ING3 Antibody

Images

 
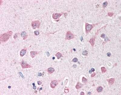
Immunohistochemistry-Paraffin: ING3 Antibody [NBP1-02460] - Staining of human brain, cortex. Immunohistochemistry of formalin-fixed, paraffin-embedded tissue after heat-induced antigen retrieval. Antibody concentration ...read more

Product Details

Summary
Product Discontinued
View other related ING3 Primary Antibodies

Order Details


    • Catalog Number
      NBP1-02460
    • Availability
      Product Discontinued

    Can't find what you are looking for? Use our Antibody Concierge Service & we will help you locate your antibody!

    Or feel free to contact us for alternative products.

ING3 Antibody Summary

Immunogen
Synthetic peptide corresponding to an internal region near aa 285-310 of human ING3.
Specificity
aa 294-304 of Human ING3 protein (Inhibitor of growth family, member 3). This sequence only shows homology to isoform 1 for ING3.
Isotype
IgG
Clonality
Polyclonal
Host
Goat
Gene
ING3
Purity
Immunogen affinity purified
Innovator's Reward
Test in a species/application not listed above to receive a full credit towards a future purchase.

Applications/Dilutions

Dilutions
  • ELISA 1:10000 - 1:40000
  • Immunocytochemistry/ Immunofluorescence 1:10 - 1:500
  • Immunohistochemistry 1:10 - 1:500
  • Immunohistochemistry-Paraffin 2.5 ug/mL
  • Western Blot 1:200 - 1:2000

Packaging, Storage & Formulations

Storage
Store at 4C short term. Aliquot and store at -20C long term. Avoid freeze-thaw cycles.
Buffer
20 mM Potassium Phosphate (pH 7.2), 0.15 M NaCl
Preservative
0.01% Sodium Azide
Concentration
1.0 mg/ml
Purity
Immunogen affinity purified

Alternate Names for ING3 Antibody

  • FLJ20089
  • ING2
  • inhibitor of growth family, member 3
  • inhibitor of growth protein 3
  • MEAF4
  • P47
  • p47ING3Eaf4

Background

p47 ING3 is a tumor suppressor protein similar to ING1 that can interact with TP53, inhibit cell growth, and induce apoptosis. This protein contains a PHD-finger, which is a common motif in proteins involved in chromatin remodeling. This gene can activate p53 trans-activated promoters, including promoters of p21/waf1 and bax. Over-expression of this gene has been shown to inhibit cell growth and induce apoptosis. Allelic loss and reduced expression of this gene were detected in head and neck cancers. Multiple alternatively spliced transcript variants have been observed. The accession number listed below is for variant (1) that encodes the longest isoform.

Limitations

This product is for research use only and is not approved for use in humans or in clinical diagnosis. Primary Antibodies are guaranteed for 1 year from date of receipt.

Customers Who Viewed This Item Also Viewed...

AF5758
Species: Hu
Applications: ICC, IHC, WB
NB200-103
Species: Hu, Mu, Rt, Xp(-), Ye
Applications: CyTOF-ready, ELISA, Flow-IC, Flow, ICC/IF, IHC, IHC-Fr,  IHC-P, IP, WB
NBP2-29463
Species: Pm, Hu, Pm, Mu
Applications: Flow, ICC/IF, IHC,  IHC-P, WB
NB500-171
Species: Hu, I, Mu, Rt, Xp, Ye
Applications: ChIP, IB, ICC/IF, IHC,  IHC-P, Single-Cell Western, WB
NBP2-33828
Species: Hu
Applications: IHC,  IHC-P
NBP3-04538
Species: Hu
Applications: ICC/IF, KO, WB
NBP2-46085
Species: Hu
Applications: IHC,  IHC-P, WB
NB100-56340
Species: Hu, Mu, Rt
Applications: IHC, IHC-Fr,  IHC-P, KO, Simple Western, WB
H00027065-M01
Species: Hu, Rt
Applications: ELISA, ICC/IF, S-ELISA, WB
NBP1-51641
Species: Hu, Mu, Pm, Rb, Rt
Applications: ELISA, Flow-IC, Flow, ICC/IF, IHC-FrFl, IHC,  IHC-P, WB
2695-SE
Species: Hu
Applications: EnzAct
NBP2-24613
Species: Hu
Applications: IHC,  IHC-P, Simple Western, WB
NBP2-03993
Species: Bv, Ca, Hu, Mu, Pm
Applications: WB
H00064105-M01
Species: Hu
Applications: ELISA, ICC/IF, S-ELISA, WB
MAB1368
Species: Hu, Mu
Applications: CyTOF-ready, ICC, ICFlow, KO, Simple Western, WB
NBP2-07996
Species: Hu
Applications: WB
NBP1-89790
Species: Hu, Mu, Rt
Applications: ICC/IF, IHC,  IHC-P, WB
NB500-106
Species: Ch, Dr, Fi, Hu, Mar, Mu, Po, Pm, Rb, Rt, Ye, Ze
Applications: ChIP, ChIP, ELISA, Flow, ICC/IF, IHC-FrFl, IHC, IHC-Fr,  IHC-P, IP, Simple Western, WB
NBP2-52486
Species: Hu
Applications: CyTOF-ready, ELISA, Flow, ICC/IF, IHC,  IHC-P, WB
NBP1-02460
Species: Hu, Mu, Ch
Applications: WB, ELISA, ICC/IF, IHC

Publications for ING3 Antibody (NBP1-02460) (0)

There are no publications for ING3 Antibody (NBP1-02460).
By submitting your publication information earn gift cards and discounts for future purchases.

Reviews for ING3 Antibody (NBP1-02460) (0)

There are no reviews for ING3 Antibody (NBP1-02460). By submitting a review you will receive an Amazon e-Gift Card or Novus Product Discount.
  • Review with no image -- $10/€7/£6/$10 CAD/¥70 Yuan/¥1110 Yen
  • Review with an image -- $25/€18/£15/$25 CAD/¥150 Yuan/¥2500 Yen

Product General Protocols

Find general support by application which include: protocols, troubleshooting, illustrated assays, videos and webinars.

Video Protocols

WB Video Protocol
ICC/IF Video Protocol

FAQs for ING3 Antibody (NBP1-02460) (0)

There are no specific FAQs related to this product. Read our general customer & technical service FAQs.

Secondary Antibodies

 

Isotype Controls

Additional ING3 Products

Array NBP1-02460

Research Areas for ING3 Antibody (NBP1-02460)

Find related products by research area.

Blogs on ING3

There are no specific blogs for ING3, but you can read our latest blog posts.

Contact Information

Product PDFs

Calculators

Concentration Calculator

The concentration calculator allows you to quickly calculate the volume, mass or concentration of your vial. Simply enter your mass, volume, or concentration values for your reagent and the calculator will determine the rest.

=
÷

Review this Product

Be the first to review our ING3 Antibody and receive a gift card or discount.

Bioinformatics

Gene Symbol ING3
Entrez
Uniprot