KIF22 Antibody (5F3)

Images

 
Western Blot: KIF22 Antibody (5F3) [NBP2-37552] - Western blot analysis using KID mouse mAb against MCF-7 (1) and Hela (2) cell lysate.
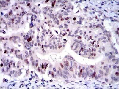
Immunohistochemistry: KIF22 Antibody (5F3) [NBP2-37552] - Immunohistochemical analysis of paraffin-embedded rectum cancer tissues using KID mouse mAb with DAB staining.
Western Blot: KIF22 Antibody (5F3) [NBP2-37552] - Western blot analysis using KID mAb against human KID (AA: 225-419) recombinant protein. (Expected MW is 47 kDa)
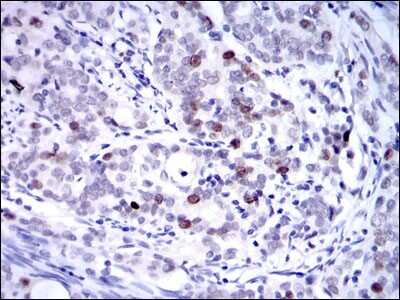
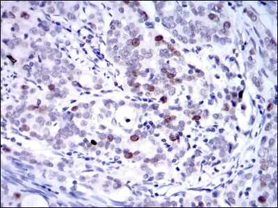
Immunohistochemistry: KIF22 Antibody (5F3) [NBP2-37552] - Immunohistochemical analysis of paraffin-embedded cervical cancer tissues using KID mouse mAb with DAB staining.
ELISA: KIF22 Antibody (5F3) [NBP2-37552] - Red: Control Antigen (100ng); Purple: Antigen (10ng); Green: Antigen (50ng); Blue: Antigen (100ng);

Product Details

Summary
Product Discontinued
View other related KIF22 Primary Antibodies

Order Details


    • Catalog Number
      NBP2-37552
    • Availability
      Product Discontinued

    Can't find what you are looking for? Use our Antibody Concierge Service & we will help you locate your antibody!

    Or feel free to contact us for alternative products.

KIF22 Antibody (5F3) Summary

Immunogen
Purified recombinant fragment of human KID expressed in E. Coli.
Isotype
IgG1
Clonality
Monoclonal
Host
Mouse
Gene
KIF22
Purity
Unpurified
Innovator's Reward
Test in a species/application not listed above to receive a full credit towards a future purchase.

Applications/Dilutions

Dilutions
  • ELISA 1:10000
  • Immunohistochemistry 1:200 - 1:1000
  • Immunohistochemistry-Paraffin 1:200 - 1:1000
  • Western Blot 1:500 - 1:2000
Theoretical MW
73 kDa.
Disclaimer note: The observed molecular weight of the protein may vary from the listed predicted molecular weight due to post translational modifications, post translation cleavages, relative charges, and other experimental factors.

Packaging, Storage & Formulations

Storage
Store at 4C short term. Aliquot and store at -20C long term. Avoid freeze-thaw cycles.
Buffer
Ascites
Preservative
0.03% Sodium Azide
Purity
Unpurified

Alternate Names for KIF22 Antibody (5F3)

  • Kid
  • KIDA-328A3.2
  • kinesin family member 22
  • kinesin-like 4
  • Kinesin-like DNA-binding protein
  • Kinesin-like protein 4
  • kinesin-like protein KIF22
  • KNSL4kinesin-like DNA-binding protein pseudogene
  • OBP
  • OBP-1
  • OBP-2
  • origin of plasmid DNA replication-binding protein
  • oriP binding protein

Background

KIF22 is encoded by this gene is a member of kinesin-like protein family. This family of proteins are microtubule-dependent molecular motors that transport organelles within cells and move chromosomes during cell division. The C-terminal half of this protein has been shown to bind DNA. Studies with the Xenopus homolog suggests its essential role in metaphase chromosome alignment and maintenance.

Limitations

This product is for research use only and is not approved for use in humans or in clinical diagnosis. Primary Antibodies are guaranteed for 1 year from date of receipt.

Customers Who Viewed This Item Also Viewed...

MAB2676
Species: Hu, Mu, Rt
Applications: ICC, WB
NBP2-41304
Species: Hu, Po, Rt
Applications: ELISA, ICC/IF, IHC,  IHC-P, WB
DYC2510-2
Species: Hu, Mu, Rt
Applications: ELISA
NBP3-25643
Species: Ca, Fe, Hu, Mu, Rt
Applications: ICC/IF, IHC,  IHC-P, WB
NB500-487
Species: Bv, Hu, Mu, Rt
Applications: IHC,  IHC-P, IP, WB
NBP3-09392
Species: Hu, Mu
Applications: WB
NBP1-76729
Species: Hu
Applications: ELISA, ICC/IF, WB
NBP2-03027
Species: Hu, Mu, Rt
Applications: Flow, ICC/IF, IHC,  IHC-P, WB
NB100-81898
Species: Hu, Po
Applications: ICC/IF, IHC,  IHC-P, WB
NBP2-46198
Species: Hu
Applications: IHC,  IHC-P, WB
MAB7446
Species: Hu
Applications: CyTOF-ready, Flow
AF2200
Species: Hu
Applications: IP, WB
NBP1-83289
Species: Hu
Applications: IHC,  IHC-P, WB
NBP1-83290
Species: Hu
Applications: IHC,  IHC-P, WB
NBP3-04382
Species: Hu, Mu, Rt
Applications: ICC/IF, IHC,  IHC-P, WB
NBP2-14977
Species: Hu
Applications: ICC/IF, IHC,  IHC-P, WB
NB100-616
Species: Hu, Mu, Md, Pm, Rt
Applications: ChIP, EM, Flow-IC, Flow, ICC/IF, IP, In vitro, KD, WB
NBP2-37552
Species: Hu
Applications: WB, ELISA, IHC

Publications for KIF22 Antibody (NBP2-37552) (0)

There are no publications for KIF22 Antibody (NBP2-37552).
By submitting your publication information earn gift cards and discounts for future purchases.

Reviews for KIF22 Antibody (NBP2-37552) (0)

There are no reviews for KIF22 Antibody (NBP2-37552). By submitting a review you will receive an Amazon e-Gift Card or Novus Product Discount.
  • Review with no image -- $10/€7/£6/$10 CAD/¥70 Yuan/¥1110 Yen
  • Review with an image -- $25/€18/£15/$25 CAD/¥150 Yuan/¥2500 Yen

Product General Protocols

Find general support by application which include: protocols, troubleshooting, illustrated assays, videos and webinars.

Video Protocols

WB Video Protocol

FAQs for KIF22 Antibody (NBP2-37552) (0)

There are no specific FAQs related to this product. Read our general customer & technical service FAQs.

Secondary Antibodies

 

Isotype Controls

Additional KIF22 Products

Research Areas for KIF22 Antibody (NBP2-37552)

Find related products by research area.

Blogs on KIF22

There are no specific blogs for KIF22, but you can read our latest blog posts.

Contact Information

Product PDFs

Calculators

Concentration Calculator

The concentration calculator allows you to quickly calculate the volume, mass or concentration of your vial. Simply enter your mass, volume, or concentration values for your reagent and the calculator will determine the rest.

=
÷

Review this Product

Be the first to review our KIF22 Antibody (5F3) and receive a gift card or discount.

Bioinformatics

Gene Symbol KIF22