Hemoglobin A2 Antibody (rHBA/9167) - Azide and BSA Free

Images

 
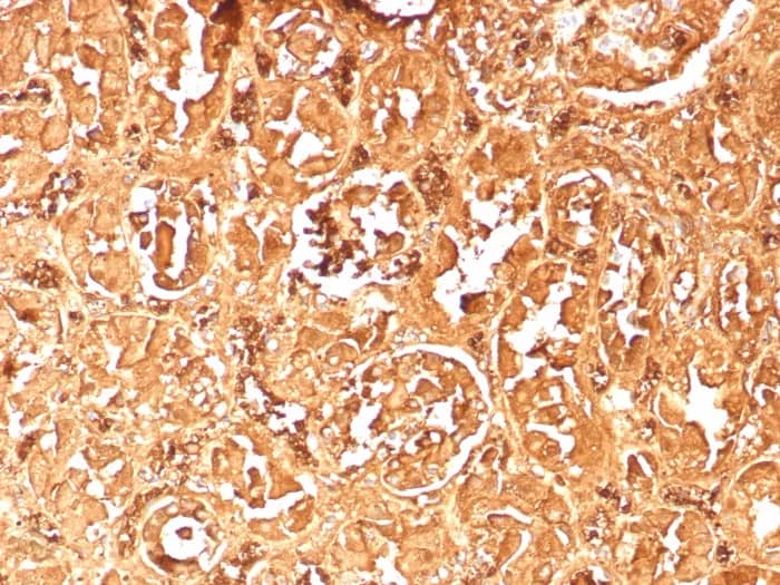
Immunohistochemistry-Paraffin: Hemoglobin A2 Antibody (rHBA/9167) - Azide and BSA Free [NBP3-24089] - Formalin-fixed, paraffin-embedded human kidney stained with Hemoglobin A2 Antibody (rHBA/9167). HIER: Tris/EDTA, ...read more

Product Details

Summary
Reactivity HuSpecies Glossary
Applications IHC
Clone
rHBA/9167
Clonality
Monoclonal
Host
Mouse
Conjugate
Unconjugated
Format
Azide and BSA Free
Concentration
1 mg/ml

Order Details

Hemoglobin A2 Antibody (rHBA/9167) - Azide and BSA Free Summary

Description
Antibody without azide - store at -20 to -80C.
Additional Information
Recombinant Monoclonal Antibody
Immunogen
Recombinant fragment (around aa1-100) of human Hemoglobin A2 protein (exact sequence is proprietary)
Localization
Extracellular space.
Isotype
IgG2b Kappa
Clonality
Monoclonal
Host
Mouse
Gene
HBA2
Purity
Protein A or G purified
Innovator's Reward
Test in a species/application not listed above to receive a full credit towards a future purchase.

Applications/Dilutions

Dilutions
  • Immunohistochemistry-Paraffin 1-2ug/ml
Application Notes
Immunohistochemistry-Paraffin: 1-2ug/ml for 30 minutes at RT. Staining of formalin-fixed tissues requires heating tissue sections in 10mM Tris with 1mM EDTA, pH 9.0, for 45 min at 95C followed by cooling at RT for 20 minutes. Optimal dilution for a specific application should be determined.

Packaging, Storage & Formulations

Storage
Store at -20 to -80C. Avoid freeze-thaw cycles.
Buffer
10mM PBS
Preservative
No Preservative
Concentration
1 mg/ml
Purity
Protein A or G purified

Alternate Names for Hemoglobin A2 Antibody (rHBA/9167) - Azide and BSA Free

  • alpha globin
  • alpha-2 globin
  • alpha-globin
  • Hemoglobin alpha chain
  • hemoglobin subunit alpha
  • hemoglobin, alpha 2

Background

The human alpha globin gene cluster located on chromosome 16 spans about 30 kb and includes seven loci: 5'- zeta -pseudozeta - mu - pseudoalpha-1 - alpha-2 - alpha-1 - theta - 3'. The alpha-2 (HBA2) and alpha-1 (HBA1) codingsequences are identical. These genes differ slightly over the 5' untranslated regions and the introns, but theydiffer significantly over the 3' untranslated regions. Two alpha chains plus two beta chains constitute HbA,which in normal adult life comprises about 97% of the total hemoglobin; alpha chains combine with delta chains toconstitute HbA-2, which with HbF (fetal hemoglobin) makes up the remaining 3% of adult hemoglobin. Alpha thalassemiasresult from deletions of each of the alpha genes as well as deletions of both HBA2 and HBA1; some nondeletion alphathalassemias have also been reported. (provided by RefSeq)

Limitations

This product is for research use only and is not approved for use in humans or in clinical diagnosis. Primary Antibodies are guaranteed for 1 year from date of receipt.

Customers Who Viewed This Item Also Viewed...

NBP2-14081
Species: Hu
Applications: ICC/IF, IHC,  IHC-P
NBP1-47492
Species: Pm, Hu
Applications: ChIP, ELISA, ICC/IF, IHC,  IHC-P, WB
MAB7708
Species: Hu
Applications: ICC, WB
NBP2-67150
Species: Hu, Mu, Rt
Applications: IHC, IHC-Fr,  IHC-P, IP, WB
NBP3-17255
Species: Hu
Applications: ICC/IF, WB
NBP1-59069
Species: Hu
Applications: ICC/IF, IHC,  IHC-P, WB
NBP1-82580
Species: Hu
Applications: IHC,  IHC-P, Simple Western, WB
NBP1-84999
Species: Hu
Applications: IHC,  IHC-P, WB
NBP1-97766
Species: Hu
Applications: PEP-ELISA, WB
MEP00B
Species: Mu
Applications: ELISA
NBP3-52107
Species: Hu, Mu
Applications: Flow,  IHC-P, WB
NBP2-43648
Species: Hu, Mu, Rt, Ze
Applications: ICC/IF, IHC,  IHC-P, WB
NBP1-84008
Species: Hu
Applications: IHC,  IHC-P
NB110-41084
Species: Hu
Applications: ELISA, Flow, WB
NBP2-57697
Species: Hu, Mu
Applications: IHC,  IHC-P
NBP3-24089
Species: Hu
Applications: IHC

Publications for Hemoglobin A2 Antibody (NBP3-24089) (0)

There are no publications for Hemoglobin A2 Antibody (NBP3-24089).
By submitting your publication information earn gift cards and discounts for future purchases.

Reviews for Hemoglobin A2 Antibody (NBP3-24089) (0)

There are no reviews for Hemoglobin A2 Antibody (NBP3-24089). By submitting a review you will receive an Amazon e-Gift Card or Novus Product Discount.
  • Review with no image -- $10/€7/£6/$10 CAD/¥70 Yuan/¥1110 Yen
  • Review with an image -- $25/€18/£15/$25 CAD/¥150 Yuan/¥2500 Yen

Product General Protocols

Find general support by application which include: protocols, troubleshooting, illustrated assays, videos and webinars.

FAQs for Hemoglobin A2 Antibody (NBP3-24089) (0)

There are no specific FAQs related to this product. Read our general customer & technical service FAQs.

Secondary Antibodies

 

Isotype Controls

Additional Hemoglobin A2 Products

Research Areas for Hemoglobin A2 Antibody (NBP3-24089)

Find related products by research area.

Blogs on Hemoglobin A2

There are no specific blogs for Hemoglobin A2, but you can read our latest blog posts.

Customers Who Bought This Also Bought

Contact Information

Product PDFs

Calculators

Concentration Calculator

The concentration calculator allows you to quickly calculate the volume, mass or concentration of your vial. Simply enter your mass, volume, or concentration values for your reagent and the calculator will determine the rest.

=
÷

Review this Product

Be the first to review our Hemoglobin A2 Antibody (rHBA/9167) - Azide and BSA Free and receive a gift card or discount.

Bioinformatics

Gene Symbol HBA2