Histone Deacetylase 2/HDAC2 Antibody (SD0816)

Images

 
Western Blot: Histone Deacetylase 2/HDAC2 Antibody (SD0816) [NBP2-67781] - Analysis of Histone Deacetylase 2/HDAC2 on different lysates. Proteins were transferred to a PVDF membrane and blocked with 5% BSA in PBS for 1 ...read more
Immunohistochemistry-Paraffin: Histone Deacetylase 2/HDAC2 Antibody (SD0816) [NBP2-67781] - Analysis of paraffin-embedded mouse hippocampus tissue with Rabbit anti-Deacetylase 2/HDAC2 antibody washed with ddH2O and PBS, ...read more
Western Blot: Histone Deacetylase 2/HDAC2 Antibody (SD0816) [NBP2-67781] - Analysis of HDAC2 on different lysates using anti-HDAC2 antibody at 1/1,000 dilution. Positive control: Lane 1: K562 Lane 2: Hela
Immunohistochemistry-Paraffin: Histone Deacetylase 2/HDAC2 Antibody (SD0816) [NBP2-67781] - Analysis of paraffin-embedded human tonsil tissue with Rabbit anti-Histone Deacetylase 2/HDAC2 antibody washed with ddH2O and ...read more
Immunohistochemistry-Paraffin: Histone Deacetylase 2/HDAC2 Antibody (SD0816) [NBP2-67781] - Analysis of paraffin-embedded human thyroid tissue with Rabbit anti-Deacetylase 2/HDAC2 antibody washed with ddH2O and PBS, and ...read more
Immunohistochemistry-Paraffin: Histone Deacetylase 2/HDAC2 Antibody (SD0816) [NBP2-67781] - Analysis of paraffin-embedded human colon carcinoma tissue with Rabbit anti-Deacetylase 2/HDAC2 antibody washed with ddH2O and ...read more
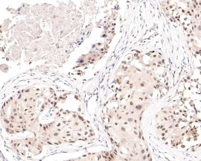
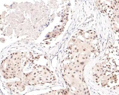
Immunohistochemistry-Paraffin: Histone Deacetylase 2/HDAC2 Antibody (SD0816) [NBP2-67781] - Analysis of paraffin-embedded human breast carcinoma tissue with Rabbit anti-Histone Deacetylase 2/HDAC2 antibody washed with ...read more

Order Details


    • Catalog Number
      NBP2-67781
    • Availability
      Product Discontinued

    Can't find what you are looking for? Use our Antibody Concierge Service & we will help you locate your antibody!

    Or feel free to contact us for alternative products.

Histone Deacetylase 2/HDAC2 Antibody (SD0816) Summary

Additional Information
Recombinant Monoclonal Antibody.
Immunogen
Recombinant protein within human Histone Deacetylase 2/HDAC2 aa 1-150/488. (SwissProt: Q92769 Human; SwissProt: P70288 Mouse; Unigene: 1797 Rat)
Localization
Nucleus, Cytoplasm.
Isotype
IgG
Clonality
Monoclonal
Host
Rabbit
Gene
HDAC2
Purity
Protein A purified
Innovator's Reward
Test in a species/application not listed above to receive a full credit towards a future purchase.

Applications/Dilutions

Dilutions
  • Immunohistochemistry-Paraffin 1:200-1:400
  • Immunoprecipitation
  • Western Blot 1:500

Packaging, Storage & Formulations

Storage
Store at 4C short term. Aliquot and store at -20C long term. Avoid freeze-thaw cycles.
Buffer
TBS (pH7.4), 0.05% BSA, 40% Glycerol
Preservative
0.05% Sodium Azide
Concentration
1 mg/ml
Purity
Protein A purified

Alternate Names for Histone Deacetylase 2/HDAC2 Antibody (SD0816)

  • EC 3.5.1.98
  • HD2
  • HDAC2
  • Histone Deacetylase 2
  • RPD3
  • transcriptional regulator homolog RPD3
  • YAF1
  • YY1-associated factor 1

Background

Histone deacetylase 2 (HDAC2), or transcriptional regulator homolog RPD3 L1, is highly homologous to the yeast transcription factor RPD3 (reduced potassium dependency 3) gene. As in yeast, human HDA2 is likely to be involved in regulating chromatin structure during transcription. It has been implicated to associate with YY1, a mammalian zinc-finger transcription factor, which negatively regulates transcription by tethering RPD3 to DNA as a cofactor. This process is highly conserved from yeast to human.

