MDM2/HDM2 Antibody (rMDM2/9214) - Azide and BSA Free

Images

 
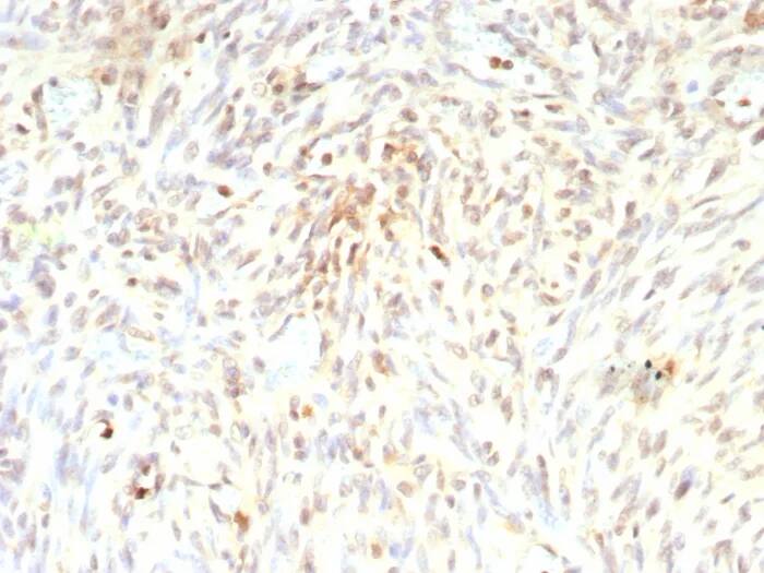
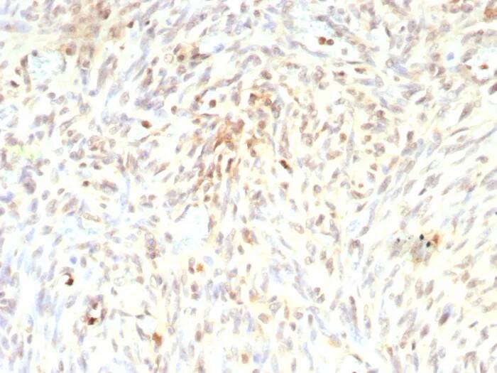
Immunohistochemistry-Paraffin: MDM2/HDM2 Antibody (rMDM2/9214) - Azide and BSA Free [NBP3-24198] - Formalin-fixed, paraffin-embedded human liposarcoma stained with MDM2/HDM2 Antibody (rMDM2/9214). HIER: Tris/EDTA, ...read more

Product Details

Summary
Reactivity HuSpecies Glossary
Applications IHC
Clone
rMDM2/9214
Clonality
Monoclonal
Host
Mouse
Conjugate
Unconjugated
Format
Azide and BSA Free
Concentration
1 mg/ml

Order Details

MDM2/HDM2 Antibody (rMDM2/9214) - Azide and BSA Free Summary

Description
Antibody without azide - store at -20 to -80C.
Additional Information
Recombinant Monoclonal Antibody
Immunogen
Recombinant human MDM2/HDM2 protein fragment (exact sequence is proprietary)
Localization
Nucleus.
Isotype
IgG2b Kappa
Clonality
Monoclonal
Host
Mouse
Gene
MDM2
Purity
Protein A or G purified
Innovator's Reward
Test in a species/application not listed above to receive a full credit towards a future purchase.

Applications/Dilutions

Dilutions
  • Immunohistochemistry-Paraffin 1-2ug/ml
Application Notes
Immunohistochemistry-Paraffin: 1-2ug/ml for 30 minutes at RT. Staining of formalin-fixed tissues requires heating tissue sections in 10mM Tris with 1mM EDTA, pH 9.0, for 45 min at 95C followed by cooling at RT for 20 minutes. Optimal dilution for a specific application should be determined.

Packaging, Storage & Formulations

Storage
Store at -20 to -80C. Avoid freeze-thaw cycles.
Buffer
10mM PBS
Preservative
No Preservative
Concentration
1 mg/ml
Purity
Protein A or G purified

Alternate Names for MDM2/HDM2 Antibody (rMDM2/9214) - Azide and BSA Free

  • ACTFS
  • HDM2
  • HDMX
  • MDM2 oncogene, E3 ubiquitin protein ligase
  • MDM2

Background

MDM2 is a target gene of the transcription factor tumor protein p53. The encoded protein is a nuclear phosphoprotein that binds and inhibits transactivation by tumor protein p53, as part of an autoregulatory negative feedback loop. Overexpression of this gene can result in excessive inactivation of tumor protein p53, diminishing its tumor suppressor function. This protein has E3 ubiquitin ligase activity, which targets tumor protein p53 for proteasomal degradation. This protein also affects the cell cycle, apoptosis, and tumorigenesis through interactions with other proteins, including retinoblastoma 1 and ribosomal protein L5. More than 40 different alternatively spliced transcript variants have been isolated from both tumor and normal tissues.

