KLHL17 Antibody - BSA Free

Images

 
Immunocytochemistry/ Immunofluorescence: KLHL17 Antibody [NBP1-85926] - Staining of human cell line A-431 shows localization to nucleoplasm & nuclear bodies.
Staining of human pancreas shows no positivity in exocrine glandular cells as expected.
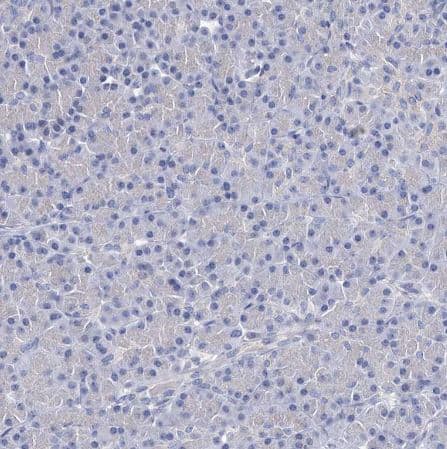
Staining of human liver shows no positivity in hepatocytes as expected.
Staining of human skin shows strong cytoplasmic positivity in melanocytes.
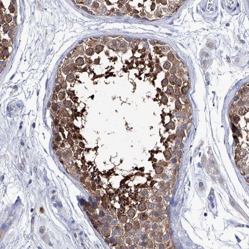
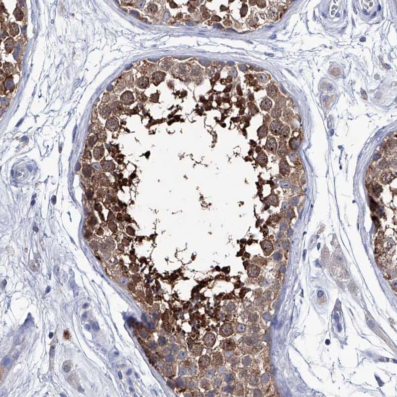
Staining of human testis shows strong cytoplasmic positivity in cells in seminiferous ducts.

Product Details

Summary
Reactivity Hu, Mu, RtSpecies Glossary
Applications ICC/IF, IHC
Clonality
Polyclonal
Host
Rabbit
Conjugate
Unconjugated
Format
BSA Free

Order Details

View Available Formulations
Catalog# & Formulation Size Price

KLHL17 Antibody - BSA Free Summary

Description
Novus Biologicals Rabbit KLHL17 Antibody - BSA Free (NBP1-85926) is a polyclonal antibody validated for use in IHC and ICC/IF. All Novus Biologicals antibodies are covered by our 100% guarantee.
Immunogen
This antibody was developed against Recombinant Protein corresponding to amino acids: AGAWESVAPMNIRRSTHDLVAMDGWLYAVGGNDGSSSLNSIEKYNPRTNKWVAASCMFTRRSSVGVAVLELLNFPPPSSPTLSVS
Predicted Species
Mouse (100%), Rat (100%). Backed by our 100% Guarantee.
Isotype
IgG
Clonality
Polyclonal
Host
Rabbit
Gene
KLHL17
Purity
Immunogen affinity purified
Innovator's Reward
Test in a species/application not listed above to receive a full credit towards a future purchase.

Applications/Dilutions

Dilutions
  • Immunocytochemistry/ Immunofluorescence 0.25-2 ug/ml
  • Immunohistochemistry 1:50 - 1:200
  • Immunohistochemistry-Paraffin 1:50 - 1:200
Application Notes
For IHC-Paraffin, HIER pH 6 retrieval is recommended. ICC/IF,Fixation Permeabilization: Use PFA/Triton X-100.
Control Peptide
KLHL17 Protein (NBP1-85926PEP)

Packaging, Storage & Formulations

Storage
Store at 4C short term. Aliquot and store at -20C long term. Avoid freeze-thaw cycles.
Buffer
PBS (pH 7.2) and 40% Glycerol
Preservative
0.02% Sodium Azide
Purity
Immunogen affinity purified

Alternate Names for KLHL17 Antibody - BSA Free

  • actinfilin
  • kelch-like 17 (Drosophila)
  • kelch-like protein 17

Background

KLHL17 may play a role in the actin-based neuronal function

Limitations

This product is for research use only and is not approved for use in humans or in clinical diagnosis. Primary Antibodies are guaranteed for 1 year from date of receipt.

Customers Who Viewed This Item Also Viewed...

NB100-58788
Species: Hu, Mu
Applications: IHC,  IHC-P, IP, WB
NBP1-31302
Species: Hu, Mu, Rt
Applications: ICC/IF, IHC,  IHC-P, KO, WB
NBP3-16867
Species: Hu, Mu, Rt
Applications: ELISA, IHC,  IHC-P, WB
NBP1-89150
Species: Hu
Applications: IHC,  IHC-P, WB
H00011026-M01
Species: Hu
Applications: ELISA, WB
NBP2-02939
Species: Ca, Hu, Pm, Mu, Pm, Rt
Applications: Flow, ICC/IF, WB
NB400-149
Species: Bv, Hu, Mu, Rt(-)
Applications: ICC/IF, IHC,  IHC-P, Simple Western, WB
AF7117
Species: Hu, Mu
Applications: ICC, IHC, WB
NBP2-54301
Species: Hu, Mu, Rt
Applications: CyTOF-ready, ELISA, IHC,  IHC-P, WB
NBP2-13961
Species: Hu
Applications: ICC/IF, IHC,  IHC-P, WB
AF9024
Species: Mu, Rt
Applications: IHC, WB
NBP1-89522
Species: Hu, Mu, Rt
Applications: ICC/IF, IHC,  IHC-P, WB

Publications for KLHL17 Antibody (NBP1-85926) (0)

There are no publications for KLHL17 Antibody (NBP1-85926).
By submitting your publication information earn gift cards and discounts for future purchases.

Reviews for KLHL17 Antibody (NBP1-85926) (0)

There are no reviews for KLHL17 Antibody (NBP1-85926). By submitting a review you will receive an Amazon e-Gift Card or Novus Product Discount.
  • Review with no image -- $10/€7/£6/$10 CAD/¥70 Yuan/¥1110 Yen
  • Review with an image -- $25/€18/£15/$25 CAD/¥150 Yuan/¥2500 Yen

Product General Protocols

Find general support by application which include: protocols, troubleshooting, illustrated assays, videos and webinars.

Video Protocols

ICC/IF Video Protocol

FAQs for KLHL17 Antibody (NBP1-85926) (0)

There are no specific FAQs related to this product. Read our general customer & technical service FAQs.

Customers Who Bought This Also Bought

Contact Information

Product PDFs

Calculators

Concentration Calculator

The concentration calculator allows you to quickly calculate the volume, mass or concentration of your vial. Simply enter your mass, volume, or concentration values for your reagent and the calculator will determine the rest.

=
÷

Review this Product

Be the first to review our KLHL17 Antibody - BSA Free and receive a gift card or discount.

Bioinformatics

Gene Symbol KLHL17