Integrin alpha 2/CD49b Antibody - BSA Free

Images

 
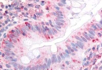
Immunohistochemistry-Paraffin: Integrin alpha 2/CD49b Antibody - BSA Free [NB110-55540] - Analysis of anti-ITGA2 / CD49b antibody with human colon, surface epithelium at concentration 10 ug/ml.

Product Details

Summary
Product Discontinued
View other related Integrin alpha 2/CD49b Primary Antibodies

Order Details


    • Catalog Number
      NB110-55540
    • Availability
      Product Discontinued

    Can't find what you are looking for? Use our Antibody Concierge Service & we will help you locate your antibody!

    Or feel free to contact us for alternative products.

Integrin alpha 2/CD49b Antibody - BSA Free Summary

Description
Product can be stored undiluted at 4C for up to 1 month.
Immunogen
Synthetic 14 amino acid peptide from extracellular domain of human Integrin alpha 2/CD49b.
Epitope
Extracellular domain of human
Marker
Plasma Membrane Marker
Specificity
Human Integrin alpha 2/CD49b. BLAST analysis of the peptide immunogen showed no homology with other human proteins.
Predicted Species
Mouse (93%), Bovine (93%), Primate (93%). Backed by our 100% Guarantee.
Isotype
IgG
Clonality
Polyclonal
Host
Rabbit
Gene
ITGA2
Purity
Immunogen affinity purified
Innovator's Reward
Test in a species/application not listed above to receive a full credit towards a future purchase.

Applications/Dilutions

Dilutions
  • Immunohistochemistry
  • Immunohistochemistry-Paraffin 10 ug/ml

Reactivity Notes

Predicted cross-reactivity based on sequence identity: Gibbon (100%), Gorilla (93%), Marmoset (93%), Rat (86%), Porcine (86%).

Packaging, Storage & Formulations

Storage
Keep as concentrated solution. Aliquot and store at -20C or below. Avoid multiple freeze-thaw cycles.
Buffer
PBS
Preservative
0.1% Sodium Azide
Concentration
0.5 mg/ml
Purity
Immunogen affinity purified

Alternate Names for Integrin alpha 2/CD49b Antibody - BSA Free

  • alpha-2 subunit
  • CD49b antigen
  • CD49b
  • Integrin alpha 2
  • integrin, alpha 2 (CD49B, alpha 2 subunit of VLA-2 receptor)
  • ITGA2
  • VLA 2
  • VLA-2 alpha

Background

ITGA2 encodes integrin alpha chain 2. Integrins are heterodimeric integral membrane proteins composed of an alpha chain and a beta chain. The I-domain containing alpha integrin 2 combines with beta integrin 1 to form a collagen-binding integrin referred to as glycoprotein Ia/IIa when expressed on platelets, and very late (activation) antigen 2 ('VLA-2') when found on T-cells. In addition to adhesion, integrins are known to participate in cell-surface mediated signalling.

Limitations

This product is for research use only and is not approved for use in humans or in clinical diagnosis. Primary Antibodies are guaranteed for 1 year from date of receipt.

Customers Who Viewed This Item Also Viewed...

NBP1-44643
Species: Hu
Applications: CyTOF-ready, Flow, ICC/IF
NB200-541
Species: Mu
Applications: IA, ICC/IF, IHC, IHC-Fr, IP, WB
7268-CT
Species: Hu
Applications: BA
NBP2-79843
Species: Hu
Applications: CyTOF-ready, ELISA, Flow, ICC/IF, IHC,  IHC-P, PA, WB
NB100-524
Species: Hu, Mu
Applications: Flow-IC, Flow, ICC/IF, IHC, IHC-Fr,  IHC-P, IP, WB
AF2009
Species: Hu
Applications: ICC, IHC
NBP2-67605
Species: Hu, Pm, Mu
Applications: ICC/IF, IHC,  IHC-P, IP, ISH, WB
NBP1-88220
Species: Hu, Mu, Rt
Applications: ICC/IF, IHC,  IHC-P, KD, WB
MAB2772
Species: Hu, Pm
Applications: Block, CyTOF-ready, ELISA(Cap), ELISA(Det), ELISA(Sta), Flow, ICC
NBP1-83790
Species: Hu
Applications: IHC,  IHC-P, WB
MAB6495
Species: Hu
Applications: ICC, Simple Western, WB
H00003347-M01
Species: Hu
Applications: ELISA, ICC/IF, S-ELISA, WB
AF1106
Species: Hu
Applications: IP, WB
664-LI
Species: Hu
Applications: BA
NBP2-44520
Species: Ca(-), Hu, Rt(-)
Applications: Flow-IC, Flow, ICC/IF, IF, IHC,  IHC-P, MI, WB
AF3627
Species: Hu
Applications: WB
NBP1-91258
Species: Bv, Ca, Eq, Fe, Hu, Mu, Po, Rt
Applications: ICC/IF, IHC, IHC-Fr,  IHC-P, Simple Western, WB
NB100-56603
Species: Ca, Hu, Mu, Pm, Rt
Applications: IHC,  IHC-P, WB
MAB17781
Species: Hu
Applications: Block, CyTOF-ready, Flow, ICC, IP, KO
NB110-55540
Species: Hu, Mu, Bv, Pm
Applications: IHC

Publications for Integrin alpha 2/CD49b Antibody (NB110-55540) (0)

There are no publications for Integrin alpha 2/CD49b Antibody (NB110-55540).
By submitting your publication information earn gift cards and discounts for future purchases.

Reviews for Integrin alpha 2/CD49b Antibody (NB110-55540) (0)

There are no reviews for Integrin alpha 2/CD49b Antibody (NB110-55540). By submitting a review you will receive an Amazon e-Gift Card or Novus Product Discount.
  • Review with no image -- $10/€7/£6/$10 CAD/¥70 Yuan/¥1110 Yen
  • Review with an image -- $25/€18/£15/$25 CAD/¥150 Yuan/¥2500 Yen

Product General Protocols

Find general support by application which include: protocols, troubleshooting, illustrated assays, videos and webinars.

FAQs for Integrin alpha 2/CD49b Antibody (NB110-55540) (0)

There are no specific FAQs related to this product. Read our general customer & technical service FAQs.

Secondary Antibodies

 

Isotype Controls

Additional Integrin alpha 2/CD49b Products

Research Areas for Integrin alpha 2/CD49b Antibody (NB110-55540)

Find related products by research area.

Blogs on Integrin alpha 2/CD49b

There are no specific blogs for Integrin alpha 2/CD49b, but you can read our latest blog posts.

Contact Information

Product PDFs

Calculators

Concentration Calculator

The concentration calculator allows you to quickly calculate the volume, mass or concentration of your vial. Simply enter your mass, volume, or concentration values for your reagent and the calculator will determine the rest.

=
÷

Review this Product

Be the first to review our Integrin alpha 2/CD49b Antibody - BSA Free and receive a gift card or discount.

Bioinformatics

Gene Symbol ITGA2
Entrez