GPR32 Antibody

Images

 
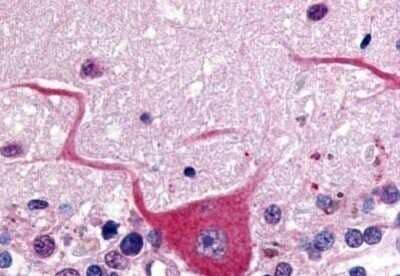
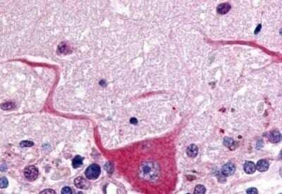
Immunohistochemistry-Paraffin: GPR32 Antibody [NB100-58998] - Analysis of anti-GPR32 antibody with human brain, cerebellum at concentration 20 ug/ml.

Product Details

Summary
Product Discontinued
View other related GPR32 Primary Antibodies

Order Details


    • Catalog Number
      NB100-58998
    • Availability
      Product Discontinued

    Can't find what you are looking for? Use our Antibody Concierge Service & we will help you locate your antibody!

    Or feel free to contact us for alternative products.

GPR32 Antibody Summary

Immunogen
Synthetic 15 amino acid peptide from C-terminus of human GPR32.
Epitope
C-terminal domain of human
Specificity
Human GPR32. BLAST analysis of the peptide immunogen showed no homology with other human proteins, except FPR3 (53%).
Isotype
IgG
Clonality
Polyclonal
Host
Rabbit
Gene
GPR32
Purity
Immunogen affinity purified
Innovator's Reward
Test in a species/application not listed above to receive a full credit towards a future purchase.

Applications/Dilutions

Dilutions
  • ELISA 1:100 - 1:2000
  • Immunohistochemistry
  • Immunohistochemistry-Paraffin 20 ug/ml
Control
GPR32 Overexpression Lysate

Reactivity Notes

Predicted cross-reactivity based on sequence identity: Marmoset (87%).

Packaging, Storage & Formulations

Storage
Store at 4C short term. Aliquot and store at -20C long term. Avoid freeze-thaw cycles.
Buffer
PBS
Preservative
0.1% Sodium Azide
Concentration
1.0 mg/ml
Purity
Immunogen affinity purified

Alternate Names for GPR32 Antibody

  • G protein-coupled receptor 32
  • GPR32
  • probable G-protein coupled receptor 32
  • RVDR1

Background

G protein-coupled receptors (GPCRs, or GPRs) contain 7 transmembrane domains and transduce extracellular signals through heterotrimeric G proteins. GPCR GPR32 is a member of this family. It is an Orphan-A GPCR with an unknown ligand.

Limitations

This product is for research use only and is not approved for use in humans or in clinical diagnosis. Primary Antibodies are guaranteed for 1 year from date of receipt.

Customers Who Viewed This Item Also Viewed...

NLS1878
Species: Ba, Hu, Mu, Rt
Applications: EM, Flow, ICC/IF, IHC, IHC-Fr,  IHC-P, WB
H00084941-M01
Species: Hu
Applications: ELISA, IHC,  IHC-P, S-ELISA, WB
NBP1-88927
Species: Hu, Mu
Applications: ICC/IF, IHC,  IHC-P
NBP1-89396
Species: Hu
Applications: ICC/IF, IHC,  IHC-P, WB
NLS1317
Species: Hu, Pm, Pm
Applications: Flow, IHC,  IHC-P
DY417
Species: Mu
Applications: ELISA
NBP2-54301
Species: Hu, Mu, Rt
Applications: CyTOF-ready, ELISA, IHC,  IHC-P, WB
MAB362
Species: Hu
Applications: CyTOF-ready, Flow
NBP2-27422
Species: Hu, Pm
Applications: Flow, IHC,  IHC-P, WB
NBP2-13961
Species: Hu
Applications: ICC/IF, IHC,  IHC-P, WB
AF9024
Species: Mu, Rt
Applications: IHC, WB
NLS418
Species: Hu
Applications: IHC,  IHC-P
NBP2-66778
Species: Hu, Mu, Rt
Applications: Flow, IHC,  IHC-P, WB
DRP300
Species: Hu
Applications: ELISA
DLP00
Species: Hu
Applications: ELISA
NB100-58998
Species: Hu
Applications: ELISA, IHC

Publications for GPR32 Antibody (NB100-58998) (0)

There are no publications for GPR32 Antibody (NB100-58998).
By submitting your publication information earn gift cards and discounts for future purchases.

Reviews for GPR32 Antibody (NB100-58998) (0)

There are no reviews for GPR32 Antibody (NB100-58998). By submitting a review you will receive an Amazon e-Gift Card or Novus Product Discount.
  • Review with no image -- $10/€7/£6/$10 CAD/¥70 Yuan/¥1110 Yen
  • Review with an image -- $25/€18/£15/$25 CAD/¥150 Yuan/¥2500 Yen

Product General Protocols

Find general support by application which include: protocols, troubleshooting, illustrated assays, videos and webinars.

FAQs for GPR32 Antibody (NB100-58998) (0)

There are no specific FAQs related to this product. Read our general customer & technical service FAQs.

Control Lysate(s)

Secondary Antibodies

 

Isotype Controls

Additional GPR32 Products

Array NB100-58998

Research Areas for GPR32 Antibody (NB100-58998)

Find related products by research area.

Blogs on GPR32

There are no specific blogs for GPR32, but you can read our latest blog posts.

Contact Information

Product PDFs

Calculators

Concentration Calculator

The concentration calculator allows you to quickly calculate the volume, mass or concentration of your vial. Simply enter your mass, volume, or concentration values for your reagent and the calculator will determine the rest.

=
÷

Review this Product

Be the first to review our GPR32 Antibody and receive a gift card or discount.

Bioinformatics

Gene Symbol GPR32
Entrez