MSK1/RPS6KA5 [p Ser376] Antibody (SN63-05)

Images

 
Immunocytochemistry/ Immunofluorescence: MSK1/RPS6KA5 [p Ser376] Antibody (SN63-05) [NBP2-67653] - Staining MSK1(phospho S376) in PC-3M cells (green). The nuclear counter stain is DAPI (blue). Cells were fixed in ...read more
Immunohistochemistry-Paraffin: MSK1/RPS6KA5 [p Ser376] Antibody (SN63-05) [NBP2-67653] - Immunohistochemical analysis of paraffin-embedded human colon tissue using anti-MSK1/RPS6KA5 antibody. The section was pre-treated ...read more
Immunocytochemistry/ Immunofluorescence: MSK1/RPS6KA5 [p Ser376] Antibody (SN63-05) [NBP2-67653] - Staining MSK1(phospho S376) in 293 cells (green). The nuclear counter stain is DAPI (blue). Cells were fixed in ...read more
Immunocytochemistry/ Immunofluorescence: MSK1/RPS6KA5 [p Ser376] Antibody (SN63-05) [NBP2-67653] - Staining MSK1(phospho S376) in Hela cells (green). The nuclear counter stain is DAPI (blue). Cells were fixed in ...read more
Immunocytochemistry/ Immunofluorescence: MSK1/RPS6KA5 [p Ser376] Antibody (SN63-05) [NBP2-67653] - Staining MSK1(phospho S376) in LO2 cells (green). The nuclear counter stain is DAPI (blue). Cells were fixed in ...read more
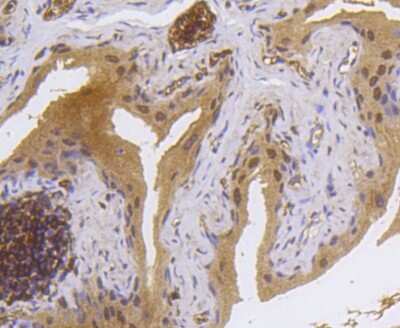
Immunohistochemistry-Paraffin: MSK1/RPS6KA5 [p Ser376] Antibody (SN63-05) [NBP2-67653] - Analysis of paraffin-embedded mouse bladder tissue using anti-MSK1(phospho S376) antibody. Counter stained with hematoxylin.

Product Details

Summary
Product Discontinued
View other related MSK1/RPS6KA5 Primary Antibodies

Order Details


    • Catalog Number
      NBP2-67653
    • Availability
      Product Discontinued

    Can't find what you are looking for? Use our Antibody Concierge Service & we will help you locate your antibody!

    Or feel free to contact us for alternative products.

MSK1/RPS6KA5 [p Ser376] Antibody (SN63-05) Summary

Additional Information
Recombinant Monoclonal Antibody.
Immunogen
Synthetic phospho-peptide corresponding to residues surrounding Ser376 of Human MSK1/RPS6KA5 aa 351-400 / 802. (SwissProt: O75582 Human; Unigene:8940 Rat)
Modification
p Ser376
Localization
Nucleus, Cytoplasm.
Isotype
IgG
Clonality
Monoclonal
Host
Rabbit
Gene
RPS6KA5
Purity
Protein A purified
Innovator's Reward
Test in a species/application not listed above to receive a full credit towards a future purchase.

Applications/Dilutions

Dilutions
  • Immunocytochemistry/ Immunofluorescence 1:50-1:200
  • Immunohistochemistry
  • Immunohistochemistry-Paraffin 1:50-1:200
  • Immunoprecipitation
  • Western Blot 1:1000

Packaging, Storage & Formulations

Storage
Store at 4C short term. Aliquot and store at -20C long term. Avoid freeze-thaw cycles.
Buffer
TBS (pH7.4), 0.05% BSA, 40% Glycerol
Preservative
0.05% Sodium Azide
Concentration
1 mg/ml
Purity
Protein A purified

Alternate Names for MSK1/RPS6KA5 [p Ser376] Antibody (SN63-05)

  • EC 2.7.11
  • MGC1911,90 kDa ribosomal protein S6 kinase 5
  • MSK1
  • MSK1EC 2.7.11.1
  • MSPK1
  • Nuclear mitogen- and stress-activated protein kinase 1
  • ribosomal protein S6 kinase alpha-5
  • ribosomal protein S6 kinase, 90kD, polypeptide 5
  • ribosomal protein S6 kinase, 90kDa, polypeptide 5
  • RLPK
  • RPS6KA5
  • RSKL
  • RSK-like protein kinase
  • S6K-alpha-5

