Lamin B1 Antibody (CL3929) - Azide and BSA Free

Images

 
Staining of A-431 cells using the Anti-Lamin B1 monoclonal antibody) .
Staining of human cerebellum shows strong nuclear membrane positivity in cells in granular layer.
Staining of HeLa cells using the Anti-Lamin B1 monoclonal antibody) .
Orthogonal Strategies: Analysis in human tonsil and prostate tissues using NBP3-44038 antibody. Corresponding Lamin B1 RNA-seq data are presented for the same tissues.
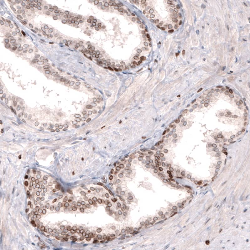
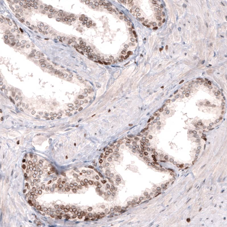
Staining of human prostate shows moderate nuclear membrane positivity in glandular cells.
Staining of human tonsil shows strong nuclear membrane positivity in lymphoid cells.
Analysis in human cell line MCF-7.
Staining of U-2 OS cells using the Anti-Lamin B1 monoclonal antibody) .
Staining of U-251 cells using the Anti-Lamin B1 monoclonal antibody) .
Staining of MCF7 cells using the Anti-Lamin B1 monoclonal antibody) .
Staining of human small intestine shows strong nuclear membrane positivity in glandular cells.

Product Details

Summary
Reactivity HuSpecies Glossary
Applications WB, ICC/IF, IHC
Clone
CL3929
Clonality
Monoclonal
Host
Mouse
Conjugate
Unconjugated
Format
Azide and BSA Free
Concentration
LYOPH
Validated by:
       

Orthogonal Strategies

 

Order Details

Lamin B1 Antibody (CL3929) - Azide and BSA Free Summary

Description
Novus Biologicals Mouse Lamin B1 Antibody (CL3929) - Azide and BSA Free (NBP2-59783) is a monoclonal antibody validated for use in IHC, WB and ICC/IF. All Novus Biologicals antibodies are covered by our 100% guarantee.
Immunogen
This antibody was generated using a synthetic peptide of P20700, with the exact immunogen sequence remaining proprietary.
Isotype
IgG1
Clonality
Monoclonal
Host
Mouse
Gene
LMNB1
Purity
Protein A purified
Innovator's Reward
Test in a species/application not listed above to receive a full credit towards a future purchase.

Applications/Dilutions

Dilutions
  • Immunocytochemistry/ Immunofluorescence 2-10 ug/ml
  • Immunohistochemistry-Paraffin 1:500 - 1:1000
  • Western Blot 1 ug/ml
Application Notes
For IHC-Paraffin, HIER pH 6 retrieval is recommended. Immunocytochemistry/ Immunofluorescence/IF Fixation Permeabilization: Use PFA/Triton X-100.

Packaging, Storage & Formulations

Storage
Store at 4C short term. Aliquot and store at -20C long term. Avoid freeze-thaw cycles.
Buffer
Lyophilized from a 0.2 um filtered solution in PBS with Trehalose
Preservative
No Preservative
Concentration
LYOPH
Purity
Protein A purified
Reconstitution Instructions
Centrifuge the vial of lyophilized antibody at 12,000 x g for 20 seconds. Reconstitute by adding sterile, distilled water to achieve a final antibody concentration of 1mg/ml.

Alternate Names for Lamin B1 Antibody (CL3929) - Azide and BSA Free

  • ADLD
  • Lamin B1
  • lamin-B1
  • LMN
  • LMN2
  • LMNB
  • LMNB1
  • MGC111419

Background

Nuclear lamins form a network of intermediate-type filaments at the nucleoplasmic site of the nuclear membrane.Two main subtypes of nuclear lamins can be distinguished, i.e. A-type lamins and B-type lamins. The A-type lamins comprise a set of three proteins arising from the same gene by alternative splicing, i.e. lamin A, lamin C and lamin Adel 10, while the B-type lamins include two proteins arising from two distinct genes, i.e. lamin B1 and lamin B2.

