GPRC6A Antibody

Images

 
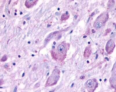
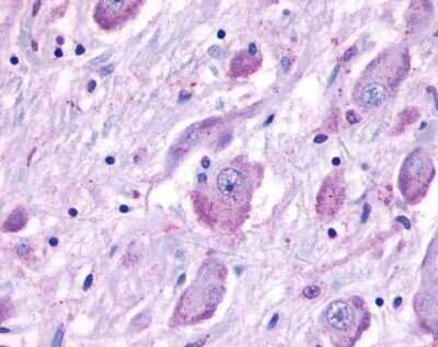
Immunohistochemistry-Paraffin: GPRC6A Antibody [NLS2581] - Analysis of anti-GPRC6A antibody with brain.
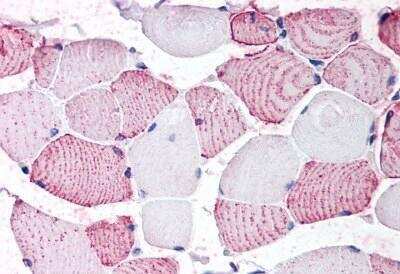
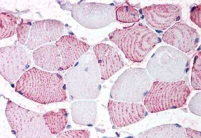
Immunohistochemistry-Paraffin: GPRC6A Antibody [NLS2581] - Analysis of anti-GPRC6A antibody with human skeletal muscle.

Product Details

Summary
Product Discontinued
View other related GPRC6A Primary Antibodies

Order Details


    • Catalog Number
      NLS2581
    • Availability
      Product Discontinued

    Can't find what you are looking for? Use our Antibody Concierge Service & we will help you locate your antibody!

    Or feel free to contact us for alternative products.

GPRC6A Antibody Summary

Immunogen
Synthetic 17 amino acid peptide from N-terminal extracellular domain of human GPRC6A.
Specificity
Human GPRC6A. BLAST analysis of the peptide immunogen showed no homology with other human proteins.
Isotype
IgG
Clonality
Polyclonal
Host
Rabbit
Gene
GPRC6A
Purity
Immunogen affinity purified
Innovator's Reward
Test in a species/application not listed above to receive a full credit towards a future purchase.

Applications/Dilutions

Dilutions
  • Immunohistochemistry
  • Immunohistochemistry-Paraffin 10 ug/ml
Control
GPRC6A Overexpression Lysate

Reactivity Notes

Gorilla, Marmoset. Predicted cross-reactivity based on sequence identity: Canine (82%), Hamster (82%), Elephant (82%).

Packaging, Storage & Formulations

Storage
Store at 4C short term. Aliquot and store at -20C long term. Avoid freeze-thaw cycles.
Buffer
PBS
Preservative
0.1% Sodium Azide
Concentration
1.0 mg/ml
Purity
Immunogen affinity purified

Alternate Names for GPRC6A Antibody

  • bA86F4.3
  • G protein-coupled receptor, family C, group 6, member A
  • GPCR
  • GPCR33
  • GPRC6A
  • G-protein coupled receptor family C group 6 member A
  • G-protein coupled receptor GPCR33
  • hGPCR33
  • hGPRC6A
  • predicted with SOSUI analysis
  • seven transmembrane helix receptor

Background

GPRC6A has been shown to bind to L-alpha-amino acids.

Limitations

This product is for research use only and is not approved for use in humans or in clinical diagnosis. Primary Antibodies are guaranteed for 1 year from date of receipt.

Customers Who Viewed This Item Also Viewed...

NBP2-25160
Species: Bv, Ca, Eq, Hu, Mu, Po, Rt
Applications: ICC/IF, IHC, WB
DYC1825-2
Species: Hu, Mu, Rt
Applications: ELISA
AF1230
Species: Hu, Mu, Rt
Applications: IHC, KO, WB
AF231
Species: Hu
Applications: CyTOF-ready, Dual ISH-IHC, ELISA(Cap), ELISA(Det), ELISA(Sta), Flow, ICC, IHC, IP, Simple Western, WB
AF4339
Species: Hu, Mu, Rt
Applications: IHC, KO, WB
NBP1-32728
Species: Hu, Mu, Rt
Applications: ICC/IF, IHC,  IHC-P, IP, WB
AF887
Species: Hu, Mu, Rt
Applications: CyTOF-ready, IHC, ICFlow, Simple Western, WB
AF467
Species: Hu, Mu
Applications: CyTOF-ready, Flow, ICC, IHC, Simple Western, WB
236-EG
Species: Hu
Applications: BA
NBP2-37477
Species: Hu
Applications: ELISA, ICC/IF, IHC,  IHC-P, WB
NBP2-15071
Species: Hu, Mu, Rt
Applications: ICC/IF, IHC,  IHC-P, KO, WB
NBP1-30027
Species: Hu, Mu, Rt
Applications: ICC/IF, IHC,  IHC-P, WB
NB100-56603
Species: Ca, Hu, Mu, Pm, Rt
Applications: IHC,  IHC-P, WB
AF262
Species: Hu
Applications: ICC, IHC, Neut, WB
NBP1-89146
Species: Hu
Applications: ICC/IF, IHC,  IHC-P
NBP2-38530
Species: Hu
Applications: ICC/IF, IHC,  IHC-P, WB
AF2685
Species: Hu
Applications: IHC, Simple Western, WB
NLS2581
Species: Hu, Pm, Pm
Applications: IHC

Publications for GPRC6A Antibody (NLS2581) (0)

There are no publications for GPRC6A Antibody (NLS2581).
By submitting your publication information earn gift cards and discounts for future purchases.

Reviews for GPRC6A Antibody (NLS2581) (0)

There are no reviews for GPRC6A Antibody (NLS2581). By submitting a review you will receive an Amazon e-Gift Card or Novus Product Discount.
  • Review with no image -- $10/€7/£6/$10 CAD/¥70 Yuan/¥1110 Yen
  • Review with an image -- $25/€18/£15/$25 CAD/¥150 Yuan/¥2500 Yen

Product General Protocols

View specific protocols for GPRC6A Antibody (NLS2581): Find general support by application which include: protocols, troubleshooting, illustrated assays, videos and webinars.

FAQs for GPRC6A Antibody (NLS2581) (0)

There are no specific FAQs related to this product. Read our general customer & technical service FAQs.

Control Lysate(s)

Secondary Antibodies

 

Isotype Controls

Additional GPRC6A Products

Research Areas for GPRC6A Antibody (NLS2581)

Find related products by research area.

Blogs on GPRC6A

There are no specific blogs for GPRC6A, but you can read our latest blog posts.

Contact Information

Product PDFs

Calculators

Concentration Calculator

The concentration calculator allows you to quickly calculate the volume, mass or concentration of your vial. Simply enter your mass, volume, or concentration values for your reagent and the calculator will determine the rest.

=
÷

Review this Product

Be the first to review our GPRC6A Antibody and receive a gift card or discount.

Bioinformatics

Gene Symbol GPRC6A
Entrez
Uniprot