MRPL49 Antibody

Images

 
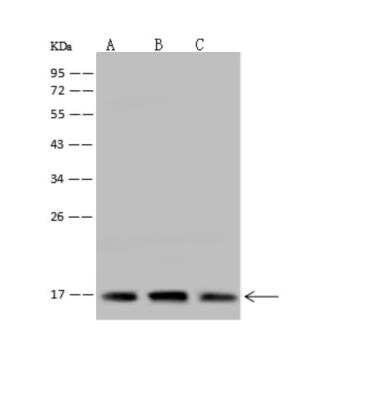
Western Blot: MRPL49 Antibody [NBP3-06296] - Anti-MRPL49 rabbit polyclonal antibody at 1:500 dilutionLane A: Jurkat Whole Cell LysateLane B: RT4 Whole Cell LysateLane C: U-251 MG Whole Cell LysateLysates/proteins at 30 ...read more
Immunoprecipitation: MRPL49 Antibody [NBP3-06296] - MRPL49 was immunoprecipitated using:Lane A:0.5 mg Jurkat Whole Cell Lysate4 uL anti-MRPL49 rabbit polyclonal antibody and 60 ug of Immunomagnetic beads Protein ...read more

Product Details

Summary
Product Discontinued
View other related MRPL49 Primary Antibodies

Order Details


    • Catalog Number
      NBP3-06296
    • Availability
      Product Discontinued

    Can't find what you are looking for? Use our Antibody Concierge Service & we will help you locate your antibody!

    Or feel free to contact us for alternative products.

MRPL49 Antibody Summary

Description
This antibody can be stored at 2C-8C for one month without detectable loss of activity. Antibody products are stable for twelve months from date of receipt when stored at -20C to -80C. Avoid repeated freeze-thaw cycles.
Immunogen
Produced in rabbits immunized with E. coli-derived Human MRPL49 fragment.
Isotype
IgG
Clonality
Polyclonal
Host
Rabbit
Gene
MRPL49
Purity
Antigen and protein A Affinity-purified
Innovator's Reward
Test in a species/application not listed above to receive a full credit towards a future purchase.

Applications/Dilutions

Dilutions
  • Immunoprecipitation 1-5ul/mg of lysate
  • Western Blot 1:500-1:2000

Packaging, Storage & Formulations

Storage
Store at 4C short term. Aliquot and store at -20C long term. Avoid freeze-thaw cycles.
Buffer
PBS, pH7.0
Preservative
0.03% Proclin 300
Purity
Antigen and protein A Affinity-purified

Alternate Names for MRPL49 Antibody

  • C11orf4
  • L49mt39S ribosomal protein L49, mitochondrial
  • mitochondrial ribosomal protein L49
  • MRP-L49
  • Neighbor of FAU
  • next to FAU
  • NOF1chromosome 11 open reading frame 4
  • NOFMGC10656
  • Protein NOF1

Background

MRPL49, or Mitochondrial Ribosomal Protein L49, consists of a 166 amino acid isoform that is 19 kDa, and is broadly associated with mitochondrial protein synthesis, though its specific function is still being researched. Current disease research is determining the relationship between MRPL49 and a variety of diseases and disorders, including glossopharyngeal neuralgia, osteoarthritis, ossifying fibroma, osteoporosis, and thoracic outlet syndrome. The protein has been linked to translation, and interacts with ICT1, OXA1L, SlC2A4, AARS2, and AASS.

Limitations

This product is for research use only and is not approved for use in humans or in clinical diagnosis. Primary Antibodies are guaranteed for 1 year from date of receipt.

Customers Who Viewed This Item Also Viewed...

AF932
Species: Hu
Applications: ICC, IHC, Simple Western, WB
MAB9036
Species: Hu
Applications: ICC, WB
NBP2-67416
Species: Hu, Mu, Rt
Applications: ICC/IF, IHC,  IHC-P, WB
MAB7616
Species: Hu
Applications: CyTOF-ready, Flow, WB
NBP2-29463
Species: Pm, Hu, Pm, Mu
Applications: Flow, ICC/IF, IHC,  IHC-P, WB
AF3880
Species: Hu
Applications: ICC, WB
NBP2-33498
Species: Hu
Applications: IHC,  IHC-P
M6000B
Species: Mu
Applications: ELISA
664-LI
Species: Hu
Applications: BA
NB200-106
Species: Mu, Rt
Applications: ELISA, ICC/IF, IHC, IHC-Fr,  IHC-P, WB
NBP1-87158
Species: Hu
Applications: IHC,  IHC-P, Simple Western, WB
NBP2-13398
Species: Hu
Applications: IHC,  IHC-P, WB
7268-CT
Species: Hu
Applications: BA
NBP1-89910
Species: Hu, Ze
Applications: ICC/IF, IHC,  IHC-P
NBP3-38499
Species: Hu, Mu, Rt
Applications: ELISA, ICC/IF, WB
H00005018-D01P
Species: Hu
Applications: ICC/IF, WB
NBP1-87847
Species: Hu
Applications: ICC/IF, IHC,  IHC-P, WB
H00002038-M01
Species: Hu
Applications: ELISA, ICC/IF, WB

Publications for MRPL49 Antibody (NBP3-06296) (0)

There are no publications for MRPL49 Antibody (NBP3-06296).
By submitting your publication information earn gift cards and discounts for future purchases.

Reviews for MRPL49 Antibody (NBP3-06296) (0)

There are no reviews for MRPL49 Antibody (NBP3-06296). By submitting a review you will receive an Amazon e-Gift Card or Novus Product Discount.
  • Review with no image -- $10/€7/£6/$10 CAD/¥70 Yuan/¥1110 Yen
  • Review with an image -- $25/€18/£15/$25 CAD/¥150 Yuan/¥2500 Yen

Product General Protocols

Find general support by application which include: protocols, troubleshooting, illustrated assays, videos and webinars.

Video Protocols

WB Video Protocol

FAQs for MRPL49 Antibody (NBP3-06296) (0)

There are no specific FAQs related to this product. Read our general customer & technical service FAQs.

Secondary Antibodies

 

Isotype Controls

Additional MRPL49 Products

Research Areas for MRPL49 Antibody (NBP3-06296)

Find related products by research area.

Blogs on MRPL49

There are no specific blogs for MRPL49, but you can read our latest blog posts.

Contact Information

Product PDFs

Calculators

Concentration Calculator

The concentration calculator allows you to quickly calculate the volume, mass or concentration of your vial. Simply enter your mass, volume, or concentration values for your reagent and the calculator will determine the rest.

=
÷

Review this Product

Be the first to review our MRPL49 Antibody and receive a gift card or discount.

Bioinformatics

Gene Symbol MRPL49