Limitations

This product is for research use only and is not approved for use in humans or in clinical diagnosis. Primary Antibodies are guaranteed for 1 year from date of receipt.

Customers Who Viewed This Item Also Viewed...

NB100-56340
Species: Hu, Mu, Rt
Applications: IHC, IHC-Fr,  IHC-P, KO, Simple Western, WB
NBP2-03993
Species: Bv, Ca, Hu, Mu, Pm
Applications: WB
NB100-1669
Species: Hu
Applications: ChIP, ICC/IF, IHC,  IHC-P, IP, Simple Western, WB
NBP2-07996
Species: Hu
Applications: WB
NBP2-52486
Species: Hu
Applications: CyTOF-ready, ELISA, Flow, ICC/IF, IHC,  IHC-P, WB
NBP2-29463
Species: Pm, Hu, Pm, Mu
Applications: Flow, ICC/IF, IHC,  IHC-P, WB
NB500-171
Species: Hu, I, Mu, Rt, Xp, Ye
Applications: ChIP, IB, ICC/IF, IHC,  IHC-P, Single-Cell Western, WB
H00007001-M01
Species: Hu
Applications: ELISA, ICC/IF, IHC,  IHC-P, KD, WB
NLS3775
Species: Hu, Pm
Applications: ICC/IF, IHC,  IHC-P
NBP1-85351
Species: Hu, Mu, Rt
Applications: ICC/IF, IHC,  IHC-P, WB
NBP3-46113
Species: Hu, Mu, Rt
Applications: ELISA, IHC, IP, , WB
NBL1-11570
Species: Hu
Applications: WB
H00008365-M01
Species: Hu
Applications: ELISA, ICC/IF, S-ELISA
NBL1-11567
Species: Hu
Applications: WB
AF5215
Species: Hu, Mu
Applications: ICC, WB
NBP2-22151
Species: Hu, Mu, Pm, Rt
Applications: ICC/IF, IHC,  IHC-P, Simple Western, WB
MAB2676
Species: Hu, Mu, Rt
Applications: ICC, WB
NBP2-67781
Species: Hu, Mu, Rt
Applications: WB, IHC, IP

Publications for Histone Deacetylase 2/HDAC2 Antibody (NBP2-67781) (0)

There are no publications for Histone Deacetylase 2/HDAC2 Antibody (NBP2-67781).
By submitting your publication information earn gift cards and discounts for future purchases.

Reviews for Histone Deacetylase 2/HDAC2 Antibody (NBP2-67781) (0)

There are no reviews for Histone Deacetylase 2/HDAC2 Antibody (NBP2-67781). By submitting a review you will receive an Amazon e-Gift Card or Novus Product Discount.
  • Review with no image -- $10/€7/£6/$10 CAD/¥70 Yuan/¥1110 Yen
  • Review with an image -- $25/€18/£15/$25 CAD/¥150 Yuan/¥2500 Yen

Product General Protocols

Find general support by application which include: protocols, troubleshooting, illustrated assays, videos and webinars.

Video Protocols

WB Video Protocol

FAQs for Histone Deacetylase 2/HDAC2 Antibody (NBP2-67781) (0)

There are no specific FAQs related to this product. Read our general customer & technical service FAQs.

Secondary Antibodies

 

Isotype Controls

Additional Histone Deacetylase 2/HDAC2 Products

Research Areas for Histone Deacetylase 2/HDAC2 Antibody (NBP2-67781)

Find related products by research area.

Blogs on Histone Deacetylase 2/HDAC2

There are no specific blogs for Histone Deacetylase 2/HDAC2, but you can read our latest blog posts.

Contact Information

Product PDFs

Calculators

Concentration Calculator

The concentration calculator allows you to quickly calculate the volume, mass or concentration of your vial. Simply enter your mass, volume, or concentration values for your reagent and the calculator will determine the rest.

=
÷

Review this Product

Be the first to review our Histone Deacetylase 2/HDAC2 Antibody (SD0816) and receive a gift card or discount.

Bioinformatics

Gene Symbol HDAC2