IL-4I1 Antibody (CL9071) - Azide and BSA Free

Images

 
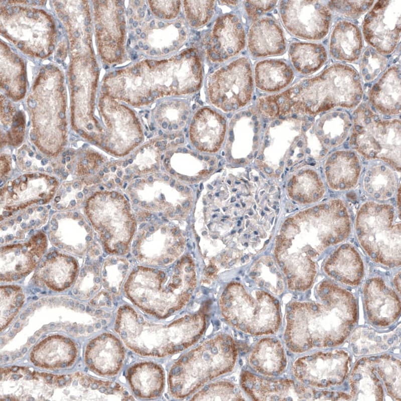
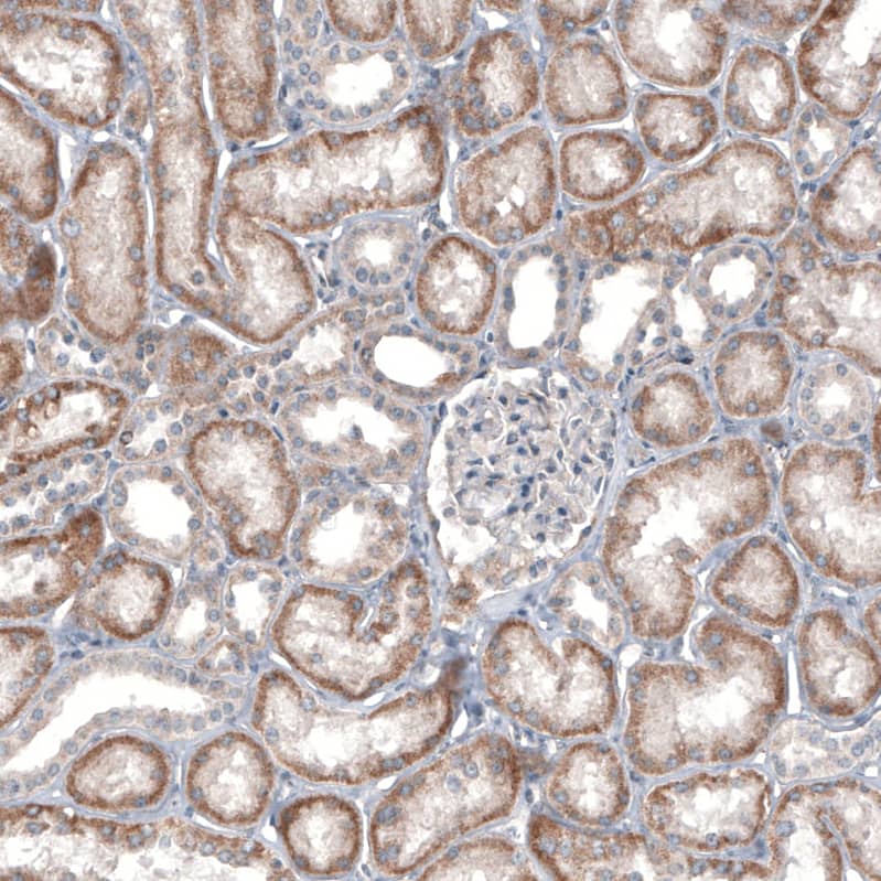
Orthogonal Strategies: Analysis in human testis and skeletal muscle tissues using NBP3-44235 antibody. Corresponding IL-4I1 RNA-seq data are presented for the same tissues.
Staining of human kidney shows no positivity in cells in glomeruli.
Staining of human skeletal muscle shows low positivity in myocytes as expected.
Staining of human lymph node shows moderate to strong cytoplasmic positivity in non-germinal center cells.
Staining of human testis shows moderate cytoplasmic positivity in cells in seminiferous ducts.
Analysis in human cell line HDLM-2.

Product Details

Summary
Reactivity HuSpecies Glossary
Applications WB, IHC
Clone
CL9071
Clonality
Monoclonal
Host
Mouse
Conjugate
Unconjugated
Format
Azide and BSA Free
Concentration
LYOPH
Validated by:
       

Orthogonal Strategies

 

Order Details

IL-4I1 Antibody (CL9071) - Azide and BSA Free Summary

Description
Novus Biologicals Mouse IL-4I1 Antibody (CL9071) - Azide and BSA Free (NBP2-88929) is a monoclonal antibody validated for use in IHC and WB. All Novus Biologicals antibodies are covered by our 100% guarantee.
Immunogen
This antibody was generated using a synthetic peptide of Q96RQ9, with the exact immunogen sequence remaining proprietary.
Isotype
IgG2a
Clonality
Monoclonal
Host
Mouse
Gene
IL4I1
Purity
Protein A purified
Innovator's Reward
Test in a species/application not listed above to receive a full credit towards a future purchase.

