IFI27 Antibody

Images

 
Immunohistochemistry-Paraffin: IFI27 Antibody [NBP1-84745] - Staining of human liver shows no positivity in hepatocytes as Expected.
Immunohistochemistry-Paraffin: IFI27 Antibody [NBP1-84745] - Staining of human stomach shows strong granular cytoplasmic positivity in glandular cells.
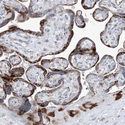
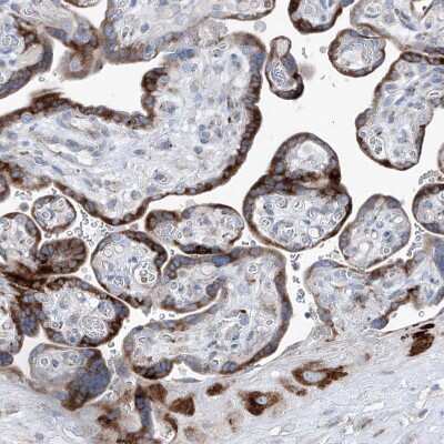
Immunohistochemistry-Paraffin: IFI27 Antibody [NBP1-84745] - Staining of human placenta shows strong granular cytoplasmic positivity in trophoblastic cells.
Immunohistochemistry-Paraffin: IFI27 Antibody [NBP1-84745] - Staining of human prostate shows no positivity in glandular cells as expected.

Product Details

Summary
Product Discontinued
View other related IFI27 Primary Antibodies

Order Details


    • Catalog Number
      NBP1-84745
    • Availability
      Product Discontinued

    Can't find what you are looking for? Use our Antibody Concierge Service & we will help you locate your antibody!

    Or feel free to contact us for alternative products.

IFI27 Antibody Summary

Immunogen
This antibody was developed against Recombinant Protein corresponding to amino acids: MEASALTSSAVTSVAKVVRVASGSAVVLPLARIATV
Isotype
IgG
Clonality
Polyclonal
Host
Rabbit
Gene
IFI27
Purity
Immunogen affinity purified
Innovator's Reward
Test in a species/application not listed above to receive a full credit towards a future purchase.

Applications/Dilutions

Dilutions
  • Immunohistochemistry 1:50 - 1:200
  • Immunohistochemistry-Paraffin 1:50 - 1:200
Application Notes
For IHC-Paraffin, HIER pH 6 retrieval is recommended.
Publications
Read Publications using
NBP1-84745 in the following applications:

Reactivity Notes

Reactivity reported in scientific literature (PMID: 23435261).

Packaging, Storage & Formulations

Storage
Store at 4C short term. Aliquot and store at -20C long term. Avoid freeze-thaw cycles.
Buffer
PBS (pH 7.2) and 40% Glycerol
Preservative
0.02% Sodium Azide
Purity
Immunogen affinity purified

Alternate Names for IFI27 Antibody

  • FAM14D
  • Interferon alpha-induced 11.5 kDa protein
  • interferon alpha-inducible protein 27, mitochondrial
  • interferon, alpha-inducible protein 27,2310061N23Rik
  • Interferon-stimulated gene 12a protein
  • ISG12
  • ISG12(a)
  • ISG12A
  • P27

Background

IFI27( AAH15492, 1 a.a. - 120 a.a.) full-length recombinant protein with GST.

Limitations

This product is for research use only and is not approved for use in humans or in clinical diagnosis. Primary Antibodies are guaranteed for 1 year from date of receipt.

Customers Who Viewed This Item Also Viewed...

NBP2-29463
Species: Pm, Hu, Pm, Mu
Applications: Flow, ICC/IF, IHC,  IHC-P, WB
AF1555
Species: Hu
Applications: WB
MAB7557
Species: Hu
Applications: IHC, WB
NBP2-46085
Species: Hu
Applications: IHC,  IHC-P, WB
H00027065-M01
Species: Hu, Rt
Applications: ELISA, ICC/IF, S-ELISA, WB
NBP2-00776
Species: Ca, Hu, Pm, Mu, Rt
Applications: Flow, ICC/IF, IHC,  IHC-P, WB
NBP2-32840
Species: Hu, Pm, Mu, Rt
Applications: Flow, ICC/IF, IHC,  IHC-P, WB
NB200-106
Species: Mu, Rt
Applications: ELISA, ICC/IF, IHC, IHC-Fr,  IHC-P, WB
NB200-103
Species: Hu, Mu, Rt, Xp(-), Ye
Applications: CyTOF-ready, ELISA, Flow-IC, Flow, ICC/IF, IHC, IHC-Fr,  IHC-P, IP, WB
NBP1-31308
Species: Bv, Hu, Mu, Rt
Applications: ICC/IF, IHC,  IHC-P, Simple Western, WB
AF6897
Species: Hu, Mu
Applications: IHC, Simple Western, WB
NBP2-68858
Species: Hu
Applications: IHC,  IHC-P
NB500-106
Species: Ch, Dr, Fi, Hu, Mar, Mu, Po, Pm, Rb, Rt, Ye, Ze
Applications: ChIP, ChIP, ELISA, Flow, ICC/IF, IHC-FrFl, IHC, IHC-Fr,  IHC-P, IP, Simple Western, WB
MAB6495
Species: Hu
Applications: ICC, Simple Western, WB
AF887
Species: Hu, Mu, Rt
Applications: CyTOF-ready, IHC, ICFlow, Simple Western, WB
NB100-56098
Species: Ca, Hu, Mu, Rt
Applications: IHC,  IHC-P, IP, WB
NBP1-89917
Species: Hu
Applications: ICC/IF, IHC,  IHC-P, WB
NBP2-49142
Species: Hu
Applications: IHC,  IHC-P, KD, WB

Publications for IFI27 Antibody (NBP1-84745)(2)

We have publications tested in 1 confirmed species: Human.

We have publications tested in 1 application: IF/IHC.


Filter By Application
IF/IHC
(1)
All Applications
Filter By Species
Human
(1)
All Species

Reviews for IFI27 Antibody (NBP1-84745) (0)

There are no reviews for IFI27 Antibody (NBP1-84745). By submitting a review you will receive an Amazon e-Gift Card or Novus Product Discount.
  • Review with no image -- $10/€7/£6/$10 CAD/¥70 Yuan/¥1110 Yen
  • Review with an image -- $25/€18/£15/$25 CAD/¥150 Yuan/¥2500 Yen

Product General Protocols

Find general support by application which include: protocols, troubleshooting, illustrated assays, videos and webinars.

FAQs for IFI27 Antibody (NBP1-84745) (0)

There are no specific FAQs related to this product. Read our general customer & technical service FAQs.

Secondary Antibodies

 

Isotype Controls

Additional IFI27 Products

Research Areas for IFI27 Antibody (NBP1-84745)

Find related products by research area.

Blogs on IFI27.

COVID-19 and metabolic dysregulation: SARS-CoV-2 injures human exocrine and endocrine pancreas
Jamshed Arslan, Pharm D, PhD Humans rely on the pancreas for digesting food and generating energy from it. SARS-CoV-2-mediated damage to the exocrine pancreas is evident from the pancreatitis, pancreatic enlargeme...  Read full blog post.

Contact Information

Product PDFs

Calculators

Concentration Calculator

The concentration calculator allows you to quickly calculate the volume, mass or concentration of your vial. Simply enter your mass, volume, or concentration values for your reagent and the calculator will determine the rest.

=
÷

Review this Product

Be the first to review our IFI27 Antibody and receive a gift card or discount.

Bioinformatics

Gene Symbol IFI27