LPPR3 Antibody

Images

 
Immunocytochemistry/ Immunofluorescence: LPPR3 Antibody [NBP2-34157] - Immunofluorescent staining of human cell line HEK 293 shows localization to nucleoplasm, cytosol & the Golgi apparatus.
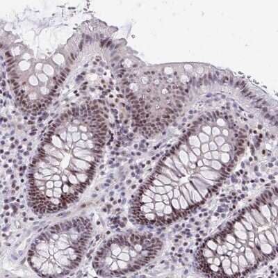
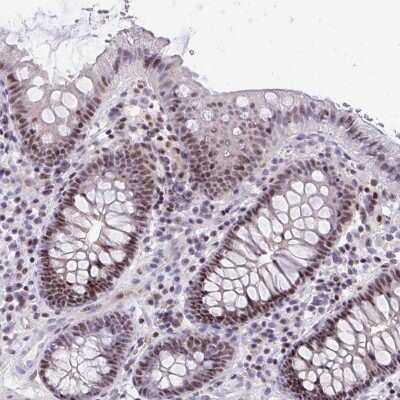
Immunohistochemistry-Paraffin: LPPR3 Antibody [NBP2-34157] - Staining of human colon shows moderate nuclear positivity in glandular cells.

Product Details

Summary
Product Discontinued
View other related LPPR3 Primary Antibodies

Order Details


    • Catalog Number
      NBP2-34157
    • Availability
      Product Discontinued

    Can't find what you are looking for? Use our Antibody Concierge Service & we will help you locate your antibody!

    Or feel free to contact us for alternative products.

LPPR3 Antibody Summary

Immunogen
This antibody was developed against a recombinant protein corresponding to amino acids: VGNFQAPPAEKPAAPAPAKDALRALTQRGHDSVYQQNKSVSTDEL
Isotype
IgG
Clonality
Polyclonal
Host
Rabbit
Gene
PLPPR3
Purity
Immunogen affinity purified
Innovator's Reward
Test in a species/application not listed above to receive a full credit towards a future purchase.

Applications/Dilutions

Dilutions
  • Immunocytochemistry/ Immunofluorescence 0.25-2 ug/ml
  • Immunohistochemistry 1:20 - 1:50
  • Immunohistochemistry-Paraffin 1:20 - 1:50
Application Notes
For IHC-Paraffin, HIER pH 6 retrieval is recommended. Immunocytochemistry/Immunofluorescence Fixation Permeabilization: Use PFA/Triton X-100.

Reactivity Notes

Immunogen displays the following percentage of sequence identity for non-tested species: Mouse (89%), Rat (87%)

Packaging, Storage & Formulations

Storage
Store at 4C short term. Aliquot and store at -20C long term. Avoid freeze-thaw cycles.
Buffer
PBS (pH 7.2) and 40% Glycerol
Preservative
0.02% Sodium Azide
Purity
Immunogen affinity purified

Alternate Names for LPPR3 Antibody

  • EC 3.1.3
  • EC 3.1.3.4
  • Lipid Phosphate Phosphatase-Related Protein Type 3
  • LPR3
  • PAP-2-Like Protein 2
  • PHP2
  • Plasticity-Related Gene 2 Protein
  • PRG2
  • PRG-2

Limitations

This product is for research use only and is not approved for use in humans or in clinical diagnosis. Primary Antibodies are guaranteed for 1 year from date of receipt.

Customers Who Viewed This Item Also Viewed...

AF2307
Species: Hu
Applications: ELISA(Cap), ELISA(Det), ELISA(Sta), WB
NB600-717
Species: Bv
Applications: ELISA, ICC/IF, IHC, IHC-Fr,  IHC-P, RIA, RI, WB
NBP2-37398
Species: Hu
Applications: CyTOF-ready, ELISA, Flow, IHC,  IHC-P, WB
AF6548
Species: Hu, Mu
Applications: IHC
NBP2-38047
Species: Hu
Applications: IHC,  IHC-P
NBP1-87892
Species: Hu, Rt
Applications: IHC,  IHC-P, WB
NBP1-91872
Species: Hu
Applications: IHC,  IHC-P
NBP2-81890
Species: Hu, Mu, Rt
Applications: ELISA, ICC/IF, WB
NB100-524
Species: Hu, Mu
Applications: Flow-IC, Flow, ICC/IF, IHC, IHC-Fr,  IHC-P, IP, WB
NBP3-07388
Species: Hu
Applications: Flow, ICC/IF, IHC,  IHC-P
NBP3-13389
Species: Hu
Applications: IHC,  IHC-P, WB
NBP1-30027
Species: Hu, Mu, Rt
Applications: ICC/IF, IHC,  IHC-P, WB
NBP2-33778
Species: Hu
Applications: IHC,  IHC-P, WB
AF2487
Species: Hu
Applications: IP, WB
DY4517-05
Species: Mu
Applications: ELISA
NBP2-45731
Species: Ca, Hu, Pm
Applications: IHC,  IHC-P, WB
NBP3-15951
Species: Hu, Mu, Rt
Applications: IHC,  IHC-P, WB
NBP2-02450
Species: Hu
Applications: ICC/IF, IHC,  IHC-P, WB
H00151056-B01P
Species: Hu, Mu
Applications: WB
NBP2-34157
Species: Hu
Applications: ICC/IF, IHC

Publications for LPPR3 Antibody (NBP2-34157) (0)

There are no publications for LPPR3 Antibody (NBP2-34157).
By submitting your publication information earn gift cards and discounts for future purchases.

Reviews for LPPR3 Antibody (NBP2-34157) (0)

There are no reviews for LPPR3 Antibody (NBP2-34157). By submitting a review you will receive an Amazon e-Gift Card or Novus Product Discount.
  • Review with no image -- $10/€7/£6/$10 CAD/¥70 Yuan/¥1110 Yen
  • Review with an image -- $25/€18/£15/$25 CAD/¥150 Yuan/¥2500 Yen

Product General Protocols

Find general support by application which include: protocols, troubleshooting, illustrated assays, videos and webinars.

Video Protocols

ICC/IF Video Protocol

FAQs for LPPR3 Antibody (NBP2-34157) (0)

There are no specific FAQs related to this product. Read our general customer & technical service FAQs.

Contact Information

Product PDFs

Calculators

Concentration Calculator

The concentration calculator allows you to quickly calculate the volume, mass or concentration of your vial. Simply enter your mass, volume, or concentration values for your reagent and the calculator will determine the rest.

=
÷

Review this Product

Be the first to review our LPPR3 Antibody and receive a gift card or discount.

Bioinformatics

Gene Symbol PLPPR3
Uniprot