NFIB Antibody

Images

 
Western Blot: NFIB Antibody [NBP2-75588] - Analysis of NFIB/NF1B2 on PC-12 cell lysate using anti-NFIB/NF1B2 antibody at 1/1,000 dilution.
Immunohistochemistry-Paraffin: NFIB Antibody [NBP2-75588] - Analysis of paraffin-embedded mouse brain tissue using anti-NFIB/NF1B2 antibody. Counter stained with hematoxylin.
Flow Cytometry: NFIB Antibody [NBP2-75588] - Analysis of Hela cells with NFIB/NF1B2 antibody at 1/100 dilution (red) compared with an unlabelled control (cells without incubation with primary antibody; black).
Immunohistochemistry-Paraffin: NFIB Antibody [NBP2-75588] - Analysis of paraffin-embedded human liver tissue using anti-NFIB/NF1B2 antibody. Counter stained with hematoxylin.
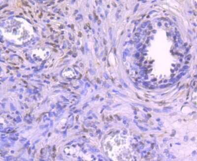
Immunohistochemistry-Paraffin: NFIB Antibody [NBP2-75588] - Analysis of paraffin-embedded human prostate tissue using anti-NFIB/NF1B2 antibody. Counter stained with hematoxylin.
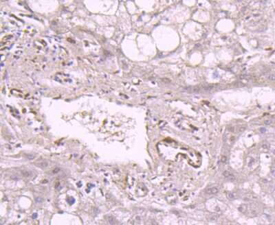
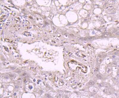
Immunohistochemistry-Paraffin: NFIB Antibody [NBP2-75588] - Analysis of paraffin-embedded mouse liver tissue using anti-NFIB/NF1B2 antibody. Counter stained with hematoxylin.

Product Details

Summary
Product Discontinued
View other related NFIB Primary Antibodies

Order Details


    • Catalog Number
      NBP2-75588
    • Availability
      Product Discontinued

    Can't find what you are looking for? Use our Antibody Concierge Service & we will help you locate your antibody!

    Or feel free to contact us for alternative products.

NFIB Antibody Summary

Immunogen
Recombinant protein within Human NFIB aa 1-273 / 420. (SwissProt: O00712 Human; SwissProt: P97863 Mouse)
Localization
Nucleus.
Isotype
IgG
Clonality
Polyclonal
Host
Rabbit
Gene
NFIB
Purity
Protein A purified
Innovator's Reward
Test in a species/application not listed above to receive a full credit towards a future purchase.

Applications/Dilutions

Dilutions
  • Flow Cytometry 1:50-1:100
  • Immunohistochemistry
  • Immunohistochemistry-Paraffin 1:50-1:100
  • Western Blot 1:200-1:500
Theoretical MW
56 kDa.
Disclaimer note: The observed molecular weight of the protein may vary from the listed predicted molecular weight due to post translational modifications, post translation cleavages, relative charges, and other experimental factors.

Packaging, Storage & Formulations

Storage
Store at 4C short term. Aliquot and store at -20C long term. Avoid freeze-thaw cycles.
Buffer
PBS (pH7.4), 0.2% BSA, 50% Glycerol
Preservative
0.05% Sodium Azide
Concentration
1 mg/ml
Purity
Protein A purified

Alternate Names for NFIB Antibody

  • CCAAT-box-binding transcription factor
  • CTF
  • HMGIC/NFIB
  • NF-I/B
  • NFI-B
  • NFIB2
  • NFIB3
  • NFI-RED
  • nuclear factor 1 B-type
  • Nuclear factor 1/B
  • nuclear factor I/BNF1-B
  • TGGCA-binding protein

Background

Recognizes and binds the palindromic sequence 5'-TTGGCNNNNNGCCAA-3' present in viral and cellular promoters and in the origin of replication of adenovirus type 2. These proteins are individually capable of activating transcription and replication

Limitations

This product is for research use only and is not approved for use in humans or in clinical diagnosis. Primary Antibodies are guaranteed for 1 year from date of receipt.

Customers Who Viewed This Item Also Viewed...

NB100-74510
Species: Hu, Mu, Pm, Rt
Applications: ELISA, ICC/IF, IHC,  IHC-P, IP, WB
H00004782-M01
Species: Hu, Mu
Applications: ELISA, ICC/IF, IHC,  IHC-P, KD, WB
NBP1-89945
Species: Hu, Mu, Rt
Applications: ICC/IF, IHC,  IHC-P, KD, WB
NBP2-13075
Species: Ba, Hu, Pm, Mu, Rt
Applications: DB, ELISA, IB, ICC/IF, IHC-FrFl, IHC, IHC-Fr,  IHC-P, IP, WB
NB600-233
Species: Hu, Mu
Applications: ChIP, CHIP-SEQ, IHC,  IHC-P, IP, WB
3047-CC
Species: Hu
Applications: BA
DPSG10
Species: Hu
Applications: ELISA
NB100-74513
Species: Hu, Mu, Pm, Rt
Applications: ELISA, ICC/IF, IHC,  IHC-P, IP, WB
NB300-155
Species: Hu, Mu, Rt
Applications: ICC/IF, IHC, IHC-Fr,  IHC-P, WB
NBP1-81407
Species: Hu, Mu, Rt
Applications: ChIP-EXO-SEQ, ICC/IF, IHC,  IHC-P, WB
NBP2-67471
Species: Hu, Mu, Rt
Applications: ICC/IF, IHC,  IHC-P, WB
NBP2-50037
Species: Hu, Mu, Rt
Applications: ICC/IF, IHC, KO, WB
MAB931
Species: Hu, Mu
Applications: CyTOF-ready, IHC, ICFlow, WB
NBP1-89544
Species: Hu
Applications: ChIP-EXO-SEQ, ICC/IF, IHC,  IHC-P, WB
AF2214
Species: Hu
Applications: ICC, IHC, WB
NBP2-15039
Species: Mu
Applications: ChIP, ICC/IF, IHC,  IHC-P, WB
NBP3-16602
Species: Hu, Mu, Rt
Applications: IHC,  IHC-P, IP, WB
NBP2-75588
Species: Hu, Mu
Applications: WB, Flow, IHC

Publications for NFIB Antibody (NBP2-75588) (0)

There are no publications for NFIB Antibody (NBP2-75588).
By submitting your publication information earn gift cards and discounts for future purchases.

Reviews for NFIB Antibody (NBP2-75588) (0)

There are no reviews for NFIB Antibody (NBP2-75588). By submitting a review you will receive an Amazon e-Gift Card or Novus Product Discount.
  • Review with no image -- $10/€7/£6/$10 CAD/¥70 Yuan/¥1110 Yen
  • Review with an image -- $25/€18/£15/$25 CAD/¥150 Yuan/¥2500 Yen

Product General Protocols

Find general support by application which include: protocols, troubleshooting, illustrated assays, videos and webinars.

Video Protocols

WB Video Protocol

FAQs for NFIB Antibody (NBP2-75588) (0)

There are no specific FAQs related to this product. Read our general customer & technical service FAQs.

Secondary Antibodies

 

Isotype Controls

Additional NFIB Products

Research Areas for NFIB Antibody (NBP2-75588)

Find related products by research area.

Blogs on NFIB

There are no specific blogs for NFIB, but you can read our latest blog posts.

Contact Information

Product PDFs

Calculators

Concentration Calculator

The concentration calculator allows you to quickly calculate the volume, mass or concentration of your vial. Simply enter your mass, volume, or concentration values for your reagent and the calculator will determine the rest.

=
÷

Review this Product

Be the first to review our NFIB Antibody and receive a gift card or discount.

Bioinformatics

Gene Symbol NFIB