GPR161 Antibody

Images

 
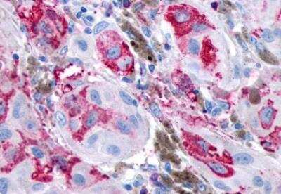
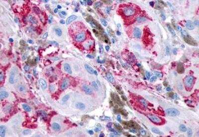
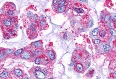
Immunohistochemistry-Paraffin: GPR161 Antibody [NLS333] - Human Skin, Melanoma. Immunohistochemistry of formalin-fixed, paraffin-embedded tissue after heat-induced antigen retrieval.
Immunohistochemistry-Paraffin: GPR161 Antibody [NLS333] - IHC analysis of Brain, Pituitary using NLS333 at 3 ug/ ml.
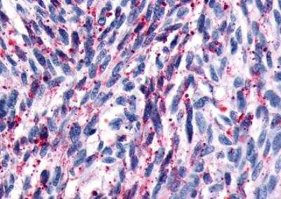
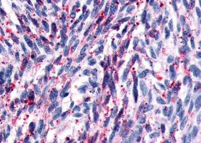
Immunohistochemistry-Paraffin: GPR161 Antibody [NLS333] - Human Brain, Glioblastoma. Immunohistochemistry of formalin-fixed, paraffin-embedded tissue after heat-induced antigen retrieval.
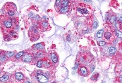
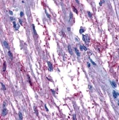
Immunohistochemistry-Paraffin: GPR161 Antibody [NLS333] - Human Lung, Adenocarcinoma. Immunohistochemistry of formalin-fixed, paraffin-embedded tissue after heat-induced antigen retrieval.

Product Details

Summary
Product Discontinued
View other related GPR161 Primary Antibodies

Order Details


    • Catalog Number
      NLS333
    • Availability
      Product Discontinued

    Can't find what you are looking for? Use our Antibody Concierge Service & we will help you locate your antibody!

    Or feel free to contact us for alternative products.

GPR161 Antibody Summary

Immunogen
Synthetic 19 amino acid peptide from C-terminus of human GPR161.
Localization
Cell membrane; Multi-pass membrane protein.
Specificity
Human GPR161. BLAST analysis of the peptide immunogen showed no homology with other human proteins.
Predicted Species
Mouse (95%), Opossum (95%). Backed by our 100% Guarantee.
Isotype
IgG
Clonality
Polyclonal
Host
Rabbit
Gene
GPR161
Purity
Immunogen affinity purified
Innovator's Reward
Test in a species/application not listed above to receive a full credit towards a future purchase.

Applications/Dilutions

Dilutions
  • Immunohistochemistry
  • Immunohistochemistry-Paraffin 3 ug/ml

Reactivity Notes

Gorilla, Gibbon, Marmoset. Predicted cross-reactivity based on sequence identity: Elephant (100%), Panda (100%), Bat (89%), Turkey (89%), Chicken (89%), Platypus (84%), Stickleback (84%), Pufferfish (84%).

Packaging, Storage & Formulations

Storage
Store at 4C short term. Aliquot and store at -20C long term. Avoid freeze-thaw cycles.
Buffer
PBS
Preservative
0.1% Sodium Azide
Concentration
1.0 mg/ml
Purity
Immunogen affinity purified

Alternate Names for GPR161 Antibody

  • FLJ33952
  • G protein-coupled receptor 161
  • Gm208
  • GPR161
  • G-protein coupled receptor 161
  • G-protein coupled receptor RE2
  • RE2

Background

GPR161/RE2 is an Orphan-U GPCR with an unknown ligand. RE2 is a member of the rhodopsin family of G protein-coupled receptors and may aid in the regulation of aggression and appetite. ESTs have been identified in brain, colon, heart/melanocyte/uterus, lung, prostate, and uterus libraries.

Limitations

This product is for research use only and is not approved for use in humans or in clinical diagnosis. Primary Antibodies are guaranteed for 1 year from date of receipt.

Customers Who Viewed This Item Also Viewed...

NLS418
Species: Hu
Applications: IHC,  IHC-P
NB300-560
Species: Av, Bv, Ma, Hu, Mu, Pm, Rt
Applications: IF, IHC, IHC-Fr,  IHC-P, WB
NLS2756
Species: Hu, Pm
Applications: ICC, IHC,  IHC-P
NBP1-89522
Species: Hu, Mu, Rt
Applications: ICC/IF, IHC,  IHC-P, WB
MAB194
Species: Hu, Mu
Applications: CyTOF-ready, Flow, ICC, WB
NBP1-85464
Species: Hu
Applications: ICC/IF, IHC,  IHC-P, WB
MAB8458
Species: Hu
Applications: CyTOF-ready, Flow, ICC
NLS1017
Species: Bt, Bv, Ca, Eq, Hu, Mu
Applications: IHC,  IHC-P
NLS2576
Species: Hu, Pm, Rt
Applications: IHC,  IHC-P
NB300-537
Species: Bv, Hu, Mu, Rb, Rt
Applications: ChIP, Flow, GS, ICC/IF, IHC,  IHC-P, IP, KD, Simple Western, WB
NBP3-21886
Species: Hu, Mu, Rt
Applications: WB
NB100-74503
Species: Mu, Rt
Applications: ICC/IF, WB
NBP1-87408
Species: Hu, Mu
Applications: ICC/IF, IHC,  IHC-P, Simple Western, WB
NBP2-93574
Species: Hu, Mu, Rt
Applications: ICC/IF, IHC,  IHC-P, WB
NBP1-31302
Species: Hu, Mu, Rt
Applications: ICC/IF, IHC,  IHC-P, KO, WB
NLS333
Species: Hu, Po, Bv, Ca, Eq, Pm, Pm, Rb, Mu, Ma-Op
Applications: IHC

Publications for GPR161 Antibody (NLS333) (0)

There are no publications for GPR161 Antibody (NLS333).
By submitting your publication information earn gift cards and discounts for future purchases.

Reviews for GPR161 Antibody (NLS333) (0)

There are no reviews for GPR161 Antibody (NLS333). By submitting a review you will receive an Amazon e-Gift Card or Novus Product Discount.
  • Review with no image -- $10/€7/£6/$10 CAD/¥70 Yuan/¥1110 Yen
  • Review with an image -- $25/€18/£15/$25 CAD/¥150 Yuan/¥2500 Yen

Product General Protocols

Find general support by application which include: protocols, troubleshooting, illustrated assays, videos and webinars.

FAQs for GPR161 Antibody (NLS333) (0)

There are no specific FAQs related to this product. Read our general customer & technical service FAQs.

Secondary Antibodies

 

Isotype Controls

Additional GPR161 Products

Research Areas for GPR161 Antibody (NLS333)

Find related products by research area.

Blogs on GPR161

There are no specific blogs for GPR161, but you can read our latest blog posts.

Contact Information

Product PDFs

Calculators

Concentration Calculator

The concentration calculator allows you to quickly calculate the volume, mass or concentration of your vial. Simply enter your mass, volume, or concentration values for your reagent and the calculator will determine the rest.

=
÷

Review this Product

Be the first to review our GPR161 Antibody and receive a gift card or discount.

Bioinformatics

Gene Symbol GPR161
Entrez