Applications/Dilutions

Dilutions
  • Immunohistochemistry-Paraffin 1:200 - 1:500
  • Western Blot 1 ug/ml
Application Notes
For IHC-Paraffin, HIER pH 6 retrieval is recommended.

Packaging, Storage & Formulations

Storage
Store at 4C short term. Aliquot and store at -20C long term. Avoid freeze-thaw cycles.
Buffer
Lyophilized from a 0.2 um filtered solution in PBS with Trehalose
Preservative
No Preservative
Concentration
LYOPH
Purity
Protein A purified
Reconstitution Instructions
Centrifuge the vial of lyophilized antibody at 12,000 x g for 20 seconds. Reconstitute by adding sterile, distilled water to achieve a final antibody concentration of 1mg/ml.

Alternate Names for IL-4I1 Antibody (CL9071) - Azide and BSA Free

  • Fig-1 protein
  • FIG1
  • hFIG1
  • IL4I1
  • IL-4I1
  • IL4-induced protein 1
  • interleukin 4 induced 1
  • interleukin four induced 1
  • LAAO
  • L-amino-acid oxidase
  • LAO
  • UNQ636/PRO1265

Limitations

This product is for research use only and is not approved for use in humans or in clinical diagnosis. Primary Antibodies are guaranteed for 1 year from date of receipt.

Customers Who Viewed This Item Also Viewed...

AF3398
Species: Hu, Mu, Rt
Applications: ICC, KO, Simple Western, WB
6507-IL/CF
Species: Hu
Applications: BA
NB100-182
Species: Av, Ca, Hu, Ma, Mu, Pm, Rt, Ze
Applications: ChIP, ChIP, Flow, IB, ICC/IF, IHC,  IHC-P, IP, KD, KO, RNAi, Simple Western, WB
MAB2476
Species: Hu
Applications: IHC, WB
NB100-74510
Species: Hu, Mu, Pm, Rt
Applications: ELISA, ICC/IF, IHC,  IHC-P, IP, WB
NBP2-92892
Species: Hu, Mu, Rt
Applications: ICC/IF, WB
NBP1-81838
Species: Hu, Mu
Applications: IHC,  IHC-P, WB
202-IL
Species: Hu
Applications: BA
H00000314-Q01
Species: Hu
Applications: ELISA, AP, PA, WB
NBP2-01763
Species: Hu, Mu, Rt
Applications: Flow, IHC,  IHC-P, WB
H00151056-B01P
Species: Hu, Mu
Applications: WB
NBP1-32870
Species: Ch, Hu
Applications: IHC,  IHC-P, IP, KD, WB
MAB2669
Species: Hu
Applications: IHC, Simple Western, WB
H00005555-P01
Species: Hu
Applications: ELISA, AP, PA, PAGE, WB
NBP3-46899
Species: Hu
Applications: ELISA, ICC/IF, WB
NBP2-46518
Species: Hu
Applications: IHC,  IHC-P, WB
H00002038-M01
Species: Hu
Applications: ELISA, ICC/IF, WB
NBP3-48674
Species: Hu, Mu, Rt, Ze
Applications: ICC/IF, IHC,  IHC-P, WB

Publications for IL-4I1 Antibody (NBP3-44235) (0)

There are no publications for IL-4I1 Antibody (NBP3-44235).
By submitting your publication information earn gift cards and discounts for future purchases.

Reviews for IL-4I1 Antibody (NBP3-44235) (0)

There are no reviews for IL-4I1 Antibody (NBP3-44235). By submitting a review you will receive an Amazon e-Gift Card or Novus Product Discount.
  • Review with no image -- $10/€7/£6/$10 CAD/¥70 Yuan/¥1110 Yen
  • Review with an image -- $25/€18/£15/$25 CAD/¥150 Yuan/¥2500 Yen

Product General Protocols

Find general support by application which include: protocols, troubleshooting, illustrated assays, videos and webinars.

Video Protocols

WB Video Protocol

FAQs for IL-4I1 Antibody (NBP3-44235) (0)

There are no specific FAQs related to this product. Read our general customer & technical service FAQs.

Secondary Antibodies

 

Isotype Controls

Additional IL-4I1 Products

Research Areas for IL-4I1 Antibody (NBP3-44235)

Find related products by research area.

Blogs on IL-4I1

There are no specific blogs for IL-4I1, but you can read our latest blog posts.

Customers Who Bought This Also Bought

Contact Information

Product PDFs

Calculators

Concentration Calculator

The concentration calculator allows you to quickly calculate the volume, mass or concentration of your vial. Simply enter your mass, volume, or concentration values for your reagent and the calculator will determine the rest.

=
÷

Review this Product

Be the first to review our IL-4I1 Antibody (CL9071) - Azide and BSA Free and receive a gift card or discount.

Bioinformatics

Gene Symbol IL4I1