Neuropeptide FF R1/NPFFR1 Antibody

Images

 
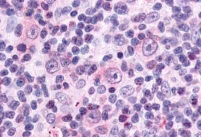
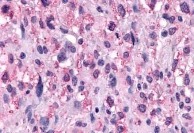
Immunohistochemistry-Paraffin: Neuropeptide FF R1/NPFFR1 Antibody [NLS1905] - Anti-NPFFR1 / GPR147 antibody IHC of human Breast, Carcinoma. Immunohistochemistry of formalin-fixed, paraffin-embedded tissue after ...read more
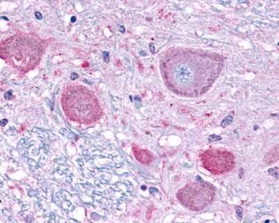
Immunohistochemistry-Paraffin: Neuropeptide FF R1/NPFFR1 Antibody [NLS1905] - Analysis of anti-NPFF1 Receptor antibody with human brain, neurons at 20 ug/ml.
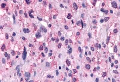
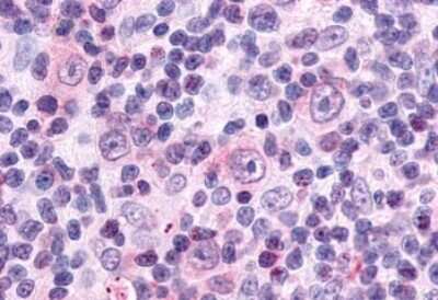
Immunohistochemistry-Paraffin: Neuropeptide FF R1/NPFFR1 Antibody [NLS1905] - Anti-NPFFR1 / GPR147 antibody IHC of human Lymph Node, Hodgkins Lymphoma. Immunohistochemistry of formalin-fixed, paraffin-embedded tissue ...read more
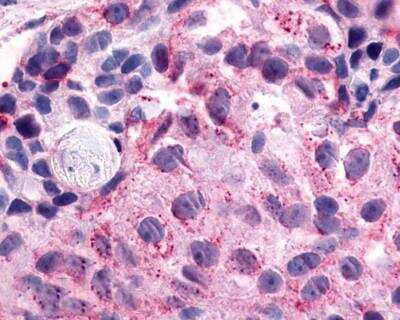
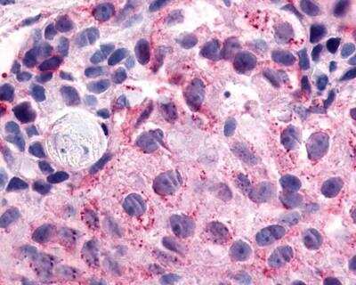
Immunohistochemistry-Paraffin: Neuropeptide FF R1/NPFFR1 Antibody [NLS1905] - Anti-NPFFR1 / GPR147 antibody IHC of human Brain, Glioblastoma. Immunohistochemistry of formalin-fixed, paraffin-embedded tissue after ...read more

Product Details

Summary
Product Discontinued
View other related Neuropeptide FF R1/NPFFR1 Primary Antibodies

Order Details


    • Catalog Number
      NLS1905
    • Availability
      Product Discontinued

    Can't find what you are looking for? Use our Antibody Concierge Service & we will help you locate your antibody!

    Or feel free to contact us for alternative products.

Neuropeptide FF R1/NPFFR1 Antibody Summary

Immunogen
Synthetic 20 amino acid peptide from C-terminus of human NPFF1 Receptor.
Epitope
C-terminal domain of human
Specificity
Human NPFF1 Receptor. BLAST analysis of the peptide immunogen showed no homology with other human proteins.
Predicted Species
Primate (95%). Backed by our 100% Guarantee.
Isotype
IgG
Clonality
Polyclonal
Host
Rabbit
Gene
NPFFR1
Purity
Immunogen affinity purified
Innovator's Reward
Test in a species/application not listed above to receive a full credit towards a future purchase.

Applications/Dilutions

Dilutions
  • Immunohistochemistry
  • Immunohistochemistry-Paraffin 20 - 40 ug/ml

Reactivity Notes

Predicted cross-reactivity based on sequence identity: Gibbon (95%), Gorilla (85%), Monkey (80%).

Packaging, Storage & Formulations

Storage
Store at 4C short term. Aliquot and store at -20C long term. Avoid freeze-thaw cycles.
Buffer
PBS
Preservative
0.1% Sodium Azide
Concentration
1.0 mg/ml
Purity
Immunogen affinity purified

Alternate Names for Neuropeptide FF R1/NPFFR1 Antibody

  • FLJ10751
  • G protein-coupled receptor 147
  • GPR147
  • neuropeptide FF 1
  • Neuropeptide FF R1
  • neuropeptide FF receptor 1
  • Neuropeptide FFR1
  • NPFF1
  • NPFF1G-protein coupled receptor 147
  • NPFF1R1
  • NPFFR1
  • OT7T022
  • RFamide-related peptide receptor OT7T022

Background

The Neuropeptide FF 1 Receptor (NPFF1) is a member of the Neuropeptide Receptor GPCR family. The ligand, neuropeptide FF, is believed to play a role in pain modulation and opiate tolerance. NPFF1 expression has been documented in the central nervous system and brain hypothalmus. Very low levels have been detected in the periphery.

Limitations

This product is for research use only and is not approved for use in humans or in clinical diagnosis. Primary Antibodies are guaranteed for 1 year from date of receipt.

Customers Who Viewed This Item Also Viewed...

NBP1-86724
Species: Hu
Applications: IHC,  IHC-P, WB
NB300-169
Species: Hu
Applications: ICC/IF, WB
NBP3-05565
Species: Hu, Rt
Applications: WB
NBP2-38770
Species: Hu, Mu
Applications:  IHC-P, WB
H00003814-M05
Species: Hu
Applications: ELISA, ICC/IF, IHC,  IHC-P, WB
NBP2-22203
Species: Hu, Pm, Mu, Rt
Applications: ELISA, Flow, ICC/IF, IHC,  IHC-P, WB
NBP1-89946
Species: Hu
Applications: ICC/IF, IHC,  IHC-P
H00001392-M02
Species: Hu
Applications: ELISA, IHC,  IHC-P, S-ELISA, WB
NBP3-38024
Species: Hu, Mu, Rt
Applications: ELISA, ICC/IF, IHC,  IHC-P, WB
NBP1-89522
Species: Hu, Mu, Rt
Applications: ICC/IF, IHC,  IHC-P, WB
NB100-1793
Species: Hu, Pm, Mu, Rt
Applications: Flow, IB, ICC/IF, IHC, IHC-Fr,  IHC-P, PEP-ELISA
NBP1-32728
Species: Hu, Mu, Rt
Applications: ICC/IF, IHC,  IHC-P, IP, WB
NLS418
Species: Hu
Applications: IHC,  IHC-P
NB110-92756
Species: Ch, Hu, Mu, Re
Applications: KD, WB
AF1445
Species: Mu, Rt
Applications: ELISA(Cap), ELISA(Det), ELISA(Sta), IHC, Neut, Simple Western, WB
NBP3-43655
Species: Hu, Mu
Applications: IHC,  IHC-P, WB

Publications for Neuropeptide FF R1/NPFFR1 Antibody (NLS1905) (0)

There are no publications for Neuropeptide FF R1/NPFFR1 Antibody (NLS1905).
By submitting your publication information earn gift cards and discounts for future purchases.

Reviews for Neuropeptide FF R1/NPFFR1 Antibody (NLS1905) (0)

There are no reviews for Neuropeptide FF R1/NPFFR1 Antibody (NLS1905). By submitting a review you will receive an Amazon e-Gift Card or Novus Product Discount.
  • Review with no image -- $10/€7/£6/$10 CAD/¥70 Yuan/¥1110 Yen
  • Review with an image -- $25/€18/£15/$25 CAD/¥150 Yuan/¥2500 Yen

Product General Protocols

View specific protocols for Neuropeptide FF R1/NPFFR1 Antibody (NLS1905): Find general support by application which include: protocols, troubleshooting, illustrated assays, videos and webinars.

FAQs for Neuropeptide FF R1/NPFFR1 Antibody (NLS1905) (0)

There are no specific FAQs related to this product. Read our general customer & technical service FAQs.

Secondary Antibodies

 

Isotype Controls

Additional Neuropeptide FF R1/NPFFR1 Products

Research Areas for Neuropeptide FF R1/NPFFR1 Antibody (NLS1905)

Find related products by research area.

Blogs on Neuropeptide FF R1/NPFFR1

There are no specific blogs for Neuropeptide FF R1/NPFFR1, but you can read our latest blog posts.

Contact Information

Product PDFs

Calculators

Concentration Calculator

The concentration calculator allows you to quickly calculate the volume, mass or concentration of your vial. Simply enter your mass, volume, or concentration values for your reagent and the calculator will determine the rest.

=
÷

Review this Product

Be the first to review our Neuropeptide FF R1/NPFFR1 Antibody and receive a gift card or discount.

Bioinformatics

Gene Symbol NPFFR1
Entrez