GSK-3 alpha Antibody (6G2F1)

Images

 
Western Blot: GSK-3 alpha Antibody (6G2F1) [NBP1-47500] - Analysis using GSK3 alpha mouse mAb against truncated GSK3 alpha recombinant protein (1) and A549 cell lysate (2).
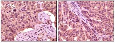
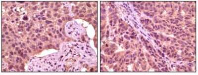
Immunohistochemistry-Paraffin: GSK-3 alpha Antibody (6G2F1) [NBP1-47500] - Analysis of human lung carcinoma (left) and skin carcinoma (right), showing cytoplasmic localization using GSK3 aphpa mouse mAb with DAB ...read more

Product Details

Summary
Product Discontinued
View other related GSK-3 alpha Primary Antibodies

Order Details


    • Catalog Number
      NBP1-47500
    • Availability
      Product Discontinued

    Can't find what you are looking for? Use our Antibody Concierge Service & we will help you locate your antibody!

    Or feel free to contact us for alternative products.

GSK-3 alpha Antibody (6G2F1) Summary

Immunogen
Purified recombinant fragment of GSK3 alpha expressed in E. Coli.
Clonality
Monoclonal
Host
Mouse
Gene
GSK3A
Purity
Unpurified
Innovator's Reward
Test in a species/application not listed above to receive a full credit towards a future purchase.

Applications/Dilutions

Dilutions
  • ELISA 1:10000
  • Immunohistochemistry 1:10 - 1:500
  • Immunohistochemistry-Paraffin 1:200 - 1:1000
  • Western Blot 1:500 - 1:2000

Packaging, Storage & Formulations

Storage
Store at 4C short term. Aliquot and store at -20C long term. Avoid freeze-thaw cycles.
Buffer
Ascites
Preservative
0.03% Sodium Azide
Purity
Unpurified

Alternate Names for GSK-3 alpha Antibody (6G2F1)

  • DKFZp686D0638
  • EC 2.7.11
  • EC 2.7.11.26
  • glycogen synthase kinase 3 alpha
  • glycogen synthase kinase-3 alpha
  • GSK3 alpha
  • GSK-3 alpha
  • GSK3A

Background

Glycogen synthase kinase 3 alpha belongs to the Ser/Thr family of protein kinases, Cdc2/cdkx subfamily; GSK3 subsubfamily. It is implicated in the hormonal control of several regulatory proteins including glycogen synthase, myb, and the transcription factor c jun. GSK3 phosphorylates glycogen synthase and thereby inactivates it. Insulin stimulates the dephosphorylation of glycogen synthase at the sites phosphorylated by GSK3 and subsequently inhibits GSK3 acutely leading to the stimulation of glycogen synthesis. GSK3 signaling is performed by two isoforms, GSK3 alpha and GSK3 beta. The two isoforms share 97% sequence similarity within their catalytic domains. GSK3 has also been shown to play a role in protein synthesis, cell adhesion, cell proliferation, cell differentiation, microtubule dynamics and cell motility.

Limitations

This product is for research use only and is not approved for use in humans or in clinical diagnosis. Primary Antibodies are guaranteed for 1 year from date of receipt.

Customers Who Viewed This Item Also Viewed...

NBP1-47470
Species: Hu, Mu, Pm, Rt
Applications: ELISA, Flow, ICC/IF, IHC,  IHC-P, Simple Western, WB
AF887
Species: Hu, Mu, Rt
Applications: CyTOF-ready, IHC, ICFlow, Simple Western, WB
NBP2-67702
Species: Hu, Mu, Rt
Applications: ICC/IF, IHC, IHC-Fr,  IHC-P, WB
NB100-2564
Species: Hu
Applications: WB
NBP2-01743
Species: Hu
Applications: Flow, ICC/IF, IHC,  IHC-P, WB
MAB6210
Species: Hu
Applications: Simple Western, WB
DYC1825-2
Species: Hu, Mu, Rt
Applications: ELISA
NBP2-37602
Species: Hu, Pm, Rt
Applications: ELISA, Flow, ICC/IF, IHC,  IHC-P, WB
AF1230
Species: Hu, Mu, Rt
Applications: IHC, KO, WB
NB600-607
Species: Hu, Rt
Applications: ELISA, IHC,  IHC-P, WB
NBP2-67471
Species: Hu, Mu, Rt
Applications: ICC/IF, IHC,  IHC-P, WB
AF1329
Species: Hu, Mu, Rt
Applications: ChIP, CyTOF-ready, ICC, IHC, ICFlow, Simple Western, WB
MAB1417
Species: Bv, Hu, Mu
Applications: ICC, IHC
NBP2-82026
Species: Hu, Mu, Rt
Applications: ELISA, ICC/IF, IHC,  IHC-P, WB
NBP2-13304
Species: Hu
Applications: ICC/IF, IHC,  IHC-P, WB
NBP1-47500
Species: Hu
Applications: WB, ELISA, IHC

Publications for GSK-3 alpha Antibody (NBP1-47500) (0)

There are no publications for GSK-3 alpha Antibody (NBP1-47500).
By submitting your publication information earn gift cards and discounts for future purchases.

Reviews for GSK-3 alpha Antibody (NBP1-47500) (0)

There are no reviews for GSK-3 alpha Antibody (NBP1-47500). By submitting a review you will receive an Amazon e-Gift Card or Novus Product Discount.
  • Review with no image -- $10/€7/£6/$10 CAD/¥70 Yuan/¥1110 Yen
  • Review with an image -- $25/€18/£15/$25 CAD/¥150 Yuan/¥2500 Yen

Product General Protocols

Find general support by application which include: protocols, troubleshooting, illustrated assays, videos and webinars.

Video Protocols

WB Video Protocol

FAQs for GSK-3 alpha Antibody (NBP1-47500) (0)

There are no specific FAQs related to this product. Read our general customer & technical service FAQs.

Secondary Antibodies

 

Isotype Controls

Additional GSK-3 alpha Products

Research Areas for GSK-3 alpha Antibody (NBP1-47500)

Find related products by research area.

Blogs on GSK-3 alpha

There are no specific blogs for GSK-3 alpha, but you can read our latest blog posts.

Contact Information

Product PDFs

Calculators

Concentration Calculator

The concentration calculator allows you to quickly calculate the volume, mass or concentration of your vial. Simply enter your mass, volume, or concentration values for your reagent and the calculator will determine the rest.

=
÷

Review this Product

Be the first to review our GSK-3 alpha Antibody (6G2F1) and receive a gift card or discount.

Bioinformatics

Gene Symbol GSK3A
Entrez