Background

MSK-1 is a mitogen and stress activated protein kinase-1 which belongs to the AGC family of kinases and is related in structure to the ribosomal p70 S6 kinase subfamily. MSK-1can be activated by ERK1/2 and SAPK2 /p38 MAP kinase. It is also known to be required for the phosphorylation of CREB, ATF1 H3 and HMG-14 in response to mitogen and stress (1-2). Similar to RSK, MSK-1 contains two kinase domains (N-term and a C-term) (3). Once phosphorylated on Thr581 and Ser360 by ERK1/2 and SAPK2/p38, MSK-1 autophosphorylate on at least 5 sites. Of these autophosphorylation sites Ser212 and Ser376 get phosphorylated by the C-terminal kinase domain of MSK-1 which is essential for the catalytic activity of the N-terminal kinase domain (4).

Limitations

This product is for research use only and is not approved for use in humans or in clinical diagnosis. Primary Antibodies are guaranteed for 1 year from date of receipt.

Customers Who Viewed This Item Also Viewed...

AF1230
Species: Hu, Mu, Rt
Applications: IHC, KO, WB
NBP2-22203
Species: Hu, Pm, Mu, Rt
Applications: ELISA, Flow, ICC/IF, IHC,  IHC-P, WB
MAB17761
Species: Hu, Mu, Rt
Applications: ICC, WB
AF8691
Species: Hu, Mu, Rt
Applications: IHC, KO, Simple Western, WB
AF467
Species: Hu, Mu
Applications: CyTOF-ready, Flow, ICC, IHC, Simple Western, WB
DYC2510-2
Species: Hu, Mu, Rt
Applications: ELISA
NBP1-68874
Species: Hu, Mu, Rt
Applications: PEP-ELISA, WB
H00010598-M01
Species: Hu, Mu, Rt
Applications: ELISA, ICC/IF, S-ELISA, WB
NBP2-37568
Species: Hu
Applications: ELISA, Flow, ICC/IF, IHC,  IHC-P, WB
NBP2-00764
Species: Hu, Mu, Rt
Applications: Flow, IHC,  IHC-P, WB
NBP1-81575
Species: Hu, Mu, Rt
Applications: ICC/IF, IHC,  IHC-P, WB
NB500-171
Species: Hu, I, Mu, Rt, Xp, Ye
Applications: ChIP, IB, ICC/IF, IHC,  IHC-P, Single-Cell Western, WB
AF189
Species: Hu, Mu
Applications: IHC, WB
MAB8930
Species: Hu
Applications: ICC, Simple Western, WB
NBP2-20237
Species: Hu, Mu, Rt
Applications: IHC,  IHC-P, WB
MAB79671
Species: Hu, Mu, Rt
Applications: ICC, Simple Western, WB
NBP2-67653
Species: Hu, Rt
Applications: WB, ICC/IF, IHC, IP

Publications for MSK1/RPS6KA5 Antibody (NBP2-67653) (0)

There are no publications for MSK1/RPS6KA5 Antibody (NBP2-67653).
By submitting your publication information earn gift cards and discounts for future purchases.

Reviews for MSK1/RPS6KA5 Antibody (NBP2-67653) (0)

There are no reviews for MSK1/RPS6KA5 Antibody (NBP2-67653). By submitting a review you will receive an Amazon e-Gift Card or Novus Product Discount.
  • Review with no image -- $10/€7/£6/$10 CAD/¥70 Yuan/¥1110 Yen
  • Review with an image -- $25/€18/£15/$25 CAD/¥150 Yuan/¥2500 Yen

Product General Protocols

Find general support by application which include: protocols, troubleshooting, illustrated assays, videos and webinars.

Video Protocols

WB Video Protocol
ICC/IF Video Protocol

FAQs for MSK1/RPS6KA5 Antibody (NBP2-67653) (0)

There are no specific FAQs related to this product. Read our general customer & technical service FAQs.

Secondary Antibodies

 

Isotype Controls

Additional MSK1/RPS6KA5 Products

Research Areas for MSK1/RPS6KA5 Antibody (NBP2-67653)

Find related products by research area.

Blogs on MSK1/RPS6KA5

There are no specific blogs for MSK1/RPS6KA5, but you can read our latest blog posts.

Contact Information

Product PDFs

Calculators

Concentration Calculator

The concentration calculator allows you to quickly calculate the volume, mass or concentration of your vial. Simply enter your mass, volume, or concentration values for your reagent and the calculator will determine the rest.

=
÷

Review this Product

Be the first to review our MSK1/RPS6KA5 [p Ser376] Antibody (SN63-05) and receive a gift card or discount.

Bioinformatics

Gene Symbol RPS6KA5