Limitations

This product is for research use only and is not approved for use in humans or in clinical diagnosis. Primary Antibodies are guaranteed for 1 year from date of receipt.

Customers Who Viewed This Item Also Viewed...

NB200-103
Species: Hu, Mu, Rt, Xp(-), Ye
Applications: CyTOF-ready, ELISA, Flow-IC, Flow, ICC/IF, IHC, IHC-Fr,  IHC-P, IP, WB
NBP2-29463
Species: Pm, Hu, Pm, Mu
Applications: Flow, ICC/IF, IHC,  IHC-P, WB
NB200-106
Species: Mu, Rt
Applications: ELISA, ICC/IF, IHC, IHC-Fr,  IHC-P, WB
NBP2-46085
Species: Hu
Applications: IHC,  IHC-P, WB
H00027065-M01
Species: Hu, Rt
Applications: ELISA, ICC/IF, S-ELISA, WB
AF6897
Species: Hu, Mu
Applications: IHC, Simple Western, WB
NBP1-31308
Species: Bv, Hu, Mu, Rt
Applications: ICC/IF, IHC,  IHC-P, Simple Western, WB
NB100-556
Species: Hu
Applications: IP, WB
NB100-56098
Species: Ca, Hu, Mu, Rt
Applications: IHC,  IHC-P, IP, WB
AF820
Species: Hu, Mu
Applications: ICC, IHC, KO, Simple Western, WB
MAB6495
Species: Hu
Applications: ICC, Simple Western, WB
AF887
Species: Hu, Mu, Rt
Applications: CyTOF-ready, IHC, ICFlow, Simple Western, WB
AF231
Species: Hu
Applications: CyTOF-ready, Dual ISH-IHC, ELISA(Cap), ELISA(Det), ELISA(Sta), Flow, ICC, IHC, IP, Simple Western, WB
NB600-302
Species: Bv, Dr, Hu, Mu
Applications: ChIP, ELISA, Flow-IC, Flow, IB, ICC/IF, IHC, IHC-Fr,  IHC-P, IP, PLA, S-ELISA, Simple Western, WB
NBP2-68858
Species: Hu
Applications: IHC,  IHC-P
NBP2-67899
Species: Hu, Mu, Rt
Applications: Flow, ICC/IF, IHC,  IHC-P, IP, WB
NBP2-32840
Species: Hu, Pm, Mu, Rt
Applications: Flow, ICC/IF, IHC,  IHC-P, WB
NBP1-89150
Species: Hu
Applications: IHC,  IHC-P, WB

Publications for MDM2/HDM2 Antibody (NBP3-24198) (0)

There are no publications for MDM2/HDM2 Antibody (NBP3-24198).
By submitting your publication information earn gift cards and discounts for future purchases.

Reviews for MDM2/HDM2 Antibody (NBP3-24198) (0)

There are no reviews for MDM2/HDM2 Antibody (NBP3-24198). By submitting a review you will receive an Amazon e-Gift Card or Novus Product Discount.
  • Review with no image -- $10/€7/£6/$10 CAD/¥70 Yuan/¥1110 Yen
  • Review with an image -- $25/€18/£15/$25 CAD/¥150 Yuan/¥2500 Yen

Product General Protocols

Find general support by application which include: protocols, troubleshooting, illustrated assays, videos and webinars.

FAQs for MDM2/HDM2 Antibody (NBP3-24198) (0)

There are no specific FAQs related to this product. Read our general customer & technical service FAQs.

Customers Who Bought This Also Bought

Contact Information

Product PDFs

Calculators

Concentration Calculator

The concentration calculator allows you to quickly calculate the volume, mass or concentration of your vial. Simply enter your mass, volume, or concentration values for your reagent and the calculator will determine the rest.

=
÷

Review this Product

Be the first to review our MDM2/HDM2 Antibody (rMDM2/9214) - Azide and BSA Free and receive a gift card or discount.

Bioinformatics

Gene Symbol MDM2