MLC1SA Antibody - BSA Free

Images

 
Western Blot: MLC1SA Antibody [NBP1-92124] - Analysis in control (vector only transfected HEK293T lysate) and MYL6B over-expression lysate (Co-expressed with a C-terminal myc-DDK tag (3.1 kDa) in mammalian HEK293T ...read more
Orthogonal Strategies: Immunohistochemistry-Paraffin: MLC1SA Antibody [NBP1-92124] - Staining in human skeletal muscle and duodenum tissues using anti-MYL6B antibody. Corresponding MYL6B RNA-seq data are ...read more
Immunohistochemistry-Paraffin: MLC1SA Antibody [NBP1-92124] - Staining of human stomach shows strong cytoplasmic positivity in parietal cells.
Immunohistochemistry-Paraffin: MLC1SA Antibody [NBP1-92124] - Staining of human duodenum shows low expression as expected.
Immunohistochemistry-Paraffin: MLC1SA Antibody [NBP1-92124] - Staining of human skeletal muscle shows high expression.
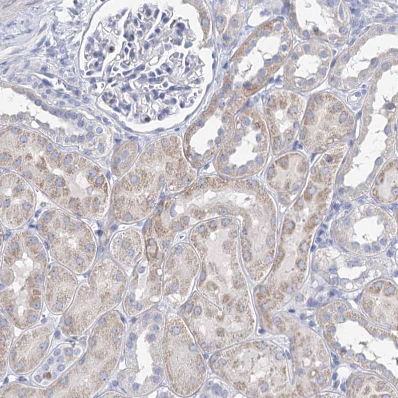
Staining of human kidney shows moderate cytoplasmic positivity in cells in tubules.
Orthogonal Strategies: Analysis in human skeletal muscle and liver tissues using NBP1-92124 antibody. Corresponding MYL6B RNA-seq data are presented for the same tissues.
Analysis in human cell line SH-SY5Y.
Staining of human skeletal muscle shows strong cytoplasmic positivity in myocytes.
Staining of human liver shows no positivity in hepatocytes as expected.
Staining of human cell line A-431 shows localization to vesicles.
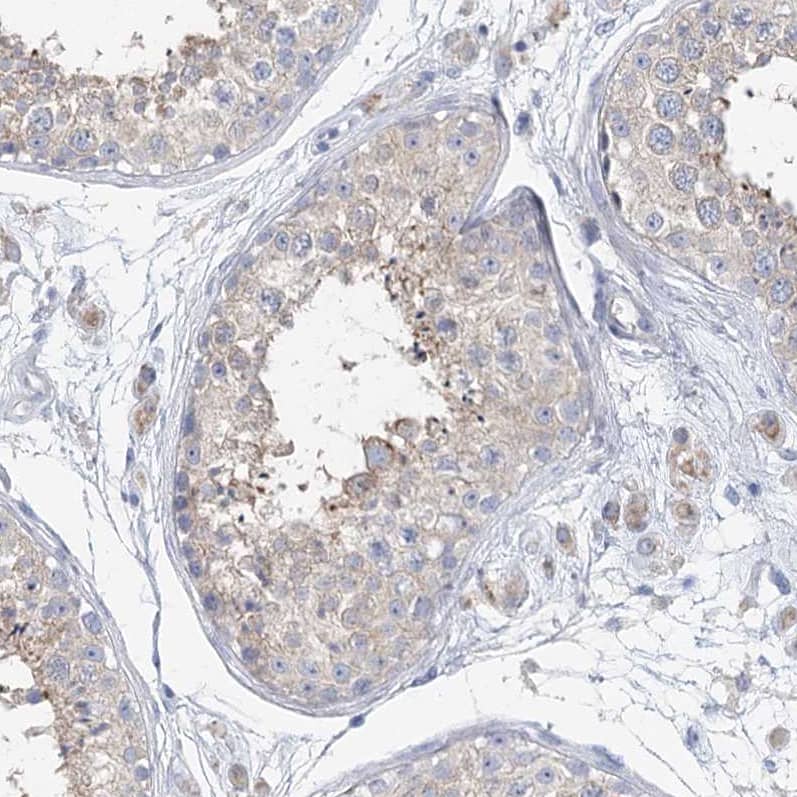
Staining of human testis shows weak cytoplasmic positivity in cells in seminiferous ducts.

Product Details

Summary
Reactivity HuSpecies Glossary
Applications WB, ICC/IF, IHC
Clonality
Polyclonal
Host
Rabbit
Conjugate
Unconjugated
Format
BSA Free
Validated by:
       

Orthogonal Strategies

 

Order Details

MLC1SA Antibody - BSA Free Summary

Description
Novus Biologicals Rabbit MLC1SA Antibody - BSA Free (NBP1-92124) is a polyclonal antibody validated for use in IHC, WB and ICC/IF. All Novus Biologicals antibodies are covered by our 100% guarantee.
Immunogen
This antibody was developed against Recombinant Protein corresponding to amino acids: APPAKTKAEPAVPQAPQKTQEPPVDLSKVVIEFNKDQLEEFKE
Isotype
IgG
Clonality
Polyclonal
Host
Rabbit
Gene
MYL6B
Purity
Immunogen affinity purified
Innovator's Reward
Test in a species/application not listed above to receive a full credit towards a future purchase.

Applications/Dilutions

Dilutions
  • Immunocytochemistry/ Immunofluorescence 0.25-2 ug/ml
  • Immunohistochemistry 1:20 - 1:50
  • Immunohistochemistry-Paraffin 1:20-1:50
  • Western Blot 0.04-0.4 ug/ml
Application Notes
For IHC-Paraffin, HIER pH 6 retrieval is recommended. Immunocytochemistry/Immunofluorescence Fixation Permeabilization: Use PFA/Triton X-100.
Control Peptide
MLC1SA Protein (NBP1-92124PEP)

Reactivity Notes

Immunogen displays the following percentage of sequence identity for non-tested species: Mouse (84%), Rat (86%)

Packaging, Storage & Formulations

Storage
Store at 4C short term. Aliquot and store at -20C long term. Avoid freeze-thaw cycles.
Buffer
PBS (pH 7.2) and 40% Glycerol
Preservative
0.02% Sodium Azide
Purity
Immunogen affinity purified

Alternate Names for MLC1SA Antibody - BSA Free

  • MLC1sa
  • MLC1SAmyosin light chain 1, slow-twitch muscle A isoform
  • myosin alkali light chain 1 slow a
  • myosin light chain 1 slow a
  • Myosin light chain 1 slow-twitch muscle A isoform
  • myosin light chain 6B
  • myosin, light chain 6B, alkali, smooth muscle and non-muscle
  • myosin, light polypeptide 6B, alkali, smooth muscle and non-muscle
  • smooth muscle and non-muscle myosin alkali light chain 6B
  • Smooth muscle and nonmuscle myosin light chain alkali 6B

Background

Myosin is a hexameric ATPase cellular motor protein. It is composed of two heavy chains, two nonphosphorylatable alkali light chains, and two phosphorylatable regulatory light chains. This gene encodes a myosin alkali light chain expressed in both slow-twitch skeletal muscle and in nonmuscle tissue. [provided by RefSeq]

Limitations

This product is for research use only and is not approved for use in humans or in clinical diagnosis. Primary Antibodies are guaranteed for 1 year from date of receipt.

Customers Who Viewed This Item Also Viewed...

H00008826-M01
Species: Hu
Applications: ELISA, ICC/IF, IHC,  IHC-P, KD, S-ELISA, WB
NBP1-81555
Species: Hu
Applications: IHC,  IHC-P, WB
NBP2-16433
Species: Hu, Mu, Rt
Applications: ICC/IF, WB
NBP1-88068
Species: Hu
Applications: IHC,  IHC-P
NBP1-54376
Species: Hu
Applications: IHC,  IHC-P, WB
NBP2-30954
Species: Hu
Applications: ICC/IF, IHC,  IHC-P, Simple Western, WB
NBP1-87102
Species: Hu, Mu, Rt
Applications: ICC/IF, IHC,  IHC-P, WB
NBP2-45519
Species: Hu, Mu, Rt
Applications: IHC,  IHC-P, WB
NBP2-54719
Species: Hu, Mu, Rt
Applications: ICC/IF, IHC,  IHC-P, WB
NBP2-37885
Species: Hu
Applications: ICC/IF, IHC,  IHC-P
NBP2-14871
Species: Mu, Rt
Applications: ICC/IF, WB
NB120-2860
Species: Ba, Bv, Ch, Hu, Mu, Rt
Applications: ELISA, Flow, ICC/IF, IHC,  IHC-P, WB
H00128239-M01
Species: Hu
Applications: ELISA, ICC/IF, IP, WB
NBP2-15669
Species: Mu, Rt, Ze
Applications: IHC-WhMt, IHC, WB
NBP1-30249
Species: Hu, Mu, Xp
Applications: ELISA, Flow, ICC/IF, IHC, WB
NBP1-84437
Species: Hu
Applications: ICC/IF, IHC,  IHC-P
NBP1-92124
Species: Hu
Applications: WB, ICC/IF, IHC

Publications for MLC1SA Antibody (NBP1-92124) (0)

There are no publications for MLC1SA Antibody (NBP1-92124).
By submitting your publication information earn gift cards and discounts for future purchases.

Reviews for MLC1SA Antibody (NBP1-92124) (0)

There are no reviews for MLC1SA Antibody (NBP1-92124). By submitting a review you will receive an Amazon e-Gift Card or Novus Product Discount.
  • Review with no image -- $10/€7/£6/$10 CAD/¥70 Yuan/¥1110 Yen
  • Review with an image -- $25/€18/£15/$25 CAD/¥150 Yuan/¥2500 Yen

Product General Protocols

Find general support by application which include: protocols, troubleshooting, illustrated assays, videos and webinars.

Video Protocols

WB Video Protocol
ICC/IF Video Protocol

FAQs for MLC1SA Antibody (NBP1-92124) (0)

There are no specific FAQs related to this product. Read our general customer & technical service FAQs.

Secondary Antibodies

 

Isotype Controls

Additional MLC1SA Products

Research Areas for MLC1SA Antibody (NBP1-92124)

Find related products by research area.

Blogs on MLC1SA

There are no specific blogs for MLC1SA, but you can read our latest blog posts.

Customers Who Bought This Also Bought

Contact Information

Product PDFs

Calculators

Concentration Calculator

The concentration calculator allows you to quickly calculate the volume, mass or concentration of your vial. Simply enter your mass, volume, or concentration values for your reagent and the calculator will determine the rest.

=
÷

Review this Product

Be the first to review our MLC1SA Antibody - BSA Free and receive a gift card or discount.

Bioinformatics

Gene Symbol MYL6B