, Mu
Applications: ICC, IHC
NBP2-59438
Species: Hu
Applications: ELISA, ICC/IF, WB

Publications for Nrf1 Antibody (NBP2-75597) (0)

There are no publications for Nrf1 Antibody (NBP2-75597).
By submitting your publication information earn gift cards and discounts for future purchases.

Reviews for Nrf1 Antibody (NBP2-75597) (0)

There are no reviews for Nrf1 Antibody (NBP2-75597). By submitting a review you will receive an Amazon e-Gift Card or Novus Product Discount.
  • Review with no image -- $10/€7/£6/$10 CAD/¥70 Yuan/¥1110 Yen
  • Review with an image -- $25/€18/£15/$25 CAD/¥150 Yuan/¥2500 Yen

Product General Protocols

Video Protocols

WB Video Protocol
ICC/IF Video Protocol

FAQs for Nrf1 Antibody (NBP2-75597) (0)

There are no specific FAQs related to this product. Read our general customer & technical service FAQs.

Secondary Antibodies

 

Isotype Controls

Additional Nrf1 Products

Research Areas for Nrf1 Antibody (NBP2-75597)

Find related products by research area.

Blogs on Nrf1.

Losing memory: Toxicity from mutant APP and amyloid beta explain the hippocampal neuronal damage in Alzheimer's disease
 By Jamshed Arslan Pharm.D.  Alzheimer's disease (AD) is an irreversible brain disorder that destroys memory and thinking skills. The telltale signs of AD brains are extracellular deposits of amy...  Read full blog post.

PGC-1 alpha: Roles in Mitochondrial Biogenesis and Disease
An important aspect of mitochondria maintenance includes biogenesis to replenish damaged and degraded mitochondrial structures. The regulation of mitochondrial biogenesis is very complex and numerous genes regulate and synchronize protein synthesis fr...  Read full blog post.

Exploring the Many Roles of PGC-1 alpha
The peroxisome proliferator-activated receptor gamma, co-activator 1 (PGC-1 alpha or PPARGC1A) gene encodes a 91 kDa nuclear protein that acts as a transcriptional co-activator involved in energy metabolism. Interaction with PPAR gamma allows it to in...  Read full blog post.

Contact Information

Product PDFs

Calculators

Concentration Calculator

The concentration calculator allows you to quickly calculate the volume, mass or concentration of your vial. Simply enter your mass, volume, or concentration values for your reagent and the calculator will determine the rest.

=
÷

Review this Product

Be the first to review our Nrf1 Antibody (JM89-63) and receive a gift card or discount.

Bioinformatics

Gene Symbol NRF1