GPR88 Antibody (CL15190) - Azide and BSA Free

Images

 
Staining of human caudate nucleus shows moderate positivity in neuronal processes.
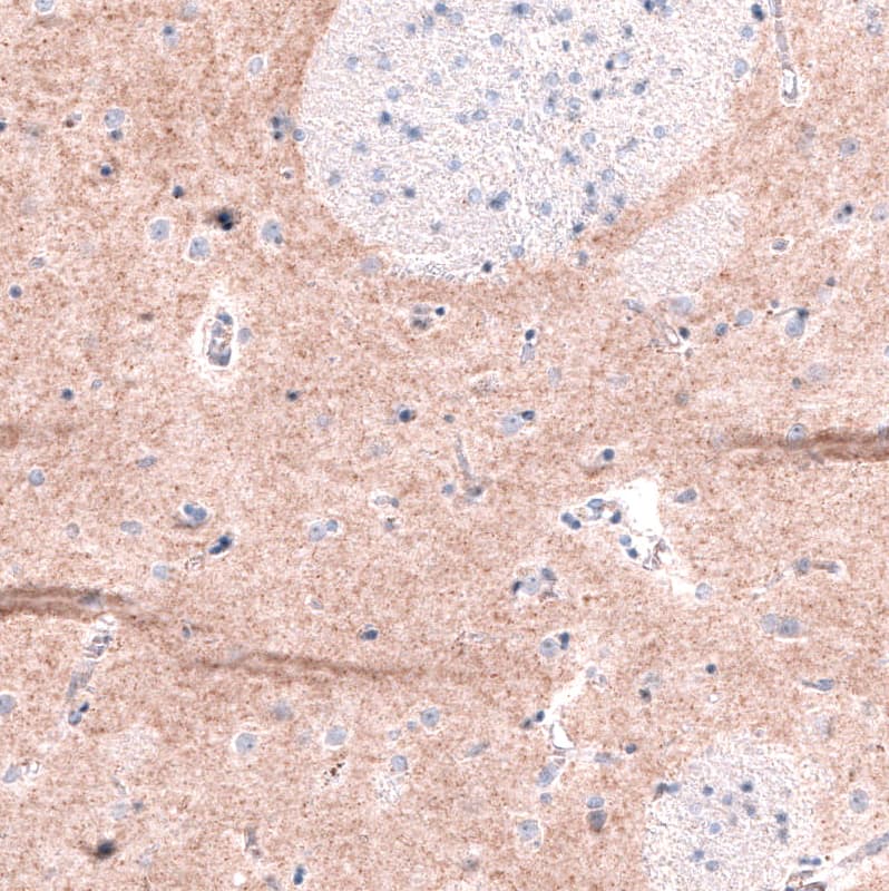
Staining of human cerebral cortex shows no positivity in neuropil as expected.
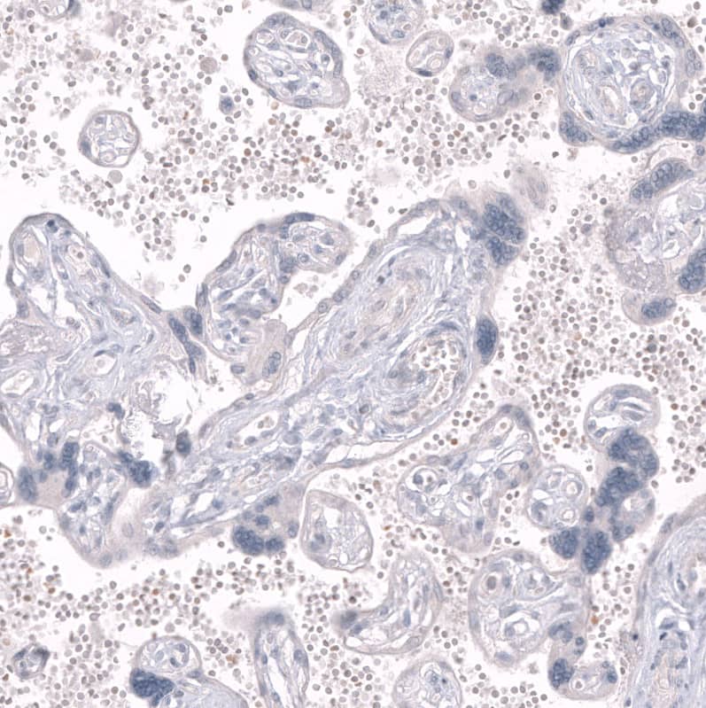
Staining of human placenta shows no positivity in trophoblastic cells as expected.
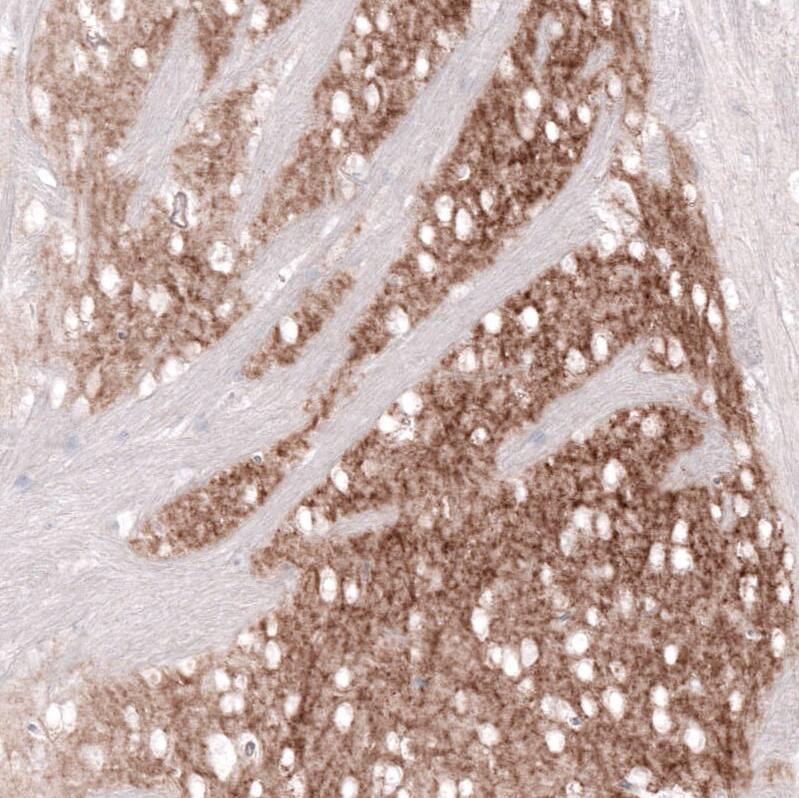
Staining of rat caudate nucleus shows moderate to strong positivity in neuronal processes.
Analysis in human cerebral cortex tissue.
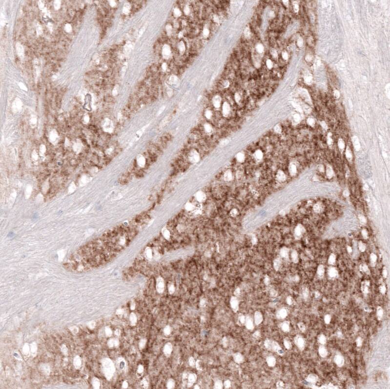
Staining of mouse caudate nucleus shows moderate positivity in neuronal processes.

Product Details

Summary
Reactivity Hu, Mu, RtSpecies Glossary
Applications WB, IHC
Clone
CL15190
Clonality
Monoclonal
Host
Mouse
Conjugate
Unconjugated
Format
Azide and BSA Free
Concentration
LYOPH

Order Details

GPR88 Antibody (CL15190) - Azide and BSA Free Summary

Description
Novus Biologicals Mouse GPR88 Antibody (CL15190) - Azide and BSA Free (NBP3-43656) is a monoclonal antibody validated for use in IHC and WB. All Novus Biologicals antibodies are covered by our 100% guarantee.
Immunogen
This antibody was generated using a synthetic peptide of Q9GZN0, with the exact immunogen sequence remaining proprietary.
Isotype
IgG1
Clonality
Monoclonal
Host
Mouse
Gene
GPR88
Purity
Protein A purified
Innovator's Reward
Test in a species/application not listed above to receive a full credit towards a future purchase.

Applications/Dilutions

Dilutions
  • Immunohistochemistry 1:20-1:50
  • Immunohistochemistry-Paraffin 1:20-1:50
  • Western Blot 1 ug/ml
Application Notes
For IHC-Paraffin, HIER pH 6 retrieval is recommended.

Packaging, Storage & Formulations

Storage
Store at 4C short term. Aliquot and store at -20C long term. Avoid freeze-thaw cycles.
Buffer
Lyophilized from a 0.2 um filtered solution in PBS with Trehalose
Preservative
No Preservative
Concentration
LYOPH
Purity
Protein A purified
Reconstitution Instructions
Centrifuge the vial of lyophilized antibody at 12,000 x g for 20 seconds. Reconstitute by adding sterile, distilled water to achieve a final antibody concentration of 1mg/ml.

Alternate Names for GPR88 Antibody (CL15190) - Azide and BSA Free

  • G protein coupled receptor 88
  • G protein-coupled receptor 88
  • GPR88
  • G-protein coupled receptor 88
  • probable G-protein coupled receptor 88
  • STRG
  • Striatum-specific G-protein coupled receptor

Background

GPR88 is an Orphan-A GPCR with an unknown ligand. GPR88 expression has been documented almost exclusively in the striatum of the brain and not in any peripheral tissues. ESTs have been isolated from diseased brain, ear, and kidney libraries.

Limitations

This product is for research use only and is not approved for use in humans or in clinical diagnosis. Primary Antibodies are guaranteed for 1 year from date of receipt.

Customers Who Viewed This Item Also Viewed...

DBD00
Species: Hu
Applications: ELISA
NLS418
Species: Hu
Applications: IHC,  IHC-P
MAB194
Species: Hu, Mu
Applications: CyTOF-ready, Flow, ICC, WB
AF3200
Species: Hu
Applications: IHC, WB
MAB8458
Species: Hu
Applications: CyTOF-ready, Flow, ICC
NLS2756
Species: Hu, Pm
Applications: ICC, IHC,  IHC-P
NLS1017
Species: Bt, Bv, Ca, Eq, Hu, Mu
Applications: IHC,  IHC-P
NBP1-44999
Species: Hu, Mu
Applications: ICC/IF, WB
NLS2576
Species: Hu, Pm, Rt
Applications: IHC,  IHC-P
AF482
Species: Mu
Applications: IHC, WB
NBP1-89396
Species: Hu
Applications: ICC/IF, IHC,  IHC-P, WB
NBP1-39474
Species: Ca, Gp, Hu, Mu, Po, Rb, Rt, Sh
Applications: CyTOF-ready, Flow-IC, Flow, ICC/IF, IHC, IHC-Fr,  IHC-P, WB
NBP2-02623
Species: Ca, Hu, Mu, Rt
Applications: Flow, ICC/IF, IHC,  IHC-P, WB
NBP1-90944
Species: Hu
Applications: IHC,  IHC-P, WB
NBP1-31528
Species: Hu, Mu
Applications: IHC,  IHC-P, WB
NBP3-44340
Species: Hu, Mu, Rt
Applications: WB, IHC

Publications for GPR88 Antibody (NBP3-44340) (0)

There are no publications for GPR88 Antibody (NBP3-44340).
By submitting your publication information earn gift cards and discounts for future purchases.

Reviews for GPR88 Antibody (NBP3-44340) (0)

There are no reviews for GPR88 Antibody (NBP3-44340). By submitting a review you will receive an Amazon e-Gift Card or Novus Product Discount.
  • Review with no image -- $10/€7/£6/$10 CAD/¥70 Yuan/¥1110 Yen
  • Review with an image -- $25/€18/£15/$25 CAD/¥150 Yuan/¥2500 Yen

Product General Protocols

Find general support by application which include: protocols, troubleshooting, illustrated assays, videos and webinars.

Video Protocols

WB Video Protocol

FAQs for GPR88 Antibody (NBP3-44340) (0)

There are no specific FAQs related to this product. Read our general customer & technical service FAQs.

Secondary Antibodies

 

Isotype Controls

Additional GPR88 Products

Array NBP3-44340

Research Areas for GPR88 Antibody (NBP3-44340)

Find related products by research area.

Blogs on GPR88

There are no specific blogs for GPR88, but you can read our latest blog posts.

Customers Who Bought This Also Bought

Contact Information

Product PDFs

Calculators

Concentration Calculator

The concentration calculator allows you to quickly calculate the volume, mass or concentration of your vial. Simply enter your mass, volume, or concentration values for your reagent and the calculator will determine the rest.

=
÷

Review this Product

Be the first to review our GPR88 Antibody (CL15190) - Azide and BSA Free and receive a gift card or discount.

Bioinformatics

Gene Symbol GPR88