Limitations

This product is for research use only and is not approved for use in humans or in clinical diagnosis. Primary Antibodies are guaranteed for 1 year from date of receipt.

Customers Who Viewed This Item Also Viewed...

NBP3-16527
Species: Hu, Mu, Rt
Applications: ICC/IF, IHC,  IHC-P, WB
NB100-74451
Species: Bv, Hu, Mu, Po, Rt
Applications: ICC/IF, IHC, IHC-Fr, WB
NBP2-24915
Species: Bv, Hu, Mu, Rt
Applications: IHC,  IHC-P, WB
AF1436
Species: Mu
Applications: WB
NBP2-27335
Species: Hu, Mu, Rt(-)
Applications: CyTOF-ready, Flow, ICC/IF, WB
NBP1-88927
Species: Hu, Mu
Applications: ICC/IF, IHC,  IHC-P, WB
NBP2-54591
Species: Hu
Applications: CyTOF-ready, Flow, ICC/IF, IHC,  IHC-P, PA
H00003930-B01P
Species: Hu, Mu
Applications: ICC/IF, IHC,  IHC-P, WB
H00728695-B01P
Species: Hu
Applications: ICC/IF, IP, WB
NBP2-38449
Species: Hu
Applications: ICC/IF, IHC,  IHC-P
NBP1-87822
Species: Hu, Mu, Rt
Applications: ICC/IF, IHC,  IHC-P, KD, WB
NB300-223
Species: Bv, Ca, Ch, Eq, Hu, Mu, Po, Rt
Applications: ICC/IF, IHC, IHC-Fr,  IHC-P, WB
NBP1-87692
Species: Ha, Hu, Mu, Rt
Applications: ICC/IF, IHC,  IHC-P, KD, WB
NBP1-85729
Species: Hu, Mu, Rt
Applications: ICC/IF, IHC,  IHC-P, WB
NBP2-62573
Species: Hu
Applications: ICC/IF, IHC,  IHC-P, KD, WB

Publications for Lamin B1 Antibody (NBP3-44038) (0)

There are no publications for Lamin B1 Antibody (NBP3-44038).
By submitting your publication information earn gift cards and discounts for future purchases.

Reviews for Lamin B1 Antibody (NBP3-44038) (0)

There are no reviews for Lamin B1 Antibody (NBP3-44038). By submitting a review you will receive an Amazon e-Gift Card or Novus Product Discount.
  • Review with no image -- $10/€7/£6/$10 CAD/¥70 Yuan/¥1110 Yen
  • Review with an image -- $25/€18/£15/$25 CAD/¥150 Yuan/¥2500 Yen

Product General Protocols

Find general support by application which include: protocols, troubleshooting, illustrated assays, videos and webinars.

Video Protocols

WB Video Protocol
ICC/IF Video Protocol

FAQs for Lamin B1 Antibody (NBP3-44038). (Showing 1 - 1 of 1 FAQ).

  1. I'm looking for human lamin antibodies that might cross react with Drosophila lamins. I've found a few that I'm interested in, one of which comes in a smaller sample size. The other two do not have a smaller size ordering option. I was wondering if it would be possible to get these other antibodies in a smaller size as well, so we can test reactivity with Drosophila lamins before ordering the full-sized product?
    • We have a wide range of antibodies to human Lamin. Unfortunately none of these has yet been tested against Drosophila samples, however you may be interested in our Innovator's Reward Program. This allows you to try our primary antibodies in an untested species or application, without the financial risk of failure. To participate you simply complete an online review with an image, detailing the positive or negative results of your study, and in return you receive a discount voucher for 100% of the purchase price of the reviewed product. We are unable to offer free samples of our antibodies but, as you rightly point out, some are available as smaller, sample size aliquots. If a sample size is not listed for a product I am afraid we are unable to offer a smaller aliquot than those already listed.

Customers Who Bought This Also Bought

Contact Information

Product PDFs

Calculators

Concentration Calculator

The concentration calculator allows you to quickly calculate the volume, mass or concentration of your vial. Simply enter your mass, volume, or concentration values for your reagent and the calculator will determine the rest.

=
÷

Review this Product

Be the first to review our Lamin B1 Antibody (CL3929) - Azide and BSA Free and receive a gift card or discount.

Bioinformatics

Gene Symbol LMNB1