IGSF4D/SynCAM2/CADM2 Antibody

Images

 
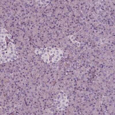
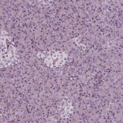
Immunohistochemistry-Paraffin: IGSF4D/SynCAM2/CADM2 Antibody [NBP1-81606] - Staining of human pancreas shows low expression as expected.
Immunohistochemistry-Paraffin: IGSF4D/SynCAM2/CADM2 Antibody [NBP1-81606] - Staining of human cerebral cortex shows high expression.
Orthogonal Strategies: Immunohistochemistry-Paraffin: IGSF4D/SynCAM2/CADM2 Antibody [NBP1-81606] - Staining in human cerebral cortex and pancreas tissues using anti-CADM2 antibody. Corresponding CADM2 RNA-seq ...read more

Product Details

Summary
Product Discontinued
View other related IGSF4D/SynCAM2/CADM2 Primary Antibodies
Validated by:
       

Orthogonal Strategies

 

Order Details


    • Catalog Number
      NBP1-81606
    • Availability
      Product Discontinued

    Can't find what you are looking for? Use our Antibody Concierge Service & we will help you locate your antibody!

    Or feel free to contact us for alternative products.

IGSF4D/SynCAM2/CADM2 Antibody Summary

Immunogen
This antibody was developed against Recombinant Protein corresponding to amino acids: EIHYTPSVKIIPSTPFPQEGQPLILTCESKGKPLPEPVLWTKDGGELPDPDRMVVSGRELNILFLNKTDNGTYRCEATNTIGQSSAEYVLIVHDVPNTLLPTTIIPSLTTATVTTTVAITTSPTTSATTSSIRDPNALA
Predicted Species
Mouse (92%), Rat (94%). Backed by our 100% Guarantee.
Isotype
IgG
Clonality
Polyclonal
Host
Rabbit
Gene
CADM2
Purity
Immunogen affinity purified
Innovator's Reward
Test in a species/application not listed above to receive a full credit towards a future purchase.

Applications/Dilutions

Dilutions
  • Immunohistochemistry 1:20 - 1:50
  • Immunohistochemistry-Paraffin 1:20 - 1:50
Application Notes
For IHC-Paraffin, HIER pH 6 retrieval is recommended.

Packaging, Storage & Formulations

Storage
Store at 4C short term. Aliquot and store at -20C long term. Avoid freeze-thaw cycles.
Buffer
PBS (pH 7.2) and 40% Glycerol
Preservative
0.02% Sodium Azide
Purity
Immunogen affinity purified

Alternate Names for IGSF4D/SynCAM2/CADM2 Antibody

  • CADM2
  • cell adhesion molecule 2
  • IGSF4D
  • IGSF4DMGC138343
  • Immunoglobulin superfamily member 4D
  • immunoglobulin superfamily, member 4D
  • MGC104534
  • Necl-3
  • NECL3MGC138341
  • nectin-like 3
  • Nectin-like protein 3
  • SynCAM2

Limitations

This product is for research use only and is not approved for use in humans or in clinical diagnosis. Primary Antibodies are guaranteed for 1 year from date of receipt.

Customers Who Viewed This Item Also Viewed...

NB300-186
Species: Hu, Rt
Applications: ICC/IF, Simple Western, WB
DBD00
Species: Hu
Applications: ELISA
AF3678
Species: Hu
Applications: CyTOF-ready, Flow, ICC, WB
NBP1-83813
Species: Hu
Applications: ICC/IF, IHC,  IHC-P
NB100-689
Species: Hu, Rt
Applications: IHC, IHC-Fr,  IHC-P, Simple Western, WB
NBP2-81843
Species: Hu, Mu, Rt
Applications: ELISA, ICC/IF, IHC,  IHC-P, WB
NBP2-24495
Species: Hu, Pm
Applications: ICC/IF, IHC, WB
MAB8210
Species: Hu
Applications: Block, CyTOF-ready, Flow, IHC
NBP2-30604
Species: Hu
Applications: IHC,  IHC-P
NBP1-77122
Species: Hu, Mu, Rt
Applications: ELISA, ICC/IF, IHC,  IHC-P, WB
NBP2-41103
Species: Hu, Mu, Rt
Applications: ELISA, ICC/IF, IHC,  IHC-P, WB
NBP1-82689
Species: Hu
Applications: IHC,  IHC-P, WB
NB600-534
Species: Hu, Mu, Po, V-Vi
Applications: ELISA, Flow, ICC/IF, IHC, IHC-Fr,  IHC-P, In vitro, In vivo, RIA, WB
NBP1-81614
Species: Hu
Applications: ICC/IF, IHC,  IHC-P, WB
NBP1-89654
Species: Hu
Applications: IHC,  IHC-P, WB
NBP1-88071
Species: Hu, Rt
Applications: ICC/IF, IHC,  IHC-P
AF2654
Species: Mu
Applications: IHC, Simple Western, WB
NBP2-24713
Species: Ca, Hu, Mu, Pm, Rt
Applications: Flow, IHC,  IHC-P, WB
MAB1417
Species: Bv, Hu, Mu
Applications: ICC, IHC
NBP3-16756
Species: Hu, Mu, Rt
Applications: ICC/IF, IHC,  IHC-P, WB

Publications for IGSF4D/SynCAM2/CADM2 Antibody (NBP1-81606) (0)

There are no publications for IGSF4D/SynCAM2/CADM2 Antibody (NBP1-81606).
By submitting your publication information earn gift cards and discounts for future purchases.

Reviews for IGSF4D/SynCAM2/CADM2 Antibody (NBP1-81606) (0)

There are no reviews for IGSF4D/SynCAM2/CADM2 Antibody (NBP1-81606). By submitting a review you will receive an Amazon e-Gift Card or Novus Product Discount.
  • Review with no image -- $10/€7/£6/$10 CAD/¥70 Yuan/¥1110 Yen
  • Review with an image -- $25/€18/£15/$25 CAD/¥150 Yuan/¥2500 Yen

Product General Protocols

Find general support by application which include: protocols, troubleshooting, illustrated assays, videos and webinars.

FAQs for IGSF4D/SynCAM2/CADM2 Antibody (NBP1-81606) (0)

There are no specific FAQs related to this product. Read our general customer & technical service FAQs.

Secondary Antibodies

 

Isotype Controls

Additional IGSF4D/SynCAM2/CADM2 Products

Research Areas for IGSF4D/SynCAM2/CADM2 Antibody (NBP1-81606)

Find related products by research area.

Blogs on IGSF4D/SynCAM2/CADM2

There are no specific blogs for IGSF4D/SynCAM2/CADM2, but you can read our latest blog posts.

Contact Information

Product PDFs

Calculators

Concentration Calculator

The concentration calculator allows you to quickly calculate the volume, mass or concentration of your vial. Simply enter your mass, volume, or concentration values for your reagent and the calculator will determine the rest.

=
÷

Review this Product

Be the first to review our IGSF4D/SynCAM2/CADM2 Antibody and receive a gift card or discount.

Bioinformatics

Gene Symbol CADM2
Entrez
Uniprot