MEPCE Antibody

Images

 
Western Blot: MEPCE Antibody [NB100-93420] - HEK293 overexpressing MEPCE and probed with (mock transfection in first lane).
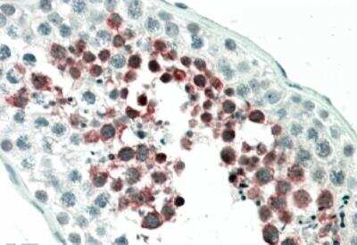
Immunohistochemistry-Paraffin: MEPCE Antibody [NB100-93420] - Analysis in human Testis shows staining of the spermatids.
Western Blot: MEPCE Antibody [NB100-93420] - (1ug/ml) staining of Rat Testis lysate (35ug protein in RIPA buffer). Primary incubation was 1 hour. Detected by chemiluminescence.

Product Details

Summary
Reactivity Hu, Rt, MuSpecies Glossary
Applications WB, ELISA, IHC
Clonality
Polyclonal
Host
Goat
Conjugate
Unconjugated
Concentration
0.5 mg/ml

Order Details

MEPCE Antibody Summary

Description
Novus Biologicals Goat MEPCE Antibody (NB100-93420) is a polyclonal antibody validated for use in IHC, WB and ELISA. Anti-MEPCE Antibody: Cited in 1 publication. All Novus Biologicals antibodies are covered by our 100% guarantee.
Immunogen
Peptide with sequence KQQRKFQYGNYCK corresponding to internal region according to NP_062552.2.
Epitope
KQQRKFQYGNYCK
Specificity
Western blot: Preliminary testing was unsuccessful on Human for this particular batch.
Predicted Species
Mouse (100%). Backed by our 100% Guarantee.
Isotype
IgG
Clonality
Polyclonal
Host
Goat
Gene
MEPCE
Purity
Immunogen affinity purified
Innovator's Reward
Test in a species/application not listed above to receive a full credit towards a future purchase.

Applications/Dilutions

Dilutions
  • Immunohistochemistry 5 - 10 ug/ml
  • Immunohistochemistry-Paraffin 5 - 10 ug/ml
  • Peptide ELISA Detection limit 1:2000
  • Western Blot 1 - 3 ug/ml
Application Notes
WB: Approx. 75 kDa band observed in rat testis lysates (calculated MW of 74.4 kDa band according to human NP_062552.2 and 75.3 kDa band according to rat XP_222048.4). In transfected HEK293 transiently expressing human MEPCE a band of approx. 75 kDa is observed. This band is not observed in the non-transfected HEK293. IHC-P: Human testis shows staining of the spermatids.
Control
MEPCE Overexpression Lysate
Publications
Read Publication using NB100-93420.

Packaging, Storage & Formulations

Storage
Store at -20C. Avoid freeze-thaw cycles.
Buffer
Tris saline (20 mM Tris pH 7.3, 150 mM NaCl), 0.5% BSA
Preservative
0.02% Sodium Azide
Concentration
0.5 mg/ml
Purity
Immunogen affinity purified

Alternate Names for MEPCE Antibody

  • BCDIN37SK snRNA methylphosphate capping enzyme
  • bicoid-interacting 3, homolog
  • Bin3 homolog
  • bin3, bicoid-interacting 3, homolog (Drosophila)
  • EC 2.1.1.-
  • FLJ20257
  • methylphosphate capping enzyme

Background

MEPCE belongs to the methyltransferase superfamily and contains one BIN3 domain. It is an S-adenosyl-L-methionine-dependent methyltransferase that adds a methylphosphate cap at the 5'-end of 7SK snRNA, leading to stabilize it. MEPCE is expressed in chronic myeloid leukemia cells, adrenal gland, brain, cerebellum, kidney, lung, mammary gland and testis. It is weakly or not expressed in other tissues.

Limitations

This product is for research use only and is not approved for use in humans or in clinical diagnosis. Primary Antibodies are guaranteed for 1 year from date of receipt.

Customers Who Viewed This Item Also Viewed...

NBP1-85084
Species: Hu
Applications: ICC/IF, IHC,  IHC-P, WB
NBP1-71867
Species: Hu, Mu
Applications: IHC,  IHC-P, IP, WB
NBP2-03389
Species: Ca, Hu, Pm, Mu, Pm, Rt
Applications: Flow, ICC/IF, IHC,  IHC-P, WB
NBP2-20324
Species: Hu, Mu, Rt
Applications: ICC/IF, IHC,  IHC-P, WB
NBP1-93877
Species: Hu
Applications: ICC/IF, IHC,  IHC-P
NBP2-20380
Species: Hu, Mu
Applications: IHC,  IHC-P, WB
NBP1-48002
Species: Ca, Hu, Pm, Pm
Applications: ICC/IF, IHC,  IHC-P, IP, WB
NBP3-38288
Species: Hu, Mu, Rt
Applications: ELISA, ICC/IF, WB
NBP1-89102
Species: Hu
Applications: ICC/IF, IHC,  IHC-P, WB
NBP1-86033
Species: Hu
Applications: ICC/IF, IHC,  IHC-P, WB
NB600-302
Species: Bv, Dr, Hu, Mu
Applications: ChIP, ELISA, Flow-IC, Flow, IB, ICC/IF, IHC, IHC-Fr,  IHC-P, IP, PLA, S-ELISA, Simple Western, WB
NBP2-48860
Species: Hu, Mu
Applications: IHC,  IHC-P, WB
NBP2-19952
Species: Hu
Applications: ICC/IF, KD, WB
NBP2-36751
Species: Hu, Rt
Applications: ICC/IF, IHC,  IHC-P, IP, KD, WB
NBP2-67187
Species: Hu, Mu, Rt, Ze
Applications: ICC/IF, IHC,  IHC-P, IP, WB
AF5414
Species: Hu
Applications: Simple Western, WB
NBP1-76998
Species: Hu, Mu
Applications: ELISA, ICC/IF, IHC,  IHC-P, WB
NB120-6125
Species: Bv, Ca, Dr(-), Hu, Mu(-), Pm, Xp
Applications: CyTOF-ready, ELISA, Flow, ICC/IF, IP, MiAr, WB

Publications for MEPCE Antibody (NB100-93420)(1)

Reviews for MEPCE Antibody (NB100-93420) (0)

There are no reviews for MEPCE Antibody (NB100-93420). By submitting a review you will receive an Amazon e-Gift Card or Novus Product Discount.
  • Review with no image -- $10/€7/£6/$10 CAD/¥70 Yuan/¥1110 Yen
  • Review with an image -- $25/€18/£15/$25 CAD/¥150 Yuan/¥2500 Yen

Product General Protocols

Find general support by application which include: protocols, troubleshooting, illustrated assays, videos and webinars.

Video Protocols

WB Video Protocol

FAQs for MEPCE Antibody (NB100-93420) (0)

There are no specific FAQs related to this product. Read our general customer & technical service FAQs.

Customers Who Bought This Also Bought

Contact Information

Product PDFs

Calculators

Concentration Calculator

The concentration calculator allows you to quickly calculate the volume, mass or concentration of your vial. Simply enter your mass, volume, or concentration values for your reagent and the calculator will determine the rest.

=
÷

Review this Product

Be the first to review our MEPCE Antibody and receive a gift card or discount.

Bioinformatics

Gene Symbol MEPCE
Entrez
Uniprot