Nicotinic Acetylcholine R alpha 7/CHRNA7 Antibody (7F10G1) - BSA Free

Images

 
Western Blot: Nicotinic Acetylcholine R alpha 7/CHRNA7 Antibody (7F10G1) [NBP2-61739] - Analysis using CHRNA7 mAb against human CHRNA7 (AA: extra 52-259) recombinant protein. (Expected MW is 50.4 kDa)
Immunohistochemistry-Paraffin: Nicotinic Acetylcholine R alpha 7/CHRNA7 Antibody (7F10G1) [NBP2-61739] - Analysis of rectum cancer tissues using CHRNA7 mouse mAb with DAB staining.
Flow Cytometry: Nicotinic Acetylcholine R alpha 7/CHRNA7 Antibody (7F10G1) [NBP2-61739] - Analysis of SH-SY5Y cells using CHRNA7 mouse mAb (green) and negative control (red).
Western Blot: Nicotinic Acetylcholine R alpha 7/CHRNA7 Antibody (7F10G1) [NBP2-61739] - Analysis using CHRNA7 mAb against HEK293 (1) and CHRNA7 (AA: extra 52-259)-hIgGFc transfected HEK293 (2) cell lysate.
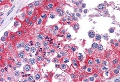
Immunohistochemistry-Paraffin: Nicotinic Acetylcholine R alpha 7/CHRNA7 Antibody (7F10G1) [NBP2-61739] - Analysis of bladder cancer tissues using CHRNA7 mouse mAb with DAB staining.
ELISA: Nicotinic Acetylcholine R alpha 7/CHRNA7 Antibody (7F10G1) [NBP2-61739] - Black line: Control Antigen (100 ng);Purple line: Antigen (10ng); Blue line: Antigen (50 ng); Red line:Antigen (100 ng)

Product Details

Summary
Reactivity HuSpecies Glossary
Applications WB, ELISA, Flow, IHC
Clone
7F10G1
Clonality
Monoclonal
Host
Mouse
Conjugate
Unconjugated
Format
BSA Free
Concentration
1 mg/ml

Order Details

View Available Formulations
Catalog# & Formulation Size Price

Nicotinic Acetylcholine R alpha 7/CHRNA7 Antibody (7F10G1) - BSA Free Summary

Description
Novus Biologicals Mouse Nicotinic Acetylcholine R alpha 7/CHRNA7 Antibody (7F10G1) - BSA Free (NBP2-61739) is a monoclonal antibody validated for use in IHC, WB, ELISA, Flow and ICC/IF. Anti-Nicotinic Acetylcholine R alpha 7/CHRNA7 Antibody: Cited in 2 publications. All Novus Biologicals antibodies are covered by our 100% guarantee.
Immunogen
Purified recombinant fragment of human Nicotinic Acetylcholine R alpha 7/CHRNA7 (AA: extra 52-259) expressed in E. Coli.
Isotype
IgG1
Clonality
Monoclonal
Host
Mouse
Gene
CHRNA7
Purity
Protein G purified
Innovator's Reward
Test in a species/application not listed above to receive a full credit towards a future purchase.

Applications/Dilutions

Dilutions
  • ELISA 1:100-1:2000
  • Flow Cytometry 1:10-1:1000
  • Immunohistochemistry 1:10-1:1000
  • Immunohistochemistry-Paraffin 1:200 - 1:1000
  • Western Blot 1:100-1:2000
Theoretical MW
56.4 kDa.
Disclaimer note: The observed molecular weight of the protein may vary from the listed predicted molecular weight due to post translational modifications, post translation cleavages, relative charges, and other experimental factors.
Publications
Read Publications using
NBP2-61739 in the following applications:

Packaging, Storage & Formulations

Storage
Store at 4C short term. Aliquot and store at -20C long term. Avoid freeze-thaw cycles.
Buffer
PBS
Preservative
0.05% Sodium Azide
Concentration
1 mg/ml
Purity
Protein G purified

Alternate Names for Nicotinic Acetylcholine R alpha 7/CHRNA7 Antibody (7F10G1) - BSA Free

  • a7 nicotinic acetylcholine receptor
  • alpha 7 neuronal nicotinic acetylcholine receptor
  • alpha-7 nicotinic cholinergic receptor subunit
  • cholinergic receptor, nicotinic, alpha 7
  • cholinergic receptor, nicotinic, alpha polypeptide 7
  • CHRNA7
  • CHRNA7-2
  • NACHRA7
  • neuronal acetylcholine receptor protein, alpha-7 chain
  • neuronal acetylcholine receptor subunit alpha-7
  • Nicotinic Acetylcholine R alpha 7
  • Nicotinic Acetylcholine Ra 7

Background

The nicotinic acetylcholine receptors (nAChRs) are members of a superfamily of ligand-gated ion channels that mediate fast signal transmission at synapses. The nAChRs are thought to be hetero-pentamers composed of homologous subunits. The proposed structure for each subunit is a conserved N-terminal extracellular domain followed by three conserved transmembrane domains, a variable cytoplasmic loop, a fourth conserved transmembrane domain, and a short C-terminal extracellular region. The protein encoded by this gene forms a homo-oligomeric channel, displays marked permeability to calcium ions and is a major component of brain nicotinic receptors that are blocked by, and highly sensitive to, alpha-bungarotoxin. Once this receptor binds acetylcholine, it undergoes an extensive change in conformation that affects all subunits and leads to opening of an ion-conducting channel across the plasma membrane. This gene is located in a region identified as a major susceptibility locus for juvenile myoclonic epilepsy and a chromosomal location involved in the genetic transmission of schizophrenia. An evolutionarily recent partial duplication event in this region results in a hybrid containing sequence from this gene and a novel FAM7A gene. Alternative splicing results in multiple transcript variants.

Limitations

This product is for research use only and is not approved for use in humans or in clinical diagnosis. Primary Antibodies are guaranteed for 1 year from date of receipt.

Customers Who Viewed This Item Also Viewed...

NBP2-61674
Species: Hu
Applications: ELISA, WB
NBP2-01345
Species: Hu, Mu, Rt
Applications: Flow, ICC/IF, IHC,  IHC-P, WB
NBP1-88650
Species: Hu
Applications: IHC,  IHC-P, KD, WB
AF632
Species: Hu
Applications: AgAct, Simple Western, WB
NB100-56583
Species: Hu, Rb, Rt
Applications: Flow, IHC,  IHC-P, KO, Simple Western, WB
NBP3-38474
Species: Hu, Mu, Rt
Applications: ELISA, IHC,  IHC-P, WB
NBP1-28467
Species: Hu
Applications: IHC,  IHC-P, PEP-ELISA, WB
NB100-1780
Species: Hu, Mu
Applications: Flow, PEP-ELISA, WB
NBP2-61677
Species: Hu, Rt
Applications: ELISA, Flow, WB
NBP2-61667
Species: Hu, Rt
Applications: ELISA, WB
NBP2-61743
Species: Hu
Applications: ELISA, Flow, ICC/IF, WB
DBD00
Species: Hu
Applications: ELISA
H00001142-M01
Species: Hu
Applications: ELISA, ICC/IF, WB
NBP3-17138
Species: Hu
Applications: IHC,  IHC-P
NB100-1519
Species: Hu, Mu, Rt
Applications: Flow, ICC/IF, IHC-FrFl, PEP-ELISA, WB
NBP3-25636
Species: Hu, Mu, Rt
Applications: ICC/IF, IHC,  IHC-P, WB
NBP2-61739
Species: Hu
Applications: WB, ELISA, Flow, IHC

Publications for Nicotinic Acetylcholine R alpha 7/CHRNA7 Antibody (NBP2-61739)(3)

We have publications tested in 2 confirmed species: Human, Mouse.

We have publications tested in 3 applications: ICC/IF, IHC-Fr, IHC-P.


Filter By Application
ICC/IF
(2)
IHC-Fr
(1)
IHC-P
(1)
All Applications
Filter By Species
Human
(1)
Mouse
(1)
All Species

Reviews for Nicotinic Acetylcholine R alpha 7/CHRNA7 Antibody (NBP2-61739) (0)

There are no reviews for Nicotinic Acetylcholine R alpha 7/CHRNA7 Antibody (NBP2-61739). By submitting a review you will receive an Amazon e-Gift Card or Novus Product Discount.
  • Review with no image -- $10/€7/£6/$10 CAD/¥70 Yuan/¥1110 Yen
  • Review with an image -- $25/€18/£15/$25 CAD/¥150 Yuan/¥2500 Yen

Product General Protocols

Find general support by application which include: protocols, troubleshooting, illustrated assays, videos and webinars.

Video Protocols

WB Video Protocol

FAQs for Nicotinic Acetylcholine R alpha 7/CHRNA7 Antibody (NBP2-61739). (Showing 1 - 2 of 2 FAQs).

  1. I am doing research on Neuroscience and I would like to use some antibodies, especially in Western Blots, but I could do other assays: - alpha7 nicotinic cholinergic receptor; - parvalbumin; - calbindin D28K; The preferred reactivity is anti-human and anti-mouse. Do you have these antibodies? Are they in stock? And what about the prizes: How much are they? How much are the shipping costs? Could you make me any offer?
    • We currently have three alpha7 nicotinic cholingergic receptor antibodies available for purchase. Please see this list for our Parvalbumin antibodies. None are currently validated in mouse. I would like to introduce you to our Innovators Reward Program. We have an excelent calbinin D28K antibody that has been validated for use in human and mouse and WB. The pricing and availability of our products depends on your country.
  2. I am looking to buy antibodies against most of the nicotinic receptor subunits for WB and IHC application. Could you please indicate which of your antibodies have been used by other researchers and provide publications showing their use? Thanks.
    • A list of our antibodies directed against he nicotinic acetylcholine receptors can be found here. Any products with publications will be indicated on the search page and can be found under the publications tab on the individual product's datasheet. Furthermore, we guarantee all of our products for the applications and species list on the datasheet. This should help narrow down your search.

Secondary Antibodies

 

Isotype Controls

Additional Nicotinic Acetylcholine R alpha 7/CHRNA7 Products

Research Areas for Nicotinic Acetylcholine R alpha 7/CHRNA7 Antibody (NBP2-61739)

Find related products by research area.

Blogs on Nicotinic Acetylcholine R alpha 7/CHRNA7

There are no specific blogs for Nicotinic Acetylcholine R alpha 7/CHRNA7, but you can read our latest blog posts.

Customers Who Bought This Also Bought

Contact Information

Product PDFs

Calculators

Concentration Calculator

The concentration calculator allows you to quickly calculate the volume, mass or concentration of your vial. Simply enter your mass, volume, or concentration values for your reagent and the calculator will determine the rest.

=
÷

Review this Product

Be the first to review our Nicotinic Acetylcholine R alpha 7/CHRNA7 Antibody (7F10G1) - BSA Free and receive a gift card or discount.

Bioinformatics

Gene Symbol CHRNA7