JunD [p Ser255] Antibody (JJ08-21)

Images

 
Immunocytochemistry/ Immunofluorescence: JunD [p Ser255] Antibody (JJ08-21) [NBP2-67861] - Staining Phospho-JunD(S255) in MCF-7 cells (green). The nuclear counter stain is DAPI (blue). Cells were fixed in ...read more
Immunohistochemistry-Paraffin: JunD [p Ser255] Antibody (JJ08-21) [NBP2-67861] - Analysis of paraffin-embedded mouse testis tissue using anti-Phospho-JunD(S255) antibody. Counter stained with hematoxylin.
Immunocytochemistry/ Immunofluorescence: JunD [p Ser255] Antibody (JJ08-21) [NBP2-67861] - Staining Phospho-JunD(S255) in Hela cells (green). The nuclear counter stain is DAPI (blue). Cells were fixed in ...read more
Immunocytochemistry/ Immunofluorescence: JunD [p Ser255] Antibody (JJ08-21) [NBP2-67861] - Staining Phospho-JunD(S255) in HepG2 cells (green). The nuclear counter stain is DAPI (blue). Cells were fixed in ...read more
Immunohistochemistry-Paraffin: JunD [p Ser255] Antibody (JJ08-21) [NBP2-67861] - Analysis of paraffin-embedded human breast carcinoma tissue using anti-Phospho-JunD(S255) antibody. Counter stained with hematoxylin.
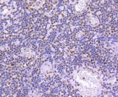
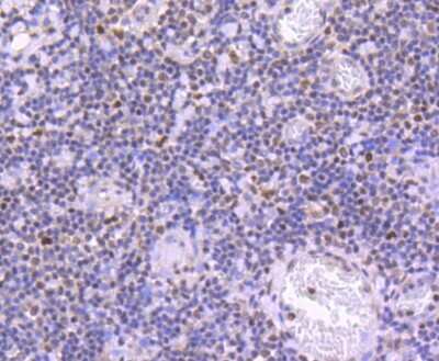
Immunohistochemistry-Paraffin: JunD [p Ser255] Antibody (JJ08-21) [NBP2-67861] - Analysis of paraffin-embedded human tonsil tissue using anti-Phospho-JunD(S255) antibody. Counter stained with hematoxylin.
Immunohistochemistry-Paraffin: JunD [p Ser255] Antibody (JJ08-21) [NBP2-67861] - Analysis of paraffin-embedded mouse liver tissue using anti-Phospho-JunD(S255) antibody. Counter stained with hematoxylin.

Product Details

Summary
Product Discontinued
View other related JunD Primary Antibodies

Order Details


    • Catalog Number
      NBP2-67861
    • Availability
      Product Discontinued

    Can't find what you are looking for? Use our Antibody Concierge Service & we will help you locate your antibody!

    Or feel free to contact us for alternative products.

JunD [p Ser255] Antibody (JJ08-21) Summary

Additional Information
Recombinant Monoclonal Antibody.
Immunogen
Synthetic phospho-peptide corresponding to residues surrounding Ser255 of Human JunD aa 251-270 / 347. (SwissProt: P17535 Human; SwissProt: P15066 Mouse; SwissProt: P52909 Rat)
Modification
p Ser255
Localization
Nucleus.
Isotype
IgG
Clonality
Monoclonal
Host
Rabbit
Gene
JUND
Purity
Protein A purified
Innovator's Reward
Test in a species/application not listed above to receive a full credit towards a future purchase.

Applications/Dilutions

Dilutions
  • Immunocytochemistry/ Immunofluorescence 1:50-1:200
  • Immunohistochemistry
  • Immunohistochemistry-Paraffin 1:50-1:200
  • Western Blot 1:1000

Packaging, Storage & Formulations

Storage
Store at 4C short term. Aliquot and store at -20C long term. Avoid freeze-thaw cycles.
Buffer
TBS (pH7.4), 0.05% BSA, 40% Glycerol
Preservative
0.05% Sodium Azide
Concentration
1 mg/ml
Purity
Protein A purified

Alternate Names for JunD [p Ser255] Antibody (JJ08-21)

  • activator protein 1
  • AP-1
  • jun D proto-oncogene
  • JunD
  • JunD-FL isoform
  • transcription factor jun-D

Background

The activator protein-1 (AP-1) transcription factor consists of either Jun/Jun homodimers or Fos/Jun heterodimeric complexes. Homo- and heterodimers bind to the TGACTCA consensus sequence present in numerous promoters and initially identified as the phorbol ester tumor promoter response element (TRE). Jun B and Jun D have been shown to be almost identical to c-Jun in their C-terminal regions, which are involved in dimerization and DNA binding, whereas their N-terminal domains, which are involved in transcriptional activation, diverge. All three form heterodimers among themselves and with c-Fos and other members of the Fos gene family. Studies suggest that the two forms of Jun D may be due to internal initiation of translation.

Limitations

This product is for research use only and is not approved for use in humans or in clinical diagnosis. Primary Antibodies are guaranteed for 1 year from date of receipt.

Customers Who Viewed This Item Also Viewed...

MAB8930
Species: Hu
Applications: ICC, Simple Western, WB
NBP2-50037
Species: Hu, Mu, Rt
Applications: ICC/IF, IHC, KO, WB
NB100-56583
Species: Hu, Rb, Rt
Applications: Flow, IHC,  IHC-P, KO, Simple Western, WB
AF1230
Species: Hu, Mu, Rt
Applications: IHC, KO, WB
MAB17761
Species: Hu, Mu, Rt
Applications: ICC, WB
NBP2-22203
Species: Hu, Pm, Mu, Rt
Applications: ELISA, Flow, ICC/IF, IHC,  IHC-P, WB
AF467
Species: Hu, Mu
Applications: CyTOF-ready, Flow, ICC, IHC, Simple Western, WB
M6000B
Species: Mu
Applications: ELISA
202-IL
Species: Hu
Applications: BA
AF8691
Species: Hu, Mu, Rt
Applications: IHC, KO, Simple Western, WB
NBP2-00764
Species: Hu, Mu, Rt
Applications: Flow, IHC,  IHC-P, WB
NBP2-37568
Species: Hu
Applications: ELISA, Flow, ICC/IF, IHC,  IHC-P, WB
NBP1-81575
Species: Hu, Mu, Rt
Applications: ICC/IF, IHC,  IHC-P, WB
NBP1-68874
Species: Hu, Mu, Rt
Applications: PEP-ELISA, WB
H00010598-M01
Species: Hu, Mu, Rt
Applications: ELISA, ICC/IF, S-ELISA, WB
NBP1-47757
Species: Hu, Mu, Rt
Applications: IHC,  IHC-P, WB
DYC2510-2
Species: Hu, Mu, Rt
Applications: ELISA
MAB208
Species: Hu
Applications: CyTOF-ready, ELISA(Cap), ELISA(Det), ELISA(Sta), ICC, ICFlow, Neut, Simple Western, WB
NBP2-67861
Species: Hu, Mu, Rt
Applications: WB, ICC/IF, IHC

Publications for JunD Antibody (NBP2-67861) (0)

There are no publications for JunD Antibody (NBP2-67861).
By submitting your publication information earn gift cards and discounts for future purchases.

Reviews for JunD Antibody (NBP2-67861) (0)

There are no reviews for JunD Antibody (NBP2-67861). By submitting a review you will receive an Amazon e-Gift Card or Novus Product Discount.
  • Review with no image -- $10/€7/£6/$10 CAD/¥70 Yuan/¥1110 Yen
  • Review with an image -- $25/€18/£15/$25 CAD/¥150 Yuan/¥2500 Yen

Product General Protocols

Find general support by application which include: protocols, troubleshooting, illustrated assays, videos and webinars.

Video Protocols

WB Video Protocol
ICC/IF Video Protocol

FAQs for JunD Antibody (NBP2-67861) (0)

There are no specific FAQs related to this product. Read our general customer & technical service FAQs.

Secondary Antibodies

 

Isotype Controls

Additional JunD Products

Research Areas for JunD Antibody (NBP2-67861)

Find related products by research area.

Blogs on JunD

There are no specific blogs for JunD, but you can read our latest blog posts.

Contact Information

Product PDFs

Calculators

Concentration Calculator

The concentration calculator allows you to quickly calculate the volume, mass or concentration of your vial. Simply enter your mass, volume, or concentration values for your reagent and the calculator will determine the rest.

=
÷

Review this Product

Be the first to review our JunD [p Ser255] Antibody (JJ08-21) and receive a gift card or discount.

Bioinformatics

Gene Symbol JUND