NANP Antibody

Images

 
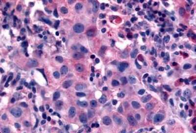
Immunohistochemistry-Paraffin: NANP Antibody [NB110-39034] - Analysis of anti-NANP antibody with human breast, carcinoma at concentration 15-20 ug/ml.

Product Details

Summary
Product Discontinued
View other related NANP Primary Antibodies

Order Details


    • Catalog Number
      NB110-39034
    • Availability
      Product Discontinued

    Can't find what you are looking for? Use our Antibody Concierge Service & we will help you locate your antibody!

    Or feel free to contact us for alternative products.

NANP Antibody Summary

Immunogen
Synthetic 16 amino acid peptide from N-terminus of human NANP.
Epitope
N-terminal region of human.
Specificity
Human NANP. BLAST analysis of the peptide immunogen showed no homology with other human proteins.
Isotype
IgG
Clonality
Polyclonal
Host
Rabbit
Gene
NANP
Purity
Immunogen affinity purified
Innovator's Reward
Test in a species/application not listed above to receive a full credit towards a future purchase.

Applications/Dilutions

Dilutions
  • Immunohistochemistry
  • Immunohistochemistry-Paraffin 15 - 20 ug/ml

Reactivity Notes

Predicted cross-reactivity based on sequence identity: Gorilla (100%), Gibbon (100%), Marmoset (100%), Rat (88%), Bovine (88%), Bat (88%), Hamster (88%), Porcine (88%), Mouse (81%), Canine (81%), Chicken (81%).

Packaging, Storage & Formulations

Storage
Store at 4C short term. Aliquot and store at -20C long term. Avoid freeze-thaw cycles.
Buffer
PBS
Preservative
0.1% Sodium Azide
Concentration
1.0 mg/ml
Purity
Immunogen affinity purified

Alternate Names for NANP Antibody

  • C20orf147
  • chromosome 20 open reading frame 147
  • dJ694B14.3
  • EC 3.1.3.29
  • haloacid dehalogenase-like hydrolase domain containing 4
  • Haloacid dehalogenase-like hydrolase domain-containing protein 4
  • HDHD4Neu5Ac-9-Pase
  • MGC26833
  • N-acetylneuraminic acid phosphatase
  • N-acylneuraminate-9-phosphatase

Limitations

This product is for research use only and is not approved for use in humans or in clinical diagnosis. Primary Antibodies are guaranteed for 1 year from date of receipt.

Customers Who Viewed This Item Also Viewed...

NBP2-43648
Species: Hu, Mu, Rt, Ze
Applications: ICC/IF, IHC,  IHC-P, WB
NBP1-87974
Species: Hu
Applications: IHC,  IHC-P, WB
NBP2-13304
Species: Hu
Applications: ICC/IF, IHC,  IHC-P, WB
NBP1-77397
Species: Hu, Mu
Applications: Flow, IB, ICC/IF, IHC,  IHC-P, KD, Simple Western, WB
202-IL
Species: Hu
Applications: BA
NBP1-44643
Species: Hu
Applications: CyTOF-ready, Flow, ICC/IF
NBP2-21598
Species: Hu, Mu, Rt
Applications: ICC/IF, IHC, IHC-Fr,  IHC-P, WB
NBP3-25228
Species: Hu
Applications: ICC/IF
485-MI
Species: Mu
Applications: BA
NBP1-89366
Species: Hu, Mu, Rt
Applications: IHC,  IHC-P, WB
NB300-605
Species: Hu, Mu, Po, Rt
Applications: Flow, IB, ICC/IF, IHC, IHC-Fr,  IHC-P, In vitro, WB
NBP2-93872
Species: Hu, Mu, Rt
Applications: ELISA, WB
AF3366
Species: Hu
Applications: ICC, IHC, Simple Western, WB
NBP2-92630
Species: Hu, Mu, Rt
Applications: ELISA, ICC/IF, IHC,  IHC-P, WB
M6000B
Species: Mu
Applications: ELISA
NBP2-21792
Species: Hu
Applications: CyTOF-ready, Flow, ICC/IF, IHC,  IHC-P, IP, WB

Publications for NANP Antibody (NB110-39034) (0)

There are no publications for NANP Antibody (NB110-39034).
By submitting your publication information earn gift cards and discounts for future purchases.

Reviews for NANP Antibody (NB110-39034) (0)

There are no reviews for NANP Antibody (NB110-39034). By submitting a review you will receive an Amazon e-Gift Card or Novus Product Discount.
  • Review with no image -- $10/€7/£6/$10 CAD/¥70 Yuan/¥1110 Yen
  • Review with an image -- $25/€18/£15/$25 CAD/¥150 Yuan/¥2500 Yen

Product General Protocols

Find general support by application which include: protocols, troubleshooting, illustrated assays, videos and webinars.

FAQs for NANP Antibody (NB110-39034) (0)

There are no specific FAQs related to this product. Read our general customer & technical service FAQs.

Secondary Antibodies

 

Isotype Controls

Additional NANP Products

Research Areas for NANP Antibody (NB110-39034)

Find related products by research area.

Blogs on NANP

There are no specific blogs for NANP, but you can read our latest blog posts.

Contact Information

Product PDFs

Calculators

Concentration Calculator

The concentration calculator allows you to quickly calculate the volume, mass or concentration of your vial. Simply enter your mass, volume, or concentration values for your reagent and the calculator will determine the rest.

=
÷

Review this Product

Be the first to review our NANP Antibody and receive a gift card or discount.

Bioinformatics

Gene Symbol NANP